Skip to main content

Key Product Details

Species Reactivity

Human

Applications

Immunohistochemistry, Western Blot, Intracellular Staining by Flow Cytometry, Immunocytochemistry

Label

Unconjugated

Antibody Source

Recombinant Monoclonal Rabbit IgG Clone # 2068B

Product Specifications

Immunogen

E. coli-derived recombinant human MCM7
Gly188-Ala328
Accession # P33993

Specificity

Detects human MCM7 in direct ELISAs and Western blots.

Clonality

Monoclonal

Host

Rabbit

Isotype

IgG

Scientific Data Images for Human MCM7 Antibody

Detection of Human MCM7 antibody by Western Blot.

Detection of Human MCM7 by Western Blot.

Western blot shows lysates of HeLa human cervical epithelial carcinoma cell line, MCF-7 human breast cancer cell line, Daudi human Burkitt's lymphoma cell line, and Jurkat human acute T cell leukemia cell line. PVDF membrane was probed with 0.2 µg/mL of Rabbit Anti-Human MCM7 Monoclonal Antibody (Catalog # MAB9217) followed by HRP-conjugated Anti-Rabbit IgG Secondary Antibody (Catalog # HAF008). A specific band was detected for MCM7 at approximately 80 kDa (as indicated). This experiment was conducted under reducing conditions and using Immunoblot Buffer Group 1.
MCM7 antibody in HeLa Human Cell Line by Immunocytochemistry (ICC).

MCM7 in HeLa Human Cell Line.

MCM7 was detected in immersion fixed HeLa human cervical epithelial carcinoma cell line using Rabbit Anti-Human MCM7 Monoclonal Antibody (Catalog # MAB9217) at 1 µg/mL for 3 hours at room temperature. Cells were stained using the NorthernLights™ 557-conjugated Anti-Rabbit IgG Secondary Antibody (red; Catalog # NL004) and counterstained with DAPI (blue). Specific staining was localized to nuclei. View our protocol for Fluorescent ICC Staining of Cells on Coverslips.
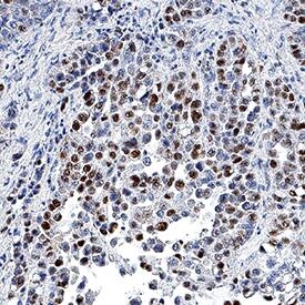
MCM7 antibody in Human Mesothelioma Tissue by Immunohistochemistry (IHC-P).

MCM7 in Human Mesothelioma Tissue.

MCM7 was detected in immersion fixed paraffin-embedded sections of human mesothelioma tissue using Rabbit Anti-Human MCM7 Monoclonal Antibody (Catalog # MAB9217) at 3 µg/mL for 1 hour at room temperature followed by incubation with the Anti-Rabbit IgG VisUCyte™ HRP Polymer Antibody (Catalog # VC003). Tissue was stained using DAB (brown) and counterstained with hematoxylin (blue). Specific staining was localized to nuclei. View our protocol for IHC Staining with VisUCyte HRP Polymer Detection Reagents.

Applications for Human MCM7 Antibody

Application
Recommended Usage

Immunocytochemistry

1-25 µg/mL
Sample: Immersion fixed HeLa human cervical epithelial carcinoma cell line

Immunohistochemistry

3-25 µg/mL
Sample: Immersion fixed paraffin-embedded sections of human mesothelioma tissue

Intracellular Staining by Flow Cytometry

0.25 µg/106 cells
Sample: HeLa human cervical epithelial carcinoma cell line fixed and permeabilized with FlowX FoxP3 Fixation & Permeabilization Buffer Kit (Catalog # FC012)

Western Blot

0.2 µg/mL
Sample: HeLa human cervical epithelial carcinoma cell line, MCF‑7 human breast cancer cell line, Daudi human Burkitt's lymphoma cell line, and Jurkat human acute T cell leukemia cell line

Reviewed Applications

Read 1 review rated 5 using MAB9217 in the following applications:

Formulation, Preparation, and Storage

Purification

Protein A or G purified from cell culture supernatant

Reconstitution

For liquid material, refer to CoA for concentration.

Formulation

Lyophilized from a 0.2 μm filtered solution in PBS with Trehalose. *Small pack size (SP) is supplied either lyophilized or as a 0.2 µm filtered solution in PBS.

Shipping

Lyophilized product is shipped at ambient temperature. Liquid small pack size (-SP) is shipped with polar packs. Upon receipt, store immediately at the temperature recommended below.

Stability & Storage

Use a manual defrost freezer and avoid repeated freeze-thaw cycles.
  • 12 months from date of receipt, -20 to -70 °C as supplied.
  • 1 month, 2 to 8 °C under sterile conditions after reconstitution.
  • 6 months, -20 to -70 °C under sterile conditions after reconstitution.

Background: MCM7

MCM7/minichromosome maintenance complex component 7, is a highly conserved mini-chromosome maintenance protein, with ATP binding, DNA helicase activity and single-stranded DNA binding. MCM7 forms a hexameric protein complex with MCM2, 4  and 6 proteins that has DNA helicase activity essential for the initiation of gene replication.  MCM7 also binds to RAD17 to mediate ATR recruitment to damaged DNA. MCM7 expression is repressed in quiescent cells but induced in late G1 to S phase by growth factor stimulation.  It is up-regulated in many cancers including colorectal , T cell lymphomas, glioblastoma, and has prognostic value for hepatocellular carcinoma and gastric adenocarcinoma.

Long Name

Minichromosome Maintenance Protein 7

Alternate Names

CDC47, MCM2, P1CDC47, P85MCM, PNAS146, PPP1R104, Protein Phosphatase 1

Entrez Gene IDs

4176 (Human); 17220 (Mouse); 288532 (Rat)

Gene Symbol

MCM7

UniProt

Additional MCM7 Products

Product Documents for Human MCM7 Antibody

Certificate of Analysis

To download a Certificate of Analysis, please enter a lot number in the search box below.

Note: Certificate of Analysis not available for kit components.

Product Specific Notices for Human MCM7 Antibody

For research use only

Loading...
Loading...
Loading...
Loading...
Loading...