Skip to main content

Key Product Details

Species Reactivity

Validated:

Human

Cited:

Human

Applications

Validated:

Immunohistochemistry, Western Blot, Flow Cytometry, CyTOF-ready

Cited:

Western Blot

Label

Unconjugated

Antibody Source

Polyclonal Goat IgG

Product Specifications

Immunogen

Mouse myeloma cell line NS0-derived recombinant human IL‑17 RB
Arg18-Gly289
Accession # NP_061195

Specificity

Detects human IL‑17 RB in Western blots. In Western blots, approximately 35% cross-reactivity with recombinant mouse (rm) IL‑17 RB is observed, approximately 5% cross-reactivity with rmIL-17 R is observed, and less than 1% cross-reactivity with recombinant human IL‑17 R is observed.

Clonality

Polyclonal

Host

Goat

Isotype

IgG

Scientific Data Images for Human IL-17RB Antibody

Detection of IL-17 RB antibody in K562 Human Cell Line antibody by Flow Cytometry.

Detection of IL‑17 RB in K562 Human Cell Line by Flow Cytometry.

K562 human chronic myelogenous leukemia cell line was stained with Goat Anti-Human IL-17 RB Antigen Affinity-purified Polyclonal Antibody (Catalog # AF1207, filled histogram) or control antibody (Catalog # AB-108-C, open histogram), followed by Phycoerythrin-conjugated Anti-Goat IgG Secondary Antibody (Catalog # F0107).
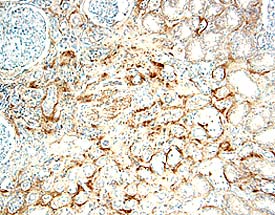
IL-17 RB antibody in Human Kidney by Immunohistochemistry (IHC-P).

IL‑17 RB in Human Kidney.

IL-17 RB was detected in immersion fixed paraffin-embedded sections of human kidney using 15 µg/mL Goat Anti-Human IL-17 RB Antigen Affinity-purified Polyclonal Antibody (Catalog # AF1207) overnight at 4 °C. Tissue was stained with the Anti-Goat HRP-DAB Cell & Tissue Staining Kit (brown; Catalog # CTS008) and counterstained with hematoxylin (blue). View our protocol for Chromogenic IHC Staining of Paraffin-embedded Tissue Sections.

Applications for Human IL-17RB Antibody

Application
Recommended Usage

CyTOF-ready

Ready to be labeled using established conjugation methods. No BSA or other carrier proteins that could interfere with conjugation.

Flow Cytometry

2.5 µg/106 cells
Sample: K562 human chronic myelogenous leukemia cell line

Immunohistochemistry

5-15 µg/mL
Sample: Immersion fixed paraffin-embedded sections of human kidney

Western Blot

0.1 µg/mL
Sample: Recombinant Human IL‑17 RB Fc Chimera (Catalog # 1207-BR)

Formulation, Preparation, and Storage

Purification

Antigen Affinity-purified

Reconstitution

Reconstitute at 0.2 mg/mL in sterile PBS. For liquid material, refer to CoA for concentration.

Reconstitution Buffer Available:
Size / Price
Qty
Loading...

Formulation

Lyophilized from a 0.2 μm filtered solution in PBS with Trehalose. *Small pack size (SP) is supplied either lyophilized or as a 0.2 µm filtered solution in PBS.

Shipping

Lyophilized product is shipped at ambient temperature. Liquid small pack size (-SP) is shipped with polar packs. Upon receipt, store immediately at the temperature recommended below.

Stability & Storage

Use a manual defrost freezer and avoid repeated freeze-thaw cycles.
  • 12 months from date of receipt, -20 to -70 °C as supplied.
  • 1 month, 2 to 8 °C under sterile conditions after reconstitution.
  • 6 months, -20 to -70 °C under sterile conditions after reconstitution.

Background: IL-17RB

The interleukin 17 (IL-17) family of cytokines, comprising six members (IL-17, IL-17B through IL-17F), are structurally related proteins with a conserved cysteine-knot structure. These pro-inflammatory cytokines can induce local cytokine productions and are involved in the regulation of the immune response. The cognate receptors activated by some of these cytokines have been identified (1).

Interleukin-17 B Receptor (IL-17B R), also known as IL-17Rh1, IL-17E R. and EVI27, represents the second receptor of the IL-17 family of cytokines to be recognized (2-4). Human IL-17B R cDNA encodes a 502 amino acid (aa) residue type I membrane protein with a putative 17 aa signal peptide, a 275 aa extracellular domain, a 21 aa transmembrane domain, and a 189 aa cytoplasmic tail. By alternative splicing, a secreted variant of IL-17B R has also been identified (4). Human and mouse IL‑17B R share 76% aa sequence identity. The human IL-17B R protein sequence is only 19.2% identical to the human IL-17 R sequence, but the two receptors share many conserved cysteine residues within their extracellular domains as well as additional conserved elements within their cytoplasmic domains. Three additional type I transmembrane receptors with homology to IL-17 R have been reported, increasing the number of the IL-17 R family members to five (5, 6). By Northern blot analysis, human IL-17B R is highly expressed in kidneys and liver but is expressed at lower levels in testes, brain, small intestine and other endocrine tissues (2-4). The expression of IL-17B R is significantly up-regulated under inflammatory conditions. IL-17 RB binds strongly to IL-17E and weakly to IL-17B. It does not bind IL-17, IL-17C, and IL-17F. Activation of IL-17B R by its ligands results in the activation of nuclear factor kappa-B (2-4).

References

  1. Aggarwal, S. and A.L. Gurney (2002) J. Leukoc. Biol. 71:1.
  2. Shi Y, et al. (2000) J. Biol. Chem. 275:19167.
  3. Lee, J, et al. (2001) J. Biol. Chem. 276:1660.
  4. Tian E, et al. (2000) Oncogene 19:2098.
  5. Haudenschild, D. et al. (2002) J. Biol. Chem. 277:4309.
  6. Hurst, S.D. et al. (2002) J. Immunol. 169:443.

Long Name

Interleukin 17B Receptor

Alternate Names

Evi27, IL-17 RB, IL-17 RH1, IL-17ER, IL17RB

Entrez Gene IDs

55540 (Human); 50905 (Mouse)

Gene Symbol

IL17RB

UniProt

Additional IL-17RB Products

Product Documents for Human IL-17RB Antibody

Certificate of Analysis

To download a Certificate of Analysis, please enter a lot number in the search box below.

Note: Certificate of Analysis not available for kit components.

Product Specific Notices for Human IL-17RB Antibody

For research use only

Loading...
Loading...
Loading...
Loading...
Loading...