Skip to main content

Key Product Details

Validated by

Biological Validation

Species Reactivity

Validated:

Human

Cited:

Human

Applications

Validated:

Western Blot, Intracellular Staining by Flow Cytometry, Immunocytochemistry, CyTOF-ready

Cited:

Immunohistochemistry, Immunohistochemistry-Paraffin, Flow Cytometry, Competitive Binding Assay

Label

Unconjugated

Antibody Source

Monoclonal Mouse IgG1 Clone # 9906

Product Specifications

Immunogen

S. frugiperda insect ovarian cell line Sf 21-derived recombinant human IL-5
Ile20-Ser134
Accession # P05113

Specificity

Detects human IL-5 in direct ELISAs and Western blots. In direct ELISAs and Western blots, no cross-reactivity with recombinant mouse IL‑5 is observed.

Clonality

Monoclonal

Host

Mouse

Isotype

IgG1

Scientific Data Images for Human IL-5 Antibody

IL-5 antibody in Human Peripheral Blood Lymphocytes by Immunocytochemistry (ICC).

IL-5 in Human Peripheral Blood Lymphocytes.

IL-5 was detected in immersion fixed human peripheral blood lymphocytes using Mouse Anti-Human IL-5 Monoclonal Antibody (Catalog # MAB605) at 5 µg/mL for 3 hours at room temperature. Cells were stained (red) and counterstained (green). Specific labeling was localized to the cytoplasm of PBMCs. View our protocol for Fluorescent ICC Staining of Non-adherent Cells.
Detection of IL-5 antibody in PMA and Ca2+ionomycin-treated Human PBMCs antibody by Flow Cytometry.

Detection of IL‑5 in PMA and Ca2+ionomycin-treated Human PBMCs by Flow Cytometry.

Human PBMCs, untreated (light orange filled histogram) or activated with 50 ng/mL PMA and 500 ng/mL Ca2+ionomycin for 5 hours (dark orange filled histogram), were stained with Human IL-5 Monoclonal Antibody (Catalog # MAB605) or isotype control antibody (Catalog # MAB002, open histogram), followed by Fluorescein-conjugated Anti-Mouse IgG F(ab')2Secondary Antibody (Catalog # F0103B). To facilitate intracellular staining, cells were fixed with paraformaldehyde and permeabilized with saponin.
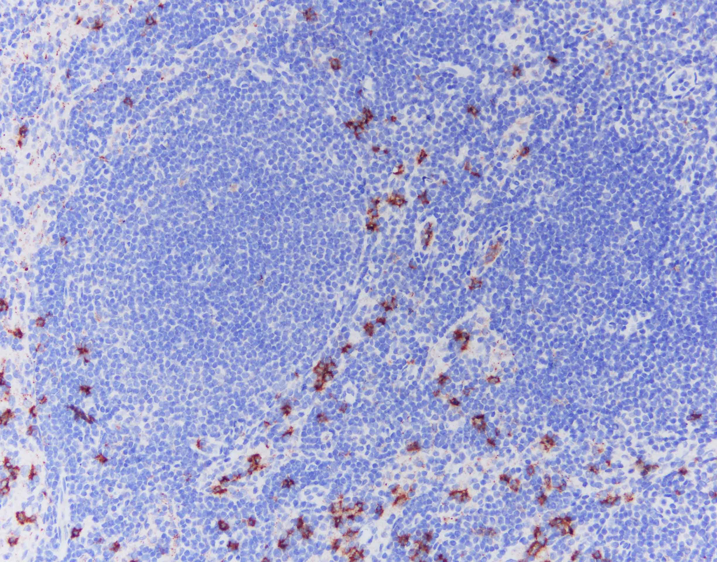
IL‑5 in Human Lymph Node Tissue.

IL‑5 in Human Lymph Node Tissue.

pretreatment: basic buffer, heating Primary Ab: MAB605 x100 Detection: DAB Refine kit, standard protocol. Image from a verified customer review.

Applications for Human IL-5 Antibody

Application
Recommended Usage

CyTOF-ready

Ready to be labeled using established conjugation methods. No BSA or other carrier proteins that could interfere with conjugation.

Immunocytochemistry

8-25 µg/mL
Sample: Immersion fixed human peripheral blood lymphocytes and activated T cells

Intracellular Staining by Flow Cytometry

2.5 µg/106 cells
Sample: PMA and Ca2+ ionomycin‑treated human PBMCs, fixed with paraformaldehyde, and permeabilized with saponin

Western Blot

1 µg/mL
Sample: Recombinant Human IL-5 (Catalog # 205-IL)

Reviewed Applications

Read 3 reviews rated 4.7 using MAB605 in the following applications:

Formulation, Preparation, and Storage

Purification

Protein A or G purified from ascites

Reconstitution

Reconstitute at 0.5 mg/mL in sterile PBS. For liquid material, refer to CoA for concentration.

Reconstitution Buffer Available:
Size / Price
Qty
Loading...

Formulation

Lyophilized from a 0.2 μm filtered solution in PBS with Trehalose. *Small pack size (SP) is supplied either lyophilized or as a 0.2 µm filtered solution in PBS.

Shipping

Lyophilized product is shipped at ambient temperature. Liquid small pack size (-SP) is shipped with polar packs. Upon receipt, store immediately at the temperature recommended below.

Stability & Storage

Use a manual defrost freezer and avoid repeated freeze-thaw cycles.
  • 12 months from date of receipt, -20 to -70 °C as supplied.
  • 1 month, 2 to 8 °C under sterile conditions after reconstitution.
  • 6 months, -20 to -70 °C under sterile conditions after reconstitution.

Background: IL-5

Interleukin-5 (IL-5) is a secreted glycoprotein that belongs to the alpha-helical group of cytokines (1 ‑ 3). Unlike other family members, it is present as a covalently linked antiparallel dimer (4, 5). The cDNA for human IL-5 encodes a signal peptide and a 115 amino acid (aa) mature protein. Mature human IL-5 shares 70%, 70%, 62%, 71%, 70% and 66%, aa sequence identity with mouse, rat, canine, equine, feline and porcine IL-5, respectively and shows cross‑reactivity with mouse IL-5. IL-5 is primarily produced by CD4+ Th2 cells, but also by activated eosinophils, mast cells, EBV-transformed B cells, Reed-Sternberg cells in Hodgkin’s disease, and IL‑2‑stimulated invariant natural killer T cells (iNKT) (1 ‑ 3, 6 ‑ 8). IL-5 increases production and mobilization of eosinophils and CD34+ progenitors from the bone marrow and causes maturation of eosinophil precursors outside the bone marrow (1, 6, 9, 10). The receptor for human IL-5, mainly expressed by eosinophils, but also found on basophils and mast cells, consists of a unique ligand-binding subunit (IL-5 R alpha) and a shared signal‑transducing subunit, betac (3, 6, 11). IL-5 R alpha first binds IL-5 at low affinity, then associates with preformed betac dimers, forming a high-affinity receptor (12). IL-5 also binds proteoglycans, potentially enhancing its activity (13). Soluble forms of IL-5 R alpha  antagonize IL-5 and can be found in vivo (10, 14). In humans, IL-5 primarily affects cells of the eosinophilic lineage, and promotes their differentiation, maturation, activation, migration and survival, while in mice IL-5 also enhances Ig class switching and release from B1 cells (1 ‑ 3, 9, 10, 15, 16). IL-5 also promotes differentiation of basophils and primes them for histamine and leukotriene release (17).

References

  1. Rosenberg, H. F. et al. (2007) J. Allergy Clin. Immunol. 119:1303.
  2. Elsas, P.X. and M. I. G. Elsas (2007) Curr. Med. Chem. 14:1925.
  3. Martinez-Moczygemba, M. and D. P. Huston (2003) J. Allergy Clin. Immunol. 112:653.
  4. Minamitake, Y. et al. (1990) J. Biochem. 107:292.
  5. McKenzie, A. N. et al. (1991) Mol. Immunol. 28:155.
  6. Shakoory, B. et al. (2004) J. Interferon Cytokine Res. 24:271.
  7. Lalani, T. et al. (1999) Ann. Allergy Asthma Immunol. 82:317.
  8. Sakuishi, K. et al. (2007) J. Immunol. 179:3452.
  9. Clutterbuck, E. J. et al. (1989) Blood 73:1504.
  10. Cameron, L. et al. (2000) J. Immunol. 164:1538.
  11. Tavernier, J. et al. (1991) Cell 66:1175.
  12. Zaks-Zilberman, M. et al. (2008) J. Biol. Chem. 283:13398.
  13. Lipscombe, R. et al. (1998) J. Leukocyte Biol. 63:342.
  14. Tavernier, J. et al. (2000) Blood 95:1600.
  15. Kopf, M. et al. (1996) Immunity 4:15.
  16. Horikawa, K. and K. Takatsu (2006) Immunology 118:497.
  17. Denburg, J. A. et al. (1991) Blood 77:1462.

Long Name

Interleukin 5

Alternate Names

BCDF mu, BCGFII, EDF, Eo-CSF, IL5, TRF

Entrez Gene IDs

3567 (Human); 16191 (Mouse); 24497 (Rat); 397409 (Porcine); 280825 (Bovine); 403790 (Canine); 100034199 (Equine); 493803 (Feline)

Gene Symbol

IL5

UniProt

Additional IL-5 Products

Product Documents for Human IL-5 Antibody

Certificate of Analysis

To download a Certificate of Analysis, please enter a lot number in the search box below.

Note: Certificate of Analysis not available for kit components.

Product Specific Notices for Human IL-5 Antibody

For research use only

Loading...
Loading...
Loading...
Loading...
Loading...
Loading...