Skip to main content

Key Product Details

Species Reactivity

Human

Applications

Immunohistochemistry, Western Blot

Label

Unconjugated

Antibody Source

Monoclonal Mouse IgG2A Clone # 872719

Product Specifications

Immunogen

E. coli-derived recombinant human Melan-A/MART-1
Asn52-Pro118
Accession # Q16655

Specificity

Detects human Melan-A/MART-1 in ELISA.

Clonality

Monoclonal

Host

Mouse

Isotype

IgG2A

Scientific Data Images for Human Melan-A/MART-1 Antibody

Detection of Human Melan-A/MART-1 antibody by Western Blot.

Detection of Human Melan-A/MART-1 by Western Blot.

Western blot shows lysates of SK-Mel-28 human malignant melanoma cell line. PVDF membrane was probed with 0.5 µg/mL of Mouse Anti-Human Melan-A/MART-1 Monoclonal Antibody (Catalog # MAB8008) followed by HRP-conjugated Anti-Mouse IgG Secondary Antibody (Catalog # HAF018). A specific band was detected for Melan-A/MART-1 at approximately 18 kDa (as indicated). This experiment was conducted under reducing conditions and using Immunoblot Buffer Group 1.
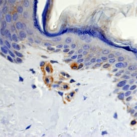
Melan-A/MART-1 antibody in Normal Human Skin by Immunohistochemistry (IHC-P).

Melan-A/MART-1 in Normal Human Skin.

Melan-A/MART-1 was detected in immersion fixed paraffin-embedded sections of human skin using Mouse Anti-Human Melan-A/MART-1 Monoclonal Antibody (Catalog # MAB8008) at 15 µg/mL overnight at 4 °C. Before incubation with the primary antibody, tissue was subjected to heat-induced epitope retrieval using Antigen Retrieval Reagent-Basic (Catalog # CTS013). Tissue was stained using the Anti-Mouse HRP-DAB Cell & Tissue Staining Kit (brown; Catalog # CTS002) and counterstained with hematoxylin (blue). Specific staining was localized to melanocytes. View our protocol for Chromogenic IHC Staining of Paraffin-embedded Tissue Sections.

Applications for Human Melan-A/MART-1 Antibody

Application
Recommended Usage

Immunohistochemistry

8-25 µg/mL
Sample: Immersion fixed paraffin-embedded sections of human skin

Western Blot

0.5 µg/mL
Sample: SK‑Mel‑28 human malignant melanoma cell line

Formulation, Preparation, and Storage

Purification

Protein A or G purified from hybridoma culture supernatant

Reconstitution

Reconstitute at 0.5 mg/mL in sterile PBS. For liquid material, refer to CoA for concentration.

Reconstitution Buffer Available:
Size / Price
Qty
Loading...

Formulation

Lyophilized from a 0.2 μm filtered solution in PBS with Trehalose. *Small pack size (SP) is supplied either lyophilized or as a 0.2 µm filtered solution in PBS.

Shipping

Lyophilized product is shipped at ambient temperature. Liquid small pack size (-SP) is shipped with polar packs. Upon receipt, store immediately at the temperature recommended below.

Stability & Storage

Use a manual defrost freezer and avoid repeated freeze-thaw cycles.
  • 12 months from date of receipt, -20 to -70 °C as supplied.
  • 1 month, 2 to 8 °C under sterile conditions after reconstitution.
  • 6 months, -20 to -70 °C under sterile conditions after reconstitution.

Background: Melan-A/MART-1

Melan-A (MeLANoma-A; also MART-1, LB39-AA and SK29-AA, MLANA) is an 18-24 kDa member of a melanocyte lineage-specific,  structurally-unrelated family of proteins. It is expressed only in melanocytes, retinal pigment epithelium and melanoma cells. Melan-A is involved in melanosome formation, and appears to stabilize both GPCR143/OA-1 and PMEL, thus ensuring the formation of a stage 2 (melanin production within a fibrillar matrix) melanosome. It is typically found in the Golgi, and upon inversion of its topology, becomes embedded in the ER. It may also appear in endosomes and on the cell surface where, in theory, it is recognizable by a special naïve type of CD8+ T cell that is derived from the thymus. Notably, these cells normally appear to be unresponsive, even in the face of exposure to skin melanocytes during wound healing. Human MLANA is a 118 amino acid (aa) type III (no signal sequence) transmembrane protein. It contains a 26 aa extracellular region (aa 1-26), and a 71 aa cytoplasmic domain (aa 48-118). There is one utilized phosphorylation site at Ser108, and the molecule is known to undergo acylation. Over aa 52-118, human Melan-A shares 62% aa sequence identity with mouse MLANA.

Alternate Names

Antigen LB39-AA, Antigen SK29-AA, MART-1, MelanA, MLANA

Entrez Gene IDs

2315 (Human); 77836 (Mouse); 293890 (Rat)

Gene Symbol

MLANA

UniProt

Additional Melan-A/MART-1 Products

Product Documents for Human Melan-A/MART-1 Antibody

Certificate of Analysis

To download a Certificate of Analysis, please enter a lot number in the search box below.

Note: Certificate of Analysis not available for kit components.

Product Specific Notices for Human Melan-A/MART-1 Antibody

For research use only

Loading...
Loading...
Loading...
Loading...