Skip to main content

Key Product Details

Species Reactivity

Validated:

Human

Cited:

Human, Mouse, Rat, Transgenic Mouse

Applications

Validated:

Immunohistochemistry, Western Blot

Cited:

Immunohistochemistry, Immunohistochemistry-Paraffin, Immunohistochemistry-Frozen, Western Blot, Neutralization, Immunocytochemistry

Label

Unconjugated

Antibody Source

Monoclonal Rat IgG2A Clone # 220310

Product Specifications

Immunogen

Mouse myeloma cell line NS0-derived recombinant human Lipocalin-2/NGAL
Gln21-Gly198
Accession # P80188

Specificity

Detects human Lipocalin-2/NGAL in direct ELISAs and Western blots. In direct ELISAs and Western blots, this antibody does not cross‑react with recombinant human (rh) Lipocalin-1 or rmLipocalin-2. This antibody also recognizes human Lipocalin‑2/MMP‑9 complexes in Western blots under non-reducing conditions.

Clonality

Monoclonal

Host

Rat

Isotype

IgG2A

Scientific Data Images for Human Lipocalin-2/NGAL Antibody

Detection of Human Lipocalin-2/NGAL antibody by Western Blot.

Detection of Human Lipocalin-2/NGAL by Western Blot.

Western blot shows lysates of K562 human chronic myelogenous leukemia cell line. PVDF membrane was probed with 1 µg/mL of Rat Anti-Human Lipocalin-2/NGAL Monoclonal Antibody (Catalog # MAB1757) followed by HRP-conjugated Anti-Rat IgG Secondary Antibody (Catalog # HAF005). A specific band was detected for Lipocalin-2/NGAL at approximately 22 kDa (as indicated). This experiment was conducted under reducing conditions and using Immunoblot Buffer Group 1.
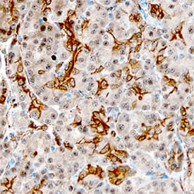
Lipocalin-2/NGAL antibody in Human Pancreas by Immunohistochemistry (IHC-P).

Lipocalin‑2/NGAL in Human Pancreas.

Lipocalin-2/NGAL was detected in immersion fixed paraffin-embedded sections of human pancreas using Rat Anti-Human Lipocalin-2/NGAL Monoclonal Antibody (Catalog # MAB1757) at 15 µg/mL overnight at 4 °C. Tissue was stained using the Anti-Rabbit HRP-DAB Cell & Tissue Staining Kit (brown; Catalog # CTS005) and counterstained with hematoxylin (blue). Specific staining was localized to plasma membrane of ductal cells. View our protocol for Chromogenic IHC Staining of Paraffin-embedded Tissue Sections.
Detection of Human Lipocalin-2/NGAL antibody by Western Blot.

Detection of Human Lipocalin‑2/NGAL by Western Blot.

Western blot shows lysates of Capan-1 human pancreatic adenocarcinoma cell line, HT-29 human colon adenocarcinoma cell line, and human bone marrow tissue. PVDF membrane was probed with 0.2 µg/mL of Rat Anti-Human Lipocalin-2/NGAL Monoclonal Antibody (Catalog # MAB1757) followed by HRP-conjugated Anti-Rat IgG Secondary Antibody (Catalog # HAF005). A specific band was detected for Lipocalin-2/NGAL at approximately 22 kDa (as indicated). This experiment was conducted under reducing conditions and using Immunoblot Buffer Group 1.

Applications for Human Lipocalin-2/NGAL Antibody

Application
Recommended Usage

Immunohistochemistry

8-25 µg/mL
Sample: Immersion fixed paraffin-embedded sections of human pancreas

Western Blot

0.2-1 µg/mL
Sample: K562 human chronic myelogenous leukemia cell line, Capan‑1 human pancreatic adenocarcinoma cell line, HT‑29 human colon adenocarcinoma cell line, and human bone marrow tissue

Reviewed Applications

Read 2 reviews rated 5 using MAB1757 in the following applications:

Formulation, Preparation, and Storage

Purification

Protein A or G purified from hybridoma culture supernatant

Reconstitution

Reconstitute at 0.5 mg/mL in sterile PBS. For liquid material, refer to CoA for concentration.

