Skip to main content

Key Product Details

Species Reactivity

Human

Applications

Immunohistochemistry, Western Blot, Simple Western

Label

Unconjugated

Antibody Source

Monoclonal Mouse IgG1 Clone # 950828

Product Specifications

Immunogen

Chinese hamster ovary cell line CHO-derived recombinant human HSP47
Ala19-Asp412
Accession # P50454

Specificity

Detects human HSP47 in direct ELISAs and Western blots.  In Western blots, no cross-reactivity with mouse HSP47 is observed.

Clonality

Monoclonal

Host

Mouse

Isotype

IgG1

Scientific Data Images for Human HSP47 Antibody

Detection of Human HSP47 antibody by Western Blot.

Detection of Human HSP47 by Western Blot.

Western blot shows lysates of HeLa human cervical epithelial carcinoma cell line, HepG2 human hepatocellular carcinoma cell line, A549 human lung carcinoma cell line, and JAR human choriocarcinoma cell line. PVDF membrane was probed with 0.1 µg/mL of Mouse Anti-Human HSP47 Monoclonal Antibody (Catalog # MAB91662) followed by HRP-conjugated Anti-Mouse IgG Secondary Antibody (Catalog # HAF018). A specific band was detected for HSP47 at approximately 47 kDa (as indicated). This experiment was conducted under reducing conditions and using Immunoblot Buffer Group 1.
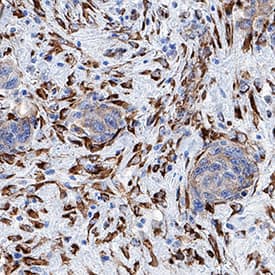
HSP47 antibody in Human Breast Cancer Tissue by Immunohistochemistry (IHC-P).

HSP47 in Human Breast Cancer Tissue.

HSP47 was detected in immersion fixed paraffin-embedded sections of human breast cancer tissue using Mouse Anti-Human HSP47 Monoclonal Antibody (Catalog # MAB91662) at 25 µg/mL overnight at 4 °C. Tissue was stained using the Anti-Mouse HRP-DAB Cell & Tissue Staining Kit (brown; Catalog # CTS002) and counterstained with hematoxylin (blue). Specific staining was localized to cytoplasm. View our protocol for Chromogenic IHC Staining of Paraffin-embedded Tissue Sections.
Detection of Human HSP47 antibody by Simple WesternTM.

Detection of Human HSP47 by Simple WesternTM.

Simple Western lane view shows lysates of HeLa human cervical epithelial carcinoma cell line and HepG2 human hepatocellular carcinoma cell line, loaded at 0.2 mg/mL. A specific band was detected for HSP47 at approximately 57 kDa (as indicated) using 1 µg/mL of Mouse Anti-Human HSP47 Monoclonal Antibody (Catalog # MAB91662) . This experiment was conducted under reducing conditions and using the 12-230 kDa separation system.

Applications for Human HSP47 Antibody

Application
Recommended Usage

Immunohistochemistry

5-25 µg/mL
Sample: Immersion fixed paraffin-embedded sections of human breast cancer tissue

Simple Western

1 µg/mL
Sample: HeLa human cervical epithelial carcinoma cell line and HepG2 human hepatocellular carcinoma cell line

Western Blot

0.1 µg/mL
Sample: HeLa human cervical epithelial carcinoma cell line, HepG2 human hepatocellular carcinoma cell line, A549 human lung carcinoma cell line, and JAR human choriocarcinoma cell line

Formulation, Preparation, and Storage

Purification

Protein A or G purified from hybridoma culture supernatant

Reconstitution

Reconstitute at 0.5 mg/mL in sterile PBS. For liquid material, refer to CoA for concentration.

Reconstitution Buffer Available:
Size / Price
Qty
Loading...

Formulation

Lyophilized from a 0.2 μm filtered solution in PBS with Trehalose. *Small pack size (SP) is supplied either lyophilized or as a 0.2 µm filtered solution in PBS.

Shipping

Lyophilized product is shipped at ambient temperature. Liquid small pack size (-SP) is shipped with polar packs. Upon receipt, store immediately at the temperature recommended below.

Stability & Storage

Use a manual defrost freezer and avoid repeated freeze-thaw cycles.
  • 12 months from date of receipt, -20 to -70 °C as supplied.
  • 1 month, 2 to 8 °C under sterile conditions after reconstitution.
  • 6 months, -20 to -70 °C under sterile conditions after reconstitution.

Background: HSP47

Heat Shock Protein 47 (HSP47), also known as Serpin-H1/CBP1/CBP2, is localized to endoplasmic reticulum (ER), where it is a collagen-specific molecular chaperone.  In the ER, HSP47 interacts with and stabilizes correctly-folded procollagen. Nucleotide polymorphisms may be associated with preterm birth and Osteogenesis Imperfecta type X.  Serpin-H1 is up-regulated in several cancers including squamous cell carcinoma, breast and prostate carcinomas.  Expression in tumors drives malignant growth and invasion by enhancing deposition of extracellular matrix proteins.

References

  1. Christiansen HE, et al, (2010) Am. J. Hum. Genet. 86:3892.
  2. Tasab M, et al, (2000) EMBO J. 19:22043.
  3. Kwon YJ, et al, (2009) Oncol Res. 18:1414.
  4. Zhu J, et al, (2015) Cancer Res. 75:15805.
  5. Nese N, et al, (2010) Anal Quant Cytol Histol. 32:90

Long Name

Heat Shock Protein 47

Alternate Names

AsTP3, BERF-1, CBP1, CBP2, Colligin, gp46, OI10, PPROM, RA-A47, Serpin H1, SERPINH1

Entrez Gene IDs

871 (Human); 12406 (Mouse); 29345 (Rat)

Gene Symbol

SERPINH1

UniProt

Additional HSP47 Products

Product Documents for Human HSP47 Antibody

Certificate of Analysis

To download a Certificate of Analysis, please enter a lot number in the search box below.

Note: Certificate of Analysis not available for kit components.

Product Specific Notices for Human HSP47 Antibody

For research use only

Loading...
Loading...
Loading...
Loading...