Skip to main content

Human IL-6 Antibody

R&D Systems, part of Bio-Techne | Catalog # MAB95402

Recombinant Monoclonal Antibody.
R&D Systems, part of Bio-Techne

Key Product Details

Species Reactivity

Human

Applications

Immunohistochemistry, Immunocytochemistry

Label

Unconjugated

Antibody Source

Recombinant Monoclonal Rabbit IgG Clone # 2828D

Product Specifications

Immunogen

E. coli-derived human IL-6 protein
Pro29-Met212
Accession # Q75MH2

Specificity

Detects human IL-6 in direct ELISAs.

Clonality

Monoclonal

Host

Rabbit

Isotype

IgG

Scientific Data Images for Human IL-6 Antibody

IL-6 in Human PBMCs.

IL-6 was detected in immersion fixed human peripheral blood mononuclear cells (PBMCs) treated with PHA (positive staining) and untreated PBMCs (negative control) using Rabbit Anti-Human IL-6 Monoclonal Antibody (Catalog # MAB95402) at 8 µg/mL for 3 hours at room temperature. Cells were stained using the NorthernLights™ 557-conjugated Anti-Rabbit IgG Secondary Antibody (red; NL004) and counterstained with DAPI (blue). Specific staining was localized to cell cytoplasm. Staining was performed using our protocol for Fluorescent ICC Staining of Non-adherent Cells.

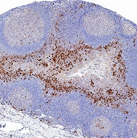
IL-6 in Human Tonsil.

IL-6 was detected in immersion fixed paraffin-embedded sections of human tonsil using Rabbit Anti-Human IL-6 Monoclonal Antibody (Catalog # MAB95402) at 3 µg/mL for 1 hour at room temperature followed by incubation with the Anti-Rabbit IgG VisUCyte™ HRP Polymer Antibody (VC003). Before incubation with the primary antibody, tissue was subjected to heat-induced epitope retrieval using Antigen Retrieval Reagent-Basic (CTS013). Tissue was stained using DAB (brown) and counterstained with hematoxylin (blue). Specific staining was localized to lymphocytes. Staining was performed using our protocol for IHC Staining with VisUCyte HRP Polymer Detection Reagents.

Applications for Human IL-6 Antibody

Application
Recommended Usage

Immunocytochemistry

8-25 µg/mL
Sample: Immersion fixed human peripheral blood mononuclear cells (PBMCs) treated with PHA

Immunohistochemistry

3-25 µg/mL
Sample: Immersion fixed paraffin-embedded sections of human tonsil

Formulation, Preparation, and Storage

Purification

Protein A or G purified from cell culture supernatant

Reconstitution

Reconstitute at 0.5 mg/mL in sterile PBS. For liquid material, refer to CoA for concentration.

Reconstitution Buffer Available:
Size / Price
Qty
Loading...

Formulation

Lyophilized from a 0.2 μm filtered solution in PBS with Trehalose. *Small pack size (SP) is supplied either lyophilized or as a 0.2 µm filtered solution in PBS.

Shipping

Lyophilized product is shipped at ambient temperature. Liquid small pack size (-SP) is shipped with polar packs. Upon receipt, store immediately at the temperature recommended below.

Stability & Storage

Use a manual defrost freezer and avoid repeated freeze-thaw cycles.
  • 12 months from date of receipt, -20 to -70 °C as supplied.
  • 1 month, 2 to 8 °C under sterile conditions after reconstitution.
  • 6 months, -20 to -70 °C under sterile conditions after reconstitution.

Background: IL-6

Interleukin-6 (IL-6) is a pleiotropic, alpha-helical, 22-28 kDa phosphorylated and variably glycosylated cytokine that plays important roles in the acute phase reaction, inflammation, hematopoiesis, bone metabolism, and cancer progression (1-5). Mature human IL-6 is 183 amino acids (aa) in length and shares 39% aa sequence identity with mouse and rat IL-6 (6). Alternative splicing generates several isoforms with internal deletions, some of which exhibit antagonistic properties (7-10). IL-6 induces signaling through a cell surface heterodimeric receptor complex composed of a ligand binding subunit (IL-6 R alpha) and a signal transducing subunit (gp130). IL-6 binds to IL-6 R alpha, triggering IL-6 R alpha association with gp130 and gp130 dimerization (11). gp130 is also a component of the receptors for CLC, CNTF, CT-1, IL-11, IL-27, LIF, and OSM (12). Soluble forms of IL-6 R alpha are generated by both alternative splicing and proteolytic cleavage (5). In a mechanism known as trans-signaling, complexes of soluble IL-6 and IL-6 R alpha elicit responses from gp130-expressing cells that lack cell surface IL-6 R alpha (5). Trans-signaling enables a wider range of cell types to respond to IL-6, as the expression of gp130 is ubiquitous, while that of IL-6 R alpha is predominantly restricted to hepatocytes, monocytes, and resting lymphocytes (2, 5). Soluble splice forms of gp130 block trans-signaling from IL-6/IL-6 R alpha but not from other cytokines that use gp130 as a co-receptor (5, 13). IL-6, along with TNF-alpha and IL-1, drives the acute inflammatory response and the transition from acute inflammation to either acquired immunity or chronic inflammatory disease (1-5). When dysregulated, it contributes to chronic inflammation in obesity, insulin resistance, inflammatory bowel disease, arthritis, sepsis, and atherosclerosis (1, 2, 5). IL-6 can also function as an anti-inflammatory molecule, as in skeletal muscle where it is secreted in response to exercise (2). In addition, it enhances hematopoietic stem cell proliferation and the differentiation of Th17 cells, memory B cells, and plasma cells (1, 14).

References

  1. Mansell, A. and B.J. Jenkins (2013) Cytokine Growth Factor Rev. 24:249.
  2. Schuett, H. et al. (2009) Thromb. Haemost. 102:215.
  3. Erta, M. et al. (2012) Int. J. Biol. Sci. 8:1254.
  4. Garbers, C. et al. (2012) Cytokine Growth Factor Rev. 23:85.
  5. Mihara, M. et al. (2012) Clin. Sci. (Lond.) 122:143.
  6. Hirano, T. et al. (1986) Nature 324:73.
  7. Kestler, D.P. et al. (1995) Blood 86:4559.
  8. Kestler, D.P. et al. (1999) Am. J. Hematol. 61:169.
  9. Bihl, M.P. et al. (2002) Am. J. Respir. Cell Mol. Biol. 27:48.
  10. Alberti, L. et al. (2005) Cancer Res. 65:2.
  11. Murakami, M. et al. (1993) Science 260:1808.
  12. Muller-Newen, G. (2003) Sci. STKE 2003:PE40.
  13. Mitsuyama, K. et al. (2006) Clin. Exp. Immunol. 143:125.
  14. Cerutti, A. et al. (1998) J. Immunol. 160:2145.

Long Name

Interleukin 6

Alternate Names

BSF-2, BSF2, IFNB2, IL6, MGI-2A

Entrez Gene IDs

3569 (Human); 16193 (Mouse); 24498 (Rat); 399500 (Porcine); 280826 (Bovine); 403985 (Canine); 102138971 (Cynomolgus Monkey); 100034196 (Equine); 493687 (Feline); 463288 (Primate); 100008733 (Rabbit)

Gene Symbol

IL6

UniProt

Additional IL-6 Products

Product Documents for Human IL-6 Antibody

Certificate of Analysis

To download a Certificate of Analysis, please enter a lot number in the search box below.

Note: Certificate of Analysis not available for kit components.

Product Specific Notices for Human IL-6 Antibody

For research use only

Loading...
Loading...
Loading...
Loading...