Reconstitution Buffer Available:
Size / Price
Qty
Loading...

Formulation

Lyophilized from a 0.2 μm filtered solution in PBS with Trehalose. *Small pack size (SP) is supplied either lyophilized or as a 0.2 µm filtered solution in PBS.

Shipping

Lyophilized product is shipped at ambient temperature. Liquid small pack size (-SP) is shipped with polar packs. Upon receipt, store immediately at the temperature recommended below.

Stability & Storage

Use a manual defrost freezer and avoid repeated freeze-thaw cycles.
  • 12 months from date of receipt, -20 to -70 °C as supplied.
  • 1 month, 2 to 8 °C under sterile conditions after reconstitution.
  • 6 months, -20 to -70 °C under sterile conditions after reconstitution.

Background: Lipocalin-2/NGAL

Members of Lipocalin family share a highly conserved fold with an eight-stranded antiparallel beta barrel, and act as a transporters, carrying small molecules to specific cells (1). Lipocalin-2, also known as Neutrophil Gelatinase-Associated Lipocalin (NGAL), was originally identified as a component of neutrophil granules (2). It is a 25 kDa protein existing in monomeric and homo- and heterodimeric forms, the latter as a dimer with human neutrophil gelatinases (MMP-9) (2). Its expression has been observed in most tissues normally exposed to microorganism, and its synthesis is induced in epithelial cells during inflammation (3). Lipocalin-2 has been implicated in a variety of processes including cell differentiation, tumorigenesis, and apoptosis (3-5). Studies indicate that Lipocalin-2 binds a bacterial catecholate sidropore bound to ferric ion such as enterobactin with a subnanomolar dissociation constant (Kd = 0.41 nM) (6). The bound ferric enterobactin complex breaks down slowly in a month into dihydroxybenzoyl serine and dihydroxybenzoic acid (DHBA). It also binds to a ferric DHBA complex with much less Kd values (7.9 nM) (6). Secretion of Lipocalin‑2 in immune cells increases by stimulation of Toll-like receptor as an acute phase response to infection. As a result, it acts as a potent bacteriostatic reagent by sequestering iron (7). Moreover, Lipocalin-2 can alter the invasive and metastatic behavior of Ras-transformed breast cancer cells in vitro and in vivo by reversing epithelial to mesenchymal transition inducing activity of Ras, through restoration of E-cadherin expression, via effects on the Ras-MAPK signaling pathway (8).

References

  1. Flower, D.R. et al. (1994) FEBS Lett. 354:7.
  2. Kjeldsen, L. et al. (1993) J. Biol. Chem. 268:10426.
  3. Kjeldsen L, et al. (2000) Biochim Biophys Acta. 1482:272.
  4. Devireddy, L.R. et al. (2001) Science 293:829.
  5. Yang, M.B. et al. (2002) Mol. Cell. 10:1045.
  6. Goetz, D.H. et al. (2002) Mol. Cell 10:1033.
  7. Flo, T.H. et al. (2004) Nature 432:917.
  8. Hanai, J. et al. (2005) J. Biol. Chem. 280:13641.

Long Name

Neutrophil Gelatinase-associated Lipocalin

Alternate Names

24p3, LCN2, Lipocalin2, MSFI, NGAL, Oncogene 24p3, p25, Siderocalin, Uterocalin

Entrez Gene IDs

3934 (Human); 16819 (Mouse); 170496 (Rat); 102137149 (Cynomolgus Monkey)

Gene Symbol

LCN2

UniProt

Additional Lipocalin-2/NGAL Products

Product Documents for Human Lipocalin-2/NGAL Antibody

Certificate of Analysis

To download a Certificate of Analysis, please enter a lot number in the search box below.

Note: Certificate of Analysis not available for kit components.

Product Specific Notices for Human Lipocalin-2/NGAL Antibody

For research use only

Loading...
Loading...
Loading...
Loading...