Skip to main content

Key Product Details

Species Reactivity

Validated:

Human

Cited:

Human

Applications

Validated:

Immunohistochemistry, Western Blot, Simple Western

Cited:

Immunohistochemistry, Simple Western

Label

Unconjugated

Antibody Source

Polyclonal Goat IgG

Product Specifications

Immunogen

E. coli-derived recombinant human Lck
Met1-Val66
Accession # P06239

Specificity

Detects human Lck in Western blots.

Clonality

Polyclonal

Host

Goat

Isotype

IgG

Scientific Data Images for Human Lck Antibody

Detection of Human Lck antibody by Western Blot.

Detection of Human Lck by Western Blot.

Western blot shows lysates of MOLT-4 human acute lymphoblastic leukemia cell line and Jurkat human acute T cell leukemia cell line. PVDF Membrane was probed with 0.5 µg/mL of Goat Anti-Human Lck Antigen Affinity-purified Polyclonal Antibody (Catalog # AF3704) followed by HRP-conjugated Anti-Goat IgG Secondary Antibody (HAF109). A specific band was detected for Lck at approximately 56 kDa (as indicated). This experiment was conducted under reducing conditions and using Immunoblot Buffer Group 1.
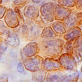
Lck antibody in Human Thymus by Immunohistochemistry (IHC-P).

Lck in Human Thymus.

Lck was detected in immersion fixed paraffin-embedded sections of human thymus using Goat Anti-Human Lck Antigen Affinity-purified Polyclonal Antibody (Catalog # AF3704) at 3 µg/mL for 1 hour at room temperature followed by incubation with the Anti-Goat IgG VisUCyte™ HRP Polymer Antibody (VC004). Tissue was stained using DAB (brown) and counterstained with hematoxylin (blue). Specific staining was localized to plasma membrane. View our protocol for IHC Staining with VisUCyte HRP Polymer Detection Reagents.

Detection of Human Lck by Simple WesternTM.

Simple Western lane view shows lysates of Jurkat human acute T cell leukemia cell line, loaded at 0.2 mg/mL. A specific band was detected for Lck at approximately 57 kDa (as indicated) using 5 µg/mL of Goat Anti-Human Lck Antigen Affinity-purified Polyclonal Antibody (Catalog # AF3704) . This experiment was conducted under reducing conditions and using the 12-230kDa separation system.

Applications for Human Lck Antibody

Application
Recommended Usage

Immunohistochemistry

3-15 µg/mL
Sample: Immersion fixed paraffin-embedded sections of human thymus

Simple Western

5 µg/mL
Sample: Jurkat human acute T cell leukemia cell line

Western Blot

0.5 µg/mL
Sample: MOLT‑4 human acute lymphoblastic leukemia cell line and Jurkat human acute T cell leukemia cell line

Formulation, Preparation, and Storage

Purification

Antigen Affinity-purified

Reconstitution

Reconstitute at 0.2 mg/mL in sterile PBS. For liquid material, refer to CoA for concentration.

Reconstitution Buffer Available:
Size / Price
Qty
Loading...

Formulation

Lyophilized from a 0.2 μm filtered solution in PBS with Trehalose. *Small pack size (SP) is supplied either lyophilized or as a 0.2 µm filtered solution in PBS.

Shipping

Lyophilized product is shipped at ambient temperature. Liquid small pack size (-SP) is shipped with polar packs. Upon receipt, store immediately at the temperature recommended below.

Stability & Storage

Use a manual defrost freezer and avoid repeated freeze-thaw cycles.
  • 12 months from date of receipt, -20 to -70 °C as supplied.
  • 1 month, 2 to 8 °C under sterile conditions after reconstitution.
  • 6 months, -20 to -70 °C under sterile conditions after reconstitution.

Background: Lck

Lck (p56lck) is a 56 kDa cytosolic phosphoprotein within the Src family of non-receptor tyrosine kinases. The 509 amino acid (aa) human Lck contains an SH3 domain (aa 61-121), an SH2 domain (aa 127-224) and a protein kinase domain (aa 251-259). Within aa 2-66, human Lck shares 89% aa sequence identity with mouse and rat Lck. A short (363 aa) isoform contains alternate sequence starting at aa 348, while a 539 aa isoform contains inserted sequence after aa 321. Lck interacts with T cell CD4 and CD8 molecules and plays a pivotal role in regulating T cell activation. It can be overexpressed in cancers and functions as an oncogene.

Long Name

Lymphocyte Protein Tyrosine Kinase

Alternate Names

Hck-3, Lcktkr, LSTRA, p56lck, pp58lck, YT16

Entrez Gene IDs

3932 (Human); 16818 (Mouse); 313050 (Rat)

Gene Symbol

LCK

UniProt

Additional Lck Products

Product Documents for Human Lck Antibody

Certificate of Analysis

To download a Certificate of Analysis, please enter a lot number in the search box below.

Note: Certificate of Analysis not available for kit components.

Product Specific Notices for Human Lck Antibody

For research use only

Loading...
Loading...
Loading...
Loading...