Skip to main content

Key Product Details

Species Reactivity

Human

Applications

Immunohistochemistry, Western Blot

Label

Unconjugated

Antibody Source

Monoclonal Rat IgG2A Clone # 1096907

Product Specifications

Immunogen

Mouse myeloma cell line, NS0-derived human Lumican
Gln19-Asn338
Accession # P51884

Specificity

Detects recombinant human Lumican protein in Direct ELISA.

Clonality

Monoclonal

Host

Rat

Isotype

IgG2A

Scientific Data Images for Human Lumican Antibody

Detection of Human Lumican by Western Blot.

Western Blot shows lysates of human cartilage and human colon tissues. PVDF membrane was probed with 2 µg/ml of Rat Anti-Human Lumican Monoclonal Antibody (Catalog # MAB11706) followed by HRP-conjugated Anti-Rat IgG Secondary Antibody (Catalog # HAF005). A specific band was detected for Lumican at approximately 60-80 kDa (as indicated). This experiment was conducted under reducing conditions and using Western Blot Buffer Group 1.

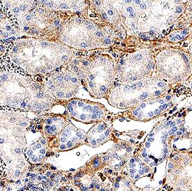
Detection of Lumican in Human Kidney.

Lumican was detected in immersion fixed paraffin-embedded sections of human kidney using Rat Anti-Human Lumican Monoclonal Antibody (Catalog # MAB11706) at 5 µg/ml overnight at 4 °C. Before incubation with the primary antibody, tissue was subjected to heat-induced epitope retrieval using VisUCyte Antigen Retrieval Reagent-Basic (Catalog # VCTS021). Tissue was stained using the HRP-conjugated Anti-Rat IgG Secondary Antibody (Catalog # HAF005) and counterstained with hematoxylin (blue). Specific staining was localized to the cytoplasm. View our protocol for Chromogenic IHC Staining of Paraffin-embedded Tissue Sections.

Applications for Human Lumican Antibody

Application
Recommended Usage

Immunohistochemistry

3-25 µg/mL
Sample: Immersion fixed paraffin-embedded sections of human kidney

Western Blot

2 µg/mL
Sample: Human cartilage and human colon tissue lysates

Formulation, Preparation, and Storage

Purification

Protein A or G purified from hybridoma culture supernatant

Reconstitution

Reconstitute lyophilized material at 0.2 mg/ml in sterile PBS. For liquid material, refer to CoA for concentration.

Reconstitution Buffer Available:
Size / Price
Qty
Loading...

Formulation

Lyophilized from a 0.2 μm filtered solution in PBS with Trehalose.

Shipping

Lyophilized product is shipped at ambient temperature. Liquid small pack size (-SP) is shipped with polar packs. Upon receipt, store immediately at the temperature recommended below.

Stability & Storage

Use a manual defrost freezer and avoid repeated freeze-thaw cycles.
  • 12 months from date of receipt, -20 to -70 °C as supplied.
  • 1 month, 2 to 8 °C under sterile conditions after reconstitution.
  • 6 months, -20 to -70 °C under sterile conditions after reconstitution.

Background: Lumican

Lumican is a 40 kDa member of the family of small leucine-rich repeat proteoglycans (SLRPs) and the class II subfamily (1). Human Lumican is synthesized as a 338 amino acid (aa) precursor that contains an 18 aa signal sequence and a 320 aa mature chain (SwissProt #: P51884). The mature chain contains a negatively charged N-terminal domain containing sulfated tyrosine and disulfide bonds, 12 leucine-rich repeats (LRRs), four potential sites of N-linked glycosylation, and a carboxyl terminal domain containing two conserved cysteines (1). Mature human Lumican is 88%, 87%, and 70% aa identical to mature mouse, rat, and chick Lumican, respectively. SLRPs constitute an important fraction of noncollagenous extracellular matrix proteins (ECM) proteins (1, 2). Lumican is expressed in a variety of tissues, including skin, artery, lung, cornea, kidney, bone, aorta, and articular cartilage (1). Lumican’s role in vivo has been found using Lumican null mice. These mice have functional deficits including corneal opacity as well as skin and tendon fragility associated with disorganized and loosely packed collagen fibers
(1, 3-6). The abnormal connective tissue phenotype seen in the Lumican null mice shows the importance of the role of Lumican in collagen fibrillogenesis (1). In addition to the control of collagen fibril assembly, Lumican has been shown to play a role in the regulation of cell proliferation (7, 8), migration (8, 9), and adhesion (9). Lumican’s over-expression has been reported in carcinoid tumor, breast, colorectal, neuroendocrine, uterine cervical and pancreatic cancers (10).

References

  1. Nikitovic, D. et al. (2008) IUBMB Life 60:818.
  2. Blochberger, T.C. et al. (1992) J. Biol. Chem. 267:347.
  3. Chakravarti, S. et al. (1998) J. Cell Biol. 141:1277.
  4. Chakravarti, S. et al. (2000) Invest. Ophthalmol. Vis. Sci. 41:3365.
  5. Jepsen, K.J. et al. (2002) J. Biol. Chem. 277:35532.
  6. Chakravarti, S. et al. (2003) Invest. Ophthalmol. Vis. Sci. 44:2422.
  7. Vuillermoz, B. et al. (2004) Exp. Cell Res. 296:294.
  8. Nikitovic, D. et al. (2008) FEBS J. 275:350.
  9. D’Onofrio, M.F. et al. (2008) Biochem. Biophys. Res. Commun. 365:266.
  10. Ishiwata, T. et al. (2007) Oncol. Rep. 18:537.

Alternate Names

LDC, LUM, SLRR2D

Entrez Gene IDs

4060 (Human); 17022 (Mouse)

Gene Symbol

LUM

UniProt

Additional Lumican Products

Product Documents for Human Lumican Antibody

Certificate of Analysis

To download a Certificate of Analysis, please enter a lot number in the search box below.

Note: Certificate of Analysis not available for kit components.

Product Specific Notices for Human Lumican Antibody

For research use only

Loading...
Loading...
Loading...
Loading...