Human HNF-3 beta/FoxA2 Antibody Best Seller
R&D Systems, part of Bio-Techne | Catalog # AF2400

Conjugate
Catalog #
Key Product Details
Validated by
Biological Validation
Species Reactivity
Validated:
Human
Cited:
Human, Mouse, Rat, Chimpanzee, Primate - Macaca mulatta (Rhesus Macaque), Transgenic Rat, Xenograft
Applications
Validated:
Immunohistochemistry, Western Blot, Immunocytochemistry, Chromatin Immunoprecipitation (ChIP)
Cited:
Immunohistochemistry, Immunohistochemistry-Paraffin, Immunohistochemistry-Frozen, Western Blot, Flow Cytometry, Immunocytochemistry, Immunoprecipitation, Chromatin Immunoprecipitation, Chromatin Immunoprecipitation (ChIP), CyTof
Label
Unconjugated
Antibody Source
Polyclonal Goat IgG
Product Specifications
Immunogen
E. coli-derived recombinant human HNF‑3 beta/FoxA2
Met242-Ser457
Accession # Q9Y261
Met242-Ser457
Accession # Q9Y261
Specificity
Detects human HNF‑3 beta/FoxA2 in direct ELISAs and Western blots.
Clonality
Polyclonal
Host
Goat
Isotype
IgG
Scientific Data Images for Human HNF-3 beta/FoxA2 Antibody
Detection of HNF‑3 beta/FoxA2-regulated Genes by Chromatin Immunoprecipitation.
Mouse splenocytes were fixed using formaldehyde, resuspended in lysis buffer, and sonicated to shear chromatin. HNF-3 beta/FoxA2/DNA complexes were immunoprecipitated using 5 µg Goat Anti-Human HNF-3 beta/FoxA2 Antigen Affinity-purified Polyclonal Antibody (Catalog # AF2400) or control antibody (AB-108-C) for 15 minutes in an ultrasonic bath, followed by Biotinylated Anti-Goat IgG Secondary Antibody (BAF109). Immunocomplexes were captured using 50 µL of MagCellect Streptavidin Ferrofluid (MAG999) and DNA was purified using chelating resin solution. TheE-RABPpromoter was detected by standard PCR.HNF‑3 beta/FoxA2 in Endoderm Differentiated BG01V Human Stem Cells.
HNF-3 beta/FoxA2 was detected in immersion fixed endoderm differentiated BG01V human embryonic stem cells using 10 µg/mL Goat Anti-Human HNF-3 beta/FoxA2 Antigen Affinity-purified Polyclonal Antibody (Catalog # AF2400) for 3 hours at room temperature. Cells were stained with the NorthernLights™ 557-conjugated Anti-Goat IgG Secondary Antibody (red; NL001) and counterstained with DAPI (blue). View our protocol for Fluorescent ICC Staining of Cells on Coverslips.HNF‑3 beta/FoxA2 in Human Liver.
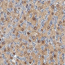
HNF-3 beta/FoxA2 was detected in immersion fixed paraffin-embedded sections of human liver using Goat Anti-Human HNF-3 beta/FoxA2 Antigen Affinity-purified Polyclonal Antibody (Catalog # AF2400) at 3 µg/mL for 1 hour at room temperature followed by incubation with the Anti-Goat IgG VisUCyte™ HRP Polymer Antibody (VC004). Before incubation with the primary antibody, tissue was subjected to heat-induced epitope retrieval using Antigen Retrieval Reagent-Basic (CTS013). Tissue was stained using DAB (brown) and counterstained with hematoxylin (blue). Specific staining was localized to cytoplasm and nuclei. View our protocol for IHC Staining with VisUCyte HRP Polymer Detection Reagents.Applications for Human HNF-3 beta/FoxA2 Antibody
Application
Recommended Usage
Chromatin Immunoprecipitation (ChIP)
5 µg/5 x 106 cells
Sample: Mouse splenocyte chromatin, E-RABP promoter detected by standard PCR.
Sample: Mouse splenocyte chromatin, E-RABP promoter detected by standard PCR.
Immunocytochemistry
5-15 µg/mL
Sample: Immersion fixed endoderm differentiated BG01V human embryonic stem cells and immersion fixed HepG2 Human Hepatocellular Carcinoma Cells (Positive) and absent in THP-1 Human Acute Monocytic Leukemia Cells (Negative)
Sample: Immersion fixed endoderm differentiated BG01V human embryonic stem cells and immersion fixed HepG2 Human Hepatocellular Carcinoma Cells (Positive) and absent in THP-1 Human Acute Monocytic Leukemia Cells (Negative)
Immunohistochemistry
3-15 µg/mL
Sample: Immersion fixed paraffin-embedded sections of human liver
Sample: Immersion fixed paraffin-embedded sections of human liver
Western Blot
1 µg/mL
Sample: HepG2 human hepatocellular carcinoma cell line
Sample: HepG2 human hepatocellular carcinoma cell line
Reviewed Applications
Read 2 reviews rated 5 using AF2400 in the following applications:
Formulation, Preparation, and Storage
Purification
Antigen Affinity-purified
Reconstitution
Reconstitute at 0.2 mg/mL in sterile PBS. For liquid material, refer to CoA for concentration.
Formulation
Lyophilized from a 0.2 μm filtered solution in PBS with Trehalose. *Small pack size (SP) is supplied either lyophilized or as a 0.2 µm filtered solution in PBS.
Shipping
Lyophilized product is shipped at ambient temperature. Liquid small pack size (-SP) is shipped with polar packs. Upon receipt, store immediately at the temperature recommended below.
Stability & Storage
Use a manual defrost freezer and avoid repeated freeze-thaw cycles.
- 12 months from date of receipt, -20 to -70 °C as supplied.
- 1 month, 2 to 8 °C under sterile conditions after reconstitution.
- 6 months, -20 to -70 °C under sterile conditions after reconstitution.
Background: HNF-3 beta/FoxA2
Long Name
Hepatocyte Nuclear Factor-3, beta
Alternate Names
FoxA2, HNF3 beta
Entrez Gene IDs
3170 (Human)
Gene Symbol
FOXA2
UniProt
Additional HNF-3 beta/FoxA2 Products
Product Documents for Human HNF-3 beta/FoxA2 Antibody
Product Specific Notices for Human HNF-3 beta/FoxA2 Antibody
For research use only
Loading...
Loading...
Loading...
Loading...