Skip to main content

Key Product Details

Species Reactivity

Validated:

Human

Cited:

Human

Applications

Validated:

Immunohistochemistry, Western Blot

Cited:

Immunocytochemistry

Label

Unconjugated

Antibody Source

Polyclonal Sheep IgG

Product Specifications

Immunogen

E. coli-derived recombinant human IRF4
Glu130-Glu451
Accession # Q15306

Specificity

Detects human IRF4 in direct ELISAs. In direct ELISAs, less than 1% cross-reactivity with recombinant human (rh) IRF3, rhIRF5, and rhIRF6 is observed.

Clonality

Polyclonal

Host

Sheep

Isotype

IgG

Scientific Data Images for Human IRF4 Antibody

Detection of Human IRF4 antibody by Western Blot.

Detection of Human IRF4 by Western Blot.

Western blot shows lysates of Ramos human Burkitt's lymphoma cell line, Raji human Burkitt's lymphoma cell line, and RPMI 8226 human multiple myeloma cell line. PVDF membrane was probed with 0.5 µg/mL of Sheep Anti-Human IRF4 Antigen Affinity-purified Polyclonal Antibody (Catalog # AF5525) followed by HRP-conjugated Anti-Sheep IgG Secondary Antibody (Catalog # HAF016). A specific band was detected for IRF4 at approximately 53 kDa (as indicated). This experiment was conducted under reducing conditions and using Immunoblot Buffer Group 1.
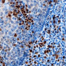
IRF4 antibody in Human Tonsil by Immunohistochemistry (IHC-P).

IRF4 in Human Tonsil.

IRF4 was detected in immersion fixed paraffin-embedded sections of human tonsil using Sheep Anti-Human IRF4 Antigen Affinity-purified Polyclonal Antibody (Catalog # AF5525) at 3 µg/mL overnight at 4 °C. Before incubation with the primary antibody, tissue was subjected to heat-induced epitope retrieval using Antigen Retrieval Reagent-Basic (Catalog # CTS013). Tissue was stained using the Anti-Sheep HRP-DAB Cell & Tissue Staining Kit (brown; Catalog # CTS019) and counterstained with hematoxylin (blue). Specific staining was localized to cytoplasm of lymphocytes. View our protocol for Chromogenic IHC Staining of Paraffin-embedded Tissue Sections.

Applications for Human IRF4 Antibody

Application
Recommended Usage

Immunohistochemistry

5-15 µg/mL
Sample: Immersion fixed paraffin-embedded sections of human tonsil

Western Blot

0.5 µg/mL
Sample: Ramos human Burkitt's lymphoma cell line, Raji human Burkitt's lymphoma cell line, and RPMI 8226 human multiple myeloma cell line

Reviewed Applications

Read 1 review rated 5 using AF5525 in the following applications:

Formulation, Preparation, and Storage

Purification

Antigen Affinity-purified

Reconstitution

Sterile PBS to a final concentration of 0.2 mg/mL. For liquid material, refer to CoA for concentration.

Reconstitution Buffer Available:
Size / Price
Qty
Loading...

Formulation

Lyophilized from a 0.2 μm filtered solution in PBS with Trehalose. *Small pack size (SP) is supplied either lyophilized or as a 0.2 µm filtered solution in PBS.

Shipping

Lyophilized product is shipped at ambient temperature. Liquid small pack size (-SP) is shipped with polar packs. Upon receipt, store immediately at the temperature recommended below.

Stability & Storage

Use a manual defrost freezer and avoid repeated freeze-thaw cycles.
  • 12 months from date of receipt, -20 to -70 °C as supplied.
  • 1 month, 2 to 8 °C under sterile conditions after reconstitution.
  • 6 months, -20 to -70 °C under sterile conditions after reconstitution.

Background: IRF4

Interferon regulatory factor 4 (IRF4), also known as MUM1 and LSIRF, is a 51 kDa lymphocyte-restricted transcription factor. It is required for immunoglobulin class switching and terminal differentiation of B cells. IRF4 is overexpressed in multiple myeloma and cooperates with Myc in an autoregulatory loop. In T cells, IRF4 is required for the production of IL-4. IRF4 contains an N-terminal DNA binding domain that is homologous to that in other IRF proteins. Within the C-terminal domain (aa 130‑451), human IRF4 shares 90% aa sequence identity with mouse and rat IRF4. Alternate splicing may generate isoforms with N-terminal, C-terminal, or internal deletions.

Long Name

Interferon Regulatory Factor 4

Alternate Names

LSIRF, MUM1, NF-EM5

Entrez Gene IDs

3662 (Human); 16364 (Mouse); 291100 (Rat)

Gene Symbol

IRF4

UniProt

Additional IRF4 Products

Product Documents for Human IRF4 Antibody

Certificate of Analysis

To download a Certificate of Analysis, please enter a lot number in the search box below.

Note: Certificate of Analysis not available for kit components.

Product Specific Notices for Human IRF4 Antibody

For research use only

Loading...
Loading...
Loading...
Loading...
Loading...