Skip to main content

Human IL-16 C-terminal Peptide Antibody

R&D Systems, part of Bio-Techne | Catalog # AF-316-PB

R&D Systems, part of Bio-Techne

Key Product Details

Species Reactivity

Validated:

Human

Cited:

Human

Applications

Validated:

Immunohistochemistry, Western Blot, Intracellular Staining by Flow Cytometry, Immunocytochemistry, CyTOF-ready

Cited:

ELISA Development

Label

Unconjugated

Antibody Source

Polyclonal Goat IgG

Product Specifications

Immunogen

E. coli-derived recombinant human IL-16
Met1203-Ser1332
Accession # Q14005

Specificity

Detects human IL-16 in direct ELISAs and Western blots. In direct ELISAs, less than 5% cross-reactivity with recombinant mouse IL-16 is observed.

Clonality

Polyclonal

Host

Goat

Isotype

IgG

Scientific Data Images for Human IL-16 C-terminal Peptide Antibody

Detection of IL-16 in Raji cells by Flow Cytometry

Raji cells were stained with Goat Anti-Human IL-16 C-terminal Peptide Antigen Affinity-purified Polyclonal Antibody (Catalog # AF-316-PB, filled histogram) or isotype control antibody (Catalog # AB-108-C, open histogram) followed by Allophycocyanin-conjugated Anti-Goat IgG Secondary Antibody (Catalog # F0108). To facilitate intracellular staining, cells were fixed with Flow Cytometry Fixation Buffer (Catalog # FC004) and permeabilized with Flow Cytometry Permeabilization/Wash Buffer I (Catalog # FC005). View our protocol for Staining Intracellular Molecules.
Detection of Human IL-16 antibody by Western Blot.

Detection of Human IL‑16 by Western Blot.

Western blot shows lysate of human tonsil tissue. PVDF membrane was probed with 1 µg/mL of Goat Anti-Human IL-16 C-terminal Peptide Antigen Affinity-purified Polyclonal Antibody (Catalog # AF-316-PB) followed by HRP-conjugated Anti-Goat IgG Secondary Antibody (Catalog # HAF017). Specific bands were detected for IL-16 at approximately 14 kDa (active) and 45-55 kDa (precursor), as indicated. This experiment was conducted under reducing conditions and using Immunoblot Buffer Group 1.
IL-16 antibody in Human PBMCs by Immunocytochemistry (ICC).

IL-16 in Human PBMCs.

IL-16 was detected in immersion fixed LPS-stimulated human peripheral blood mononuclear cells (PBMCs) using 10 µg/mL Human IL-16 C-terminal Peptide Antigen Affinity-purified Polyclonal Antibody (Catalog # AF-316-PB) for 3 hours at room temperature. Cells were stained with the NorthernLights™ 557-conjugated Anti-Goat IgG Secondary Antibody (red; Catalog # NL001) and counterstained with DAPI (blue). View our protocol for Fluorescent ICC Staining of Non-adherent Cells.

Applications for Human IL-16 C-terminal Peptide Antibody

Application
Recommended Usage

CyTOF-ready

Ready to be labeled using established conjugation methods. No BSA or other carrier proteins that could interfere with conjugation.

Immunocytochemistry

5-15 µg/mL
Sample: Immersion fixed human peripheral blood mononuclear cells (PBMCs) treated with PHA and immersion fixed human PBMCs treated LPS

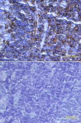
Immunohistochemistry

5-15 µg/mL
Sample: Immersion fixed paraffin-embedded sections of human tonsil

Intracellular Staining by Flow Cytometry

0.25 µg/106 cells
Sample: Raji human Burkitt's lymphoma cell line fixed with paraformaldehyde and permeabilized with saponin

Western Blot

1 µg/mL
Sample: Human tonsil tissue

Reviewed Applications

Read 2 reviews rated 5 using AF-316-PB in the following applications:

Formulation, Preparation, and Storage

Purification

Antigen Affinity-purified

Reconstitution

Reconstitute at 0.2 mg/mL in sterile PBS. For liquid material, refer to CoA for concentration.

Reconstitution Buffer Available:
Size / Price
Qty
Loading...

Formulation

Lyophilized from a 0.2 μm filtered solution in PBS with Trehalose. See Certificate of Analysis for details.
*Small pack size (-SP) is supplied either lyophilized or as a 0.2 µm filtered solution in PBS.

Shipping

Lyophilized product is shipped at ambient temperature. Liquid small pack size (-SP) is shipped with polar packs. Upon receipt, store immediately at the temperature recommended below.

Stability & Storage

Use a manual defrost freezer and avoid repeated freeze-thaw cycles.
  • 12 months from date of receipt, -20 to -70 °C as supplied.
  • 1 month, 2 to 8 °C under sterile conditions after reconstitution.
  • 6 months, -20 to -70 °C under sterile conditions after reconstitution.

Background: IL-16

Interleukin 16, also named lymphocyte chemoattractant factor (LCF), was originally identified as a CD8+ T-cell-derived chemoattractant for CD4+ cells. The biologically active form of IL-16 was originally proposed to be a homotetramer of 14 kDa chains containing 130 amino acid residue subunits. The complete pro-IL-16 cDNA was subsequently cloned and shown to encode a 631 amino acid residue hydrophilic protein that lacked a signal peptide. The original 130 amino acid residue polypeptide is now believed to have been derived from the C terminus of the precursor. IL-16 precursor protein has been detected in the lysates of various cells including mitogen stimulated PBMCs. The biologically active and secreted natural IL-16 is assumed to be a proteolytic cleavage product of pro-IL-16 generated by proteases present in or on activated CD8+ cells. A likely cleavage site was proposed to be at aspartate residue 510. This would yield a 121 amino acid residue protein, smaller than the 130 aa residue protein first described. The expression of IL-16 precursor mRNA has been detected in various tissues including spleen, thymus, lymph nodes, peripheral leukocytes, bone marrow and cerebellum. The gene for IL-16 precursor has been localized to chromosome 15. The biological activities ascribed to IL-16 are reported to be dependent on the cell surface expression of CD4, suggesting that IL-16 is a CD4 ligand. Besides its chemotactic properties, IL-16 has also been shown to suppress HIV-1 replication in vitro. Recombinant E. coli-derived IL-16 produced at R&D Systems is present mostly as a monomer, exhibits chemotactic activity for lymphocytes at high concentrations, lacks chemotactic activites for monocytes, and binds the extracellular domain of CD4 with low affinity.

References

  1. Cruikshank, W.W. et al. (1994) Proc. Natl. Acad. Sci. USA 91:5109.
  2. Baier, M. et al. (1997) Proc. Natl. Acad. Sci. USA 94:5273.
  3. Zhou, A. et al. (1997) Nature Medicine 3:659.
  4. Bazan, J.F. and T.J. Schall (1996) Nature 381:29.

Long Name

Interleukin 16

Alternate Names

IL16, LCF

Entrez Gene IDs

3603 (Human); 16170 (Mouse)

Gene Symbol

IL16

UniProt

Additional IL-16 Products

Product Documents for Human IL-16 C-terminal Peptide Antibody

Certificate of Analysis

To download a Certificate of Analysis, please enter a lot number in the search box below.

Note: Certificate of Analysis not available for kit components.

Product Specific Notices for Human IL-16 C-terminal Peptide Antibody

For research use only

Loading...
Loading...
Loading...
Loading...
Loading...