Skip to main content

Human Glut2 Antibody

R&D Systems, part of Bio-Techne | Catalog # MAB1414

R&D Systems, part of Bio-Techne

Key Product Details

Species Reactivity

Validated:

Human

Cited:

Human, Mouse, Frog - Xenopus (African Clawed Frog), Primate - Chlorocebus aethiops (African Green Monkey)

Applications

Validated:

Immunohistochemistry, Flow Cytometry, CyTOF-ready

Cited:

Immunohistochemistry, Immunohistochemistry-Paraffin, Flow Cytometry, Immunocytochemistry

Label

Unconjugated

Antibody Source

Monoclonal Mouse IgG2A Clone # 199017

Product Specifications

Immunogen

NS0 mouse myeloma cell line transfected with human Glut2
Met1-Val524
Accession # P11168

Specificity

Recognizes human Glut2 expression on human Glut2‑transfected NS0 cells, but not on control transfectants. Was shown to detect Glut2 on the surface of the human intestinal cell line Caco2 (2) in flow cytometry and on fixed cells in immunocytochemistry tests. Based on flow cytometric tests on transfected cells, this antibody has no cross-reactivity with human Glut1 or human Glut3.

Clonality

Monoclonal

Host

Mouse

Isotype

IgG2A

Scientific Data Images for Human Glut2 Antibody

Detection of Glut2 antibody in HepG2 Human Cell Line antibody by Flow Cytometry.

Detection of Glut2 in HepG2 Human Cell Line by Flow Cytometry.

HepG2 human hepatocellular carcinoma cell line was stained with Mouse Anti-Human Glut2 Monoclonal Antibody (Catalog # MAB1414, filled histogram) or isotype control antibody (Catalog # MAB003, open histogram), followed by Phycoerythrin-conjugated Anti-Mouse IgG Secondary Antibody (Catalog # F0102B). View our protocol for Staining Membrane-associated Proteins.
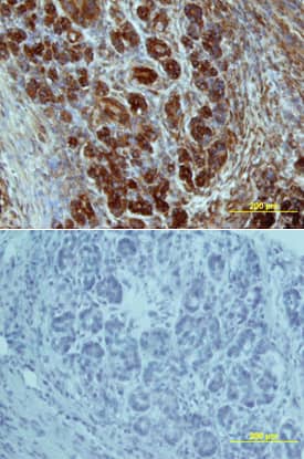
Glut2 antibody in Human Pancreatic Cancer Tissue by Immunohistochemistry (IHC-P).

Glut2 in Human Pancreatic Cancer Tissue.

Glut2 was detected in immersion fixed paraffin-embedded sections of human pancreatic cancer tissue using Mouse Anti-Human Glut2 Monoclonal Antibody (Catalog # MAB1414) at 5 µg/mL overnight at 4 °C. Tissue was stained using the Anti-Mouse HRP-DAB Cell & Tissue Staining Kit (brown; Catalog # