Skip to main content

Human IGF-II/IGF2 Antibody

R&D Systems, part of Bio-Techne | Catalog # AF-292-NA

R&D Systems, part of Bio-Techne

Key Product Details

Species Reactivity

Validated:

Human

Cited:

Human, Mouse, Porcine

Applications

Validated:

Immunohistochemistry, Western Blot, Neutralization

Cited:

Immunohistochemistry, Immunohistochemistry-Paraffin, Western Blot, Neutralization, Immunocytochemistry, Affinity Assay, ELISA Microarray Development

Label

Unconjugated

Antibody Source

Polyclonal Goat IgG

Product Specifications

Immunogen

E. coli-derived recombinant human IGF-II/IGF2
Ala25-Glu91
Accession # P01344

Specificity

Detects human IGF-II/IGF2 in direct ELISAs and Western blots. In direct ELISAs, approximately 60% cross-reactivity with recombinant mouse IGF-II/IGF2 is observed and less than 1% cross-reactivity with recombinant human IGF-I/IGF1 is observed.

Clonality

Polyclonal

Host

Goat

Isotype

IgG

Endotoxin Level

<0.10 EU per 1 μg of the antibody by the LAL method.

Scientific Data Images for Human IGF-II/IGF2 Antibody

Cell Proliferation Induced by IGF-II/IGF2 and Neutralization by Human IGF-II/IGF2 Antibody.

Cell Proliferation Induced by IGF-II/IGF2 and Neutralization by Human IGF-II/IGF2 Antibody.

Recombinant Human IGF-II/IGF2 (Catalog # 292-G2) stimulates proliferation in the MCF-7 human breast cancer cell line in a dose-dependent manner (orange line). Proliferation elicited by Recombinant Human IGF-II/IGF2 (14 ng/mL) is neutralized (green line) by increasing concentrations of Goat Anti-Human IGF-II/IGF2 Antigen Affinity-purified Polyclonal Antibody (Catalog # AF-292-NA). The ND50 is typically 0.2-0.8 µg/mL.
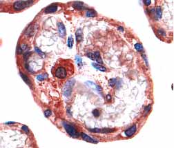
IGF-II/IGF2 antibody in Human Placenta by Immunohistochemistry (IHC-P).

IGF-II/IGF2 in Human Placenta.

IGF-II/IGF2 was detected in immersion fixed paraffin-embedded sections of human placenta (chorionic villi) using 5 µg/mL Goat Anti-Human IGF-II/IGF2 Antigen Affinity-purified Polyclonal Antibody (Catalog # AF-292-NA) overnight at 4 °C. Before incubation with the primary antibody tissue was subjected to heat-induced epitope retrieval using Antigen Retrieval Reagent-Basic (Catalog # CTS013). Tissue was stained with the Anti-Goat HRP-AEC Cell & Tissue Staining Kit (red; Catalog # CTS009) and counterstained with hematoxylin (blue). View our protocol for Chromogenic IHC Staining of Paraffin-embedded Tissue Sections.
Detection of Human IGF-II/IGF2 by Western Blot

Detection of Human IGF-II/IGF2 by Western Blot

Clinical relevance of tumour IGF2 and stromal VEGF axis.(a) Western blot showing expression of IGF2 in ESCC (T) and matched non-tumour specimens (N), as well as expression of VEGF and alpha-SMA in CAFs and matched NEF from 11 ESCC patients. (b) Graphs showing positive correlation between IGF2 expression in oesophageal tissue and expressions of VEGF (left panel) and alpha-SMA (right panel) in fibroblasts, respectively, in 11 pairs of ESCC and adjacent normal tissues. Correlation was assessed using Pearson's rank correlation coefficient. (c) Comparison of serum IGF2 (left panel) and VEGF (middle panel) levels between healthy individuals (n=50) and ESCC patients (n=100); the data were pooled and a positive correlation was found between serum VEGF and IGF2 levels (n=150) (right panel) using unpaired t-test. (d) Gene expressions were further divided into high and low levels using median expression level as the cut-off point for survival analyses. Kaplan–Meier curves comparing survival outcome of ESCC patients (n=100) with high and low serum IGF2 levels (left panel), high and low serum VEGF levels (middle panel), and IGF2 High/VEGF High and IGF2 Low/VEGF Low levels (right panel); statistical significance was calculated by log-rank test. Image collected and cropped by CiteAb from the following open publication (https://www.nature.com/articles/ncomms14399), licensed under a CC-BY license. Not internally tested by R&D Systems.

Applications for Human IGF-II/IGF2 Antibody

Application
Recommended Usage

Immunohistochemistry

5-15 µg/mL
Sample: Immersion fixed paraffin-embedded sections of human placenta (chorionic villi) subjected to Antigen Retrieval Reagent-Basic (Catalog # CTS013)

Western Blot

0.1 µg/mL
Sample: Recombinant Human IGF-II/IGF2 (Catalog # 292-G2)

Neutralization

Measured by its ability to neutralize IGF-II/IGF2-induced proliferation in the MCF‑7 human breast cancer cell line [Karey, K.P. et al. (1988) Cancer Research 48:4083]. The Neutralization Dose (ND50) is typically 0.2-0.8 µg/mL in the presence of 14 ng/mL Recombinant Human IGF-II/IGF2.

Formulation, Preparation, and Storage

Purification

Antigen Affinity-purified

Reconstitution

Reconstitute at 0.2 mg/mL in sterile PBS. For liquid material, refer to CoA for concentration.

Reconstitution Buffer Available:
Size / Price
Qty
Loading...

Formulation

Lyophilized from a 0.2 μm filtered solution in PBS with Trehalose. *Small pack size (SP) is supplied either lyophilized or as a 0.2 µm filtered solution in PBS.

Shipping

Lyophilized product is shipped at ambient temperature. Liquid small pack size (-SP) is shipped with polar packs. Upon receipt, store immediately at the temperature recommended below.

Stability & Storage

Use a manual defrost freezer and avoid repeated freeze-thaw cycles.
  • 12 months from date of receipt, -20 to -70 °C as supplied.
  • 1 month, 2 to 8 °C under sterile conditions after reconstitution.
  • 6 months, -20 to -70 °C under sterile conditions after reconstitution.

Background: IGF-II/IGF2

Insulin-like growth factor I (also known as somatomedin C and somatomedin A) and insulin-like growth factor II (multiplication stimulating activity or MSA) belong to the family of insulin-like growth factors that are structurally homologous to proinsulin. Mature IGF-I and IGF-II share approximately 70% sequence identity. Both IGF-I and IGF-II are expressed in many tissues and cell types and may have autocrine, paracrine and endocrine functions. Mature IGF-I and IGF-II are highly conserved (100% identity between human, bovine, and porcine proteins) and exhibit cross-species activity.

IGF-II is a potent mitogenic growth factor. However, unlike IGF-I which has important postnatal roles, the growth-promoting function of IGF-II is limited to embryonic development.

Two specific cell surface receptors that bind IGF-I and IGF-II have been identified. The type I IGF receptor that participates in IGF signaling is structurally related to the insulin receptor. It is a disulfide-linked heterotetrameric transmembrane glycoprotein with an intracellular tyrosine kinase domain. Type I IGF receptor binds IGF-I with higher affinity than IGF-II. The type II IGF receptor which binds IGF-II with much higher affinity than IGF-I is also the cation-independent mannose 6-phosphate receptor. At the present time, it is not known if the type II IGF receptor participates in the IGF signaling pathway. An additional unknown receptor which mediates IGF-II signaling has also been proposed. Circulating IGFs exist in complexes bound to IGF binding proteins. Currently, at least six high affinity binding proteins have been identified.

Long Name

Insulin-like Growth Factor II

Alternate Names

C11orf43, GRDF, IGF-2, IGF2, IGFII, MSA, PEG2, PP9974

Entrez Gene IDs

3481 (Human); 16002 (Mouse)

Gene Symbol

IGF2

UniProt

Additional IGF-II/IGF2 Products

Product Documents for Human IGF-II/IGF2 Antibody

Certificate of Analysis

To download a Certificate of Analysis, please enter a lot number in the search box below.

Note: Certificate of Analysis not available for kit components.

Product Specific Notices for Human IGF-II/IGF2 Antibody

For research use only

Loading...
Loading...
Loading...
Loading...