Skip to main content

Key Product Details

Species Reactivity

Validated:

Human

Cited:

Human, Mouse, Rat, Transgenic Mouse

Applications

Validated:

Western Blot, Immunoprecipitation

Cited:

Immunohistochemistry, Western Blot, Immunocytochemistry, Immunoprecipitation, ELISA Detection

Label

Unconjugated

Antibody Source

Monoclonal Mouse IgG2B Clone # 275615

Product Specifications

Immunogen

Mouse myeloma cell line NS0-derived recombinant human HTRA1/PRSS11
Gln23-Pro480
Accession # Q92743

Specificity

Detects human HTRA1/PRSS11 in direct ELISAs and Western blots.

Clonality

Monoclonal

Host

Mouse

Isotype

IgG2B

Scientific Data Images for Human HTRA1/PRSS11 Antibody

Detection of Human HTRA1/PRSS11 antibody by Western Blot.

Detection of Human HTRA1/PRSS11 by Western Blot.

Western blot shows lysates of human placenta tissue. PVDF membrane was probed with 1 µg/mL of Mouse Anti-Human HTRA1/PRSS11 Monoclonal Antibody (Catalog # MAB2916) followed by HRP-conjugated Anti-Mouse IgG Secondary Antibody (Catalog # HAF007). A specific band was detected for HTRA1/PRSS11 at approximately 51 kDa (as indicated). This experiment was conducted under non-reducing conditions and using Immunoblot Buffer Group 1.
Detection of Human HTRA1/PRSS11 by Western Blot

Detection of Human HTRA1/PRSS11 by Western Blot

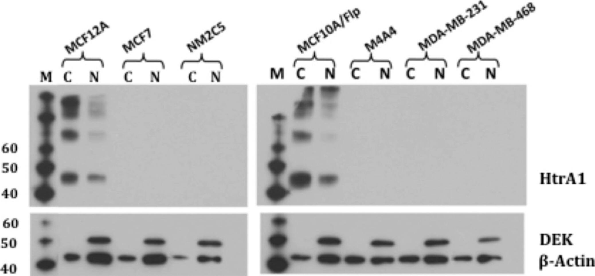
HtrA1 Protein Expression in hBC cell lines.Cells (as indicated) were extracted into nuclear (N) and cytoplasmic (C) fractions as described (Materials & Methods), and proteins were analyzed by Immunoblot analyses using the polyclonal antibody against human HtrA1. beta-actin was used as a loading control, and DEK was used to assess the nuclear/cytoplasmic fractionation (DEK is exclusively nuclear). The larger Mr bands seen in the MCF12A and MCF10A/Flp cell lines are consistent with dimers, trimers, etc., although this was not confirmed. MCF10A/Flp is the parental Flp-in cell line which was used to produce the various MCF10A/siRNA or Htra1 cell lines. Results are from a representative experiment. Image collected and cropped by CiteAb from the following publication (https://pubmed.ncbi.nlm.nih.gov/22761798), licensed under a CC-BY license. Not internally tested by R&D Systems.
Detection of Human HTRA1/PRSS11 by Western Blot

Detection of Human HTRA1/PRSS11 by Western Blot

Characterization of MCF10A cell lines carrying HtrA1 siRNA and overexpression vectors.A random antisense oligonucleotide library was used to identify optimally accessible sites in HtrA1 mRNA. SiRNAs (short hairpin RNAs) were designed to target these sites, and stably transfected cell lines were developed from MCF10A cells (4 independent cell lines, designated MCF10A/siRNA1-4). A control cell line expressing an irrelevant siRNA (designated MCF10A/HPVsh) was also developed. In parallel, we also developed a cell line over-expressing HtrA1 (designated MCF10A/HtrA1). (A). Target sites empirically identified in HtrA1 mRNA. Identified domains within HtrA1 include: SS, signal sequence; IGFBP, IGF binding site; KI, Kazal Type I protease inhibitor domain; Trypsin-like protease domain; PDZ, PDZ binding domain. (B) Immunoblot analysis for HtrA1 protein. Cytoplasmic and nuclear protein fractions were prepared from the developed cell lines (as indicated), and were probed with a polyclonal antibody preparation directed against a region in the trypsin-like protease domain. As is evident, the reductions in HtrA1 protein levels were >90% compared with the various MCF10A and MCF10A/HPVsh cells. Right panel shows HtrA1 in concentrated culture medium. (C) Cells were plated and growth was measured over a 6 day period. Both of the MCF10A cell lines tested (MCF10A/siRNA1 and siRNA4) grew significantly faster than the control cells (p<0.01 at days 4 and 6). Over-expression of HtrA1 in the MCF10A/HtrA1 cells had no effect on cell growth rate. Image collected and cropped by CiteAb from the following publication (https://pubmed.ncbi.nlm.nih.gov/22761798), licensed under a CC-BY license. Not internally tested by R&D Systems.

Applications for Human HTRA1/PRSS11 Antibody

Application
Recommended Usage

Immunoprecipitation

25 µg/mL
Sample: Conditioned cell culture medium spiked with Recombinant Human HTRA1/PRSS11, see our available Western blot detection antibodies

Western Blot

1 µg/mL
Sample: Human placenta tissue under non-reducing conditions only

Formulation, Preparation, and Storage

Purification

Protein A or G purified from hybridoma culture supernatant

Reconstitution

Reconstitute at 0.5 mg/mL in sterile PBS. For liquid material, refer to CoA for concentration.

Reconstitution Buffer Available:
Size / Price
Qty
Loading...

Formulation

Lyophilized from a 0.2 μm filtered solution in PBS with Trehalose. *Small pack size (SP) is supplied either lyophilized or as a 0.2 µm filtered solution in PBS.

Shipping

Lyophilized product is shipped at ambient temperature. Liquid small pack size (-SP) is shipped with polar packs. Upon receipt, store immediately at the temperature recommended below.

Stability & Storage

Use a manual defrost freezer and avoid repeated freeze-thaw cycles.
  • 12 months from date of receipt, -20 to -70 °C as supplied.
  • 1 month, 2 to 8 °C under sterile conditions after reconstitution.
  • 6 months, -20 to -70 °C under sterile conditions after reconstitution.

Background: HTRA1/PRSS11

HTRA1 is a serine protease encoded by the PRSS11 gene and is expressed in many tissues. HTRA1 regulates the availability of IGFs by cleaving IGFBPs.

Long Name

High Temperature Requirement Protein-1

Alternate Names

IGFBP5-protease, PRSS11

Entrez Gene IDs

5654 (Human)

Gene Symbol

HTRA1

UniProt

Additional HTRA1/PRSS11 Products

Product Documents for Human HTRA1/PRSS11 Antibody

Certificate of Analysis

To download a Certificate of Analysis, please enter a lot number in the search box below.

Note: Certificate of Analysis not available for kit components.

Product Specific Notices for Human HTRA1/PRSS11 Antibody

For research use only

Loading...
Loading...
Loading...
Loading...