Skip to main content

Key Product Details

Species Reactivity

Human

Applications

Immunohistochemistry, Western Blot

Label

Unconjugated

Antibody Source

Monoclonal Mouse IgG1 Clone # 874029

Product Specifications

Immunogen

Chinese hamster ovary cell line CHO-derived recombinant human Intelectin-2
Met1-Tyr324
Accession # Q8WWU7

Specificity

Detects human Intelectin-2 in ELISA. In Direct ELISA, no cross-reactivity with recombinant human (rh) Intelectin-1, recombinant mouse (rm) Intelectin-1, or rmIntelectin-2 is observed.

Clonality

Monoclonal

Host

Mouse

Isotype

IgG1

Scientific Data Images for Human Intelectin-2 Antibody

Detection of Human Intelectin-2 antibody by Western Blot.

Detection of Human Intelectin‑2 by Western Blot.

Western blot shows lysates of human small intestine tissue. PVDF membrane was probed with 2 µg/mL of Mouse Anti-Human Intelectin-2 Monoclonal Antibody (Catalog # MAB8004) followed by HRP-conjugated Anti-Mouse IgG Secondary Antibody (Catalog # HAF018). A specific band was detected for Intelectin-2 at approximately 35 kDa (as indicated). This experiment was conducted under reducing conditions and using Immunoblot Buffer Group 1.
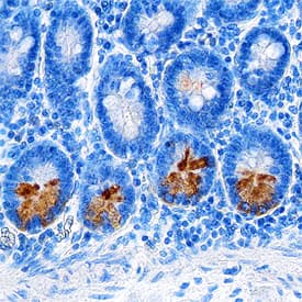
Intelectin-2 antibody in Human Colon by Immunohistochemistry (IHC-P).

Intelectin‑2 in Human Colon.

Intelectin-2 was detected in formalin fixed paraffin-embedded sections of human small intestine using Mouse Anti-Human Intelectin-2 Monoclonal Antibody (Catalog # MAB8004) at 5 µg/mL overnight at 4 °C. Tissue was stained using the Anti-Mouse HRP-DAB Cell & Tissue Staining Kit (brown; Catalog # CTS002) and counterstained with hematoxylin (blue). Specific staining was localized to Paneth cells in intestinal glands. View our protocol for Chromogenic IHC Staining of Paraffin-embedded Tissue Sections.

Applications for Human Intelectin-2 Antibody

Application
Recommended Usage

Immunohistochemistry

8-25 µg/mL
Sample: Formalin fixed paraffin-embedded sections of normal human colon

Western Blot

2 µg/mL
Sample: Human small intestine tissue

Reviewed Applications

Read 1 review rated 5 using MAB8004 in the following applications:

Formulation, Preparation, and Storage

Purification

Protein A or G purified from hybridoma culture supernatant

Reconstitution

Reconstitute at 0.5 mg/mL in sterile PBS. For liquid material, refer to CoA for concentration.

Reconstitution Buffer Available:
Size / Price
Qty
Loading...

Formulation

Lyophilized from a 0.2 μm filtered solution in PBS with Trehalose. *Small pack size (SP) is supplied either lyophilized or as a 0.2 µm filtered solution in PBS.

Shipping

Lyophilized product is shipped at ambient temperature. Liquid small pack size (-SP) is shipped with polar packs. Upon receipt, store immediately at the temperature recommended below.

Stability & Storage

Use a manual defrost freezer and avoid repeated freeze-thaw cycles.
  • 12 months from date of receipt, -20 to -70 °C as supplied.
  • 1 month, 2 to 8 °C under sterile conditions after reconstitution.
  • 6 months, -20 to -70 °C under sterile conditions after reconstitution.

Background: Intelectin-2

Intelectin-2 (ITLN-2; also endothelial lectin 2 and HL-2) is a 37-41 kDa, likely Ca-dependent carbohydrate-binding lectin that is a member of the X-lectin family of molecules.  It is secreted by intestinal Paneth cells, and appears to participate in fungal microbe recognition.  The human ITLN-2 precursor is 325 amino acids (aa) in length (SwissProt #:Q8WWU7).  It contains a 26 aa signal sequence and a 299 aa mature region.  Although mouse ITLN-2 is reportedly GPI-linked, and mouse and human ITLN-2 show considerable C-terminal aa identity, it is not known if human ITNL-2 is also GPI-linked.  There is one fibrinogen-related domain in the mature molecule (aa 44-267).  One potential splice variant is reported that shows a premature truncation after Gly264.  Over aa 29-324, human ITLN-2 shares 79% aa sequence identity with mouse ITLN-2/ITLN-1b, and 85% aa sequence identity with human ITLN-1.      

Alternate Names

HL-2, Intelectin-b, Intelectin2, Itln1b, ITLN2, Itlnb

Entrez Gene IDs

142683 (Human); 493583 (Mouse)

Gene Symbol

ITLN2

UniProt

Additional Intelectin-2 Products

Product Documents for Human Intelectin-2 Antibody

Certificate of Analysis

To download a Certificate of Analysis, please enter a lot number in the search box below.

Note: Certificate of Analysis not available for kit components.

Product Specific Notices for Human Intelectin-2 Antibody

For research use only

Loading...
Loading...
Loading...
Loading...