Skip to main content

Key Product Details

Species Reactivity

Human

Applications

Immunohistochemistry, Western Blot

Label

Unconjugated

Antibody Source

Monoclonal Mouse IgG1 Clone # 730004

Product Specifications

Immunogen

Mouse myeloma cell line NS0-derived recombinant human IGSF4B/SynCAM3
Pro21-Tyr329
Accession # Q8N126

Specificity

Detects human IGSF4B/SynCAM3 in direct ELISAs and Western blots. In direct ELISAs and Western blots, no cross-reactivity with recombinant human IGSF3, 4, 4C, 4D, recombinant mouse IGSF4, or 8 is observed.

Clonality

Monoclonal

Host

Mouse

Isotype

IgG1

Scientific Data Images for Human IGSF4B/SynCAM3 Antibody

Detection of Human IGSF4B/SynCAM3 antibody by Western Blot.

Detection of Human IGSF4B/SynCAM3 by Western Blot.

Western blot shows lysates of human brain (cerebellum) tissue, human brain (cortex) tissue, and human brain (hippocampus) tissue. PVDF membrane was probed with 0.2 µg/mL of Mouse Anti-Human IGSF4B/SynCAM3 Monoclonal Antibody (Catalog # MAB3678) followed by HRP-conjugated Anti-Mouse IgG Secondary Antibody (Catalog # HAF007). A specific band was detected for IGSF4B/SynCAM3 at approximately 48 kDa (as indicated). This experiment was conducted under reducing conditions and using Immunoblot Buffer Group 1.
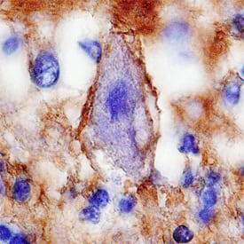
IGSF4B/SynCAM3 antibody in Human Brain by Immunohistochemistry (IHC-P).

IGSF4B/SynCAM3 in Human Brain.

IGSF4B/SynCAM3 was detected in immersion fixed paraffin-embedded sections of human brain (cerebellum) using Mouse Anti-Human IGSF4B/SynCAM3 Monoclonal Antibody (Catalog # MAB3678) at 15 µg/mL overnight at 4 °C. Before incubation with the primary antibody, tissue was subjected to heat-induced epitope retrieval using Antigen Retrieval Reagent-Basic (Catalog # CTS013). Tissue was stained using the Anti-Mouse HRP-DAB Cell & Tissue Staining Kit (brown; Catalog # CTS002) and counterstained with hematoxylin (blue). Specific staining was localized to neuronal cell membranes. View our protocol for Chromogenic IHC Staining of Paraffin-embedded Tissue Sections.

Applications for Human IGSF4B/SynCAM3 Antibody

Application
Recommended Usage

Immunohistochemistry

8-25 µg/mL
Sample: Immersion fixed paraffin-embedded sections of human brain (cerebellum)

Western Blot

0.2 µg/mL
Sample: Human brain (cerebellum) tissue, human brain (cortex) tissue, and human brain (hippocampus) tissue

Formulation, Preparation, and Storage

Purification

Protein A or G purified from hybridoma culture supernatant

Reconstitution

Sterile PBS to a final concentration of 0.5 mg/mL. For liquid material, refer to CoA for concentration.

Reconstitution Buffer Available:
Size / Price
Qty
Loading...

Formulation

Lyophilized from a 0.2 μm filtered solution in PBS with Trehalose. *Small pack size (SP) is supplied either lyophilized or as a 0.2 µm filtered solution in PBS.

Shipping

Lyophilized product is shipped at ambient temperature. Liquid small pack size (-SP) is shipped with polar packs. Upon receipt, store immediately at the temperature recommended below.

Stability & Storage

Use a manual defrost freezer and avoid repeated freeze-thaw cycles.
  • 12 months from date of receipt, -20 to -70 °C as supplied.
  • 1 month, 2 to 8 °C under sterile conditions after reconstitution.
  • 6 months, -20 to -70 °C under sterile conditions after reconstitution.

Background: IGSF4B/SynCAM3

IGSF4B (immunoglobulin superfamily member 4B), also called CADM3, TSLL1, Necl‑1 and SynCAM-3, is a neural tissue-specific member of the nectin-like family of immunoglobulin superfamily (1, 2). It is a 48‑50 kDa type I transmembrane (TM) glycoprotein that is concentrated at non-junctional contact sites of neuronal axons and glial processes (2, 3). In myelinated peripheral nerve fibers, IGSF4B is concentrated at nodes of Ranvier in contact sites of Schwann cells (2). The 398 amino acid (aa) human IGSF4B contains a 24 aa signal sequence, a 306 aa extracellular domain (ECD), a 21 aa transmembrane domain and a 47 aa cytoplasmic domain. The ECD contains an N-terminal V-type Ig-like domain that is responsible for Ca++-independent homophilic and heterophilic interactions with Nectin-1, Nectin-3 or Necl‑2 (IGSF-4) in trans. It also contains two C2-type Ig-like domains that are responsible for Ca++-independent homophilic dimerization in cis that is thought to precede trans interaction (2, 4, 5). The cytoplasmic domain binds members of the MAGUK guanylate kinase subfamily, such as Dlg3, Pals2 and CASK (2). These activities are thought to play roles in adhesion and architecture at the synapse (2). Of two known splice variants, one shows an insertion of 34 aa near the mature N-terminus and probably represents a 60 kDa form. A smaller variant shows deletions of aa 185‑231, and 281‑398, which includes the first C2-type Ig-like domain and the TM segment. The IGSF4B ECD is highly conserved, sharing 95‑96% aa identity between human mouse, rat, canine and bovine sequences. The ECD of IGSF4A, B, C and D proteins share 35‑50% aa identity.

References

  1. Fukuhara, H. et al. (2001) Oncogene 20:5401.
  2. Kakunaga, S. et al. (2005) J. Cell Sci. 118:1267.
  3. Fukami, T. et al. (2003) Gene 323:11.
  4. Shingai, T. et al. (2003) J. Biol. Chem. 278:35421
  5. Dong, X. et al. (2006) J. Biol. Chem. 281:10610.

Long Name

Immunoglobulin Superfamily, Member 4B

Alternate Names

BIgR, CADM3, Necl-1, SynCAM3, TSLL1

Entrez Gene IDs

57863 (Human); 94332 (Mouse); 360882 (Rat)

Gene Symbol

CADM3

UniProt

Additional IGSF4B/SynCAM3 Products

Product Documents for Human IGSF4B/SynCAM3 Antibody

Certificate of Analysis

To download a Certificate of Analysis, please enter a lot number in the search box below.

Note: Certificate of Analysis not available for kit components.

Product Specific Notices for Human IGSF4B/SynCAM3 Antibody

For research use only

Loading...
Loading...
Loading...
Loading...