Skip to main content

Key Product Details

Species Reactivity

Validated:

Human

Cited:

Human, Mouse, Porcine

Applications

Validated:

Immunohistochemistry, Western Blot, Neutralization

Cited:

Immunohistochemistry-Paraffin, Western Blot, Neutralization, Flow Cytometry, Immunocytochemistry, Bioassay, Functional Assay, Luminex Development

Label

Unconjugated

Antibody Source

Monoclonal Mouse IgG1 Clone # 24612

Product Specifications

Immunogen

S. frugiperda insect ovarian cell line Sf 21-derived recombinant human HGF
Gln32-Ser728 (Asp384Asn, Asp416Asn, Leu622Ser, His645Arg, Val678Ile)
Accession # P14210

Specificity

Detects human HGF in Western blots. In Western blots, no-cross reactivity with recombinant mouse HGF or recombinant canine HGF is observed.

Clonality

Monoclonal

Host

Mouse

Isotype

IgG1

Endotoxin Level

<0.10 EU per 1 μg of the antibody by the LAL method.

Scientific Data Images for Human HGF Antibody

Detection of Recombinant Human, Mouse, and Canine HGF antibody by Western Blot.

Detection of Recombinant Human, Mouse, and Canine HGF by Western Blot.

Western blot shows 25 ng of Recombinant Human HGF (Catalog # 294-HG), Recombinant Mouse HGF (2207-HG) and Recombinant Canine HGF (3386-HG). PVDF Membrane was probed with 1 µg/mL of Mouse Anti-Human HGF Monoclonal Antibody (Catalog # MAB294) followed by HRP-conjugated Anti-Mouse IgG Secondary Antibody (Catalog # HAF018). A specific band was detected for HGF at approximately 75 kDa (as indicated). This experiment was conducted under non-reducing conditions and using Immunoblot Buffer Group 3.
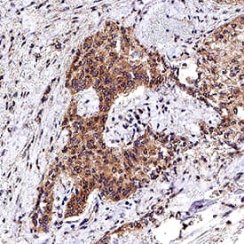
HGF antibody in Human Lung Adenocarcinoma Tissue by Immunohistochemistry (IHC-P).

HGF in Human Lung Adenocarcinoma Tissue.

HGF was detected in immersion fixed paraffin-embedded sections of human lung adenocarcinoma tissue using Mouse Anti-Human HGF Monoclonal Antibody (Catalog # MAB294) at 15 µg/mL overnight at 4 °C. Before incubation with the primary antibody, tissue was subjected to heat-induced epitope retrieval using Antigen Retrieval Reagent-Basic (CTS013). Tissue was stained using the Anti-Mouse IgG VisUCyte™ HRP Polymer Antibody (brown VC001) and counterstained with hematoxylin (blue). Specific staining was localized to cytoplasm in cancer cells. View our protocol for IHC Staining with VisUCyte HRP Polymer Detection Reagents.
Cell Proliferation Induced by HGF and Neutralization by Human HGF Antibody.

Cell Proliferation Induced by HGF and Neutralization by Human HGF Antibody.

Recombinant Human HGF (Catalog # 294-HG) stimulates proliferation in the 4MBr-5 rhesus monkey epithelial cell line in a dose-dependent manner (orange line). Proliferation elicited by Recombinant Human HGF (100 ng/mL) is neutralized (green line) by increasing concentrations of Mouse Anti-Human HGF Monoclonal Antibody (Catalog # MAB294). The ND50 is typically 0.1-0.3 µg/mL.

Applications for Human HGF Antibody

Application
Recommended Usage

Immunohistochemistry

8-25 µg/mL

Western Blot

1 µg/mL
Sample: Recombinant Human HGF (Catalog # 294-HG)
under non-reducing conditions only

Neutralization

Measured by its ability to neutralize HGF-induced proliferation in the 4MBr-5 rhesus monkey epithelial cell line. The Neutralization Dose (ND50) is typically 0.1-0.3 µg/mL in the presence of 100 ng/mL Recombinant Human HGF.

Reviewed Applications

Read 1 review rated 4 using MAB294 in the following applications:

Formulation, Preparation, and Storage

Purification

Protein A or G purified from hybridoma culture supernatant

Reconstitution

Reconstitute at 0.5 mg/mL in sterile PBS. For liquid material, refer to CoA for concentration.

Reconstitution Buffer Available:
Size / Price
Qty
Loading...

Formulation

Lyophilized from a 0.2 μm filtered solution in PBS with Trehalose. *Small pack size (SP) is supplied either lyophilized or as a 0.2 µm filtered solution in PBS.

Shipping

Lyophilized product is shipped at ambient temperature. Liquid small pack size (-SP) is shipped with polar packs. Upon receipt, store immediately at the temperature recommended below.

Stability & Storage

Use a manual defrost freezer and avoid repeated freeze-thaw cycles.
  • 12 months from date of receipt, -20 to -70 °C as supplied.
  • 1 month, 2 to 8 °C under sterile conditions after reconstitution.
  • 6 months, -20 to -70 °C under sterile conditions after reconstitution.

Background: HGF

HGF, also known as Hepatopoietin A and Scatter Factor, is a liver- and fibroblast-derived soluble protein. It interacts with HGF R to promote mitogenesis and morphogenesis of endothelial and epithelial cells.

Long Name

Hepatocyte Growth Factor

Alternate Names

DFNB39, F-TCF, Hepatopoietin A, HGFB, HPTA, SF

Entrez Gene IDs

3082 (Human); 15234 (Mouse); 24446 (Rat); 403441 (Canine); 102133907 (Cynomolgus Monkey); 493705 (Feline)

Gene Symbol

HGF

UniProt

Additional HGF Products

Product Documents for Human HGF Antibody

Certificate of Analysis

To download a Certificate of Analysis, please enter a lot number in the search box below.

Note: Certificate of Analysis not available for kit components.

Product Specific Notices for Human HGF Antibody

For research use only

Loading...
Loading...
Loading...
Loading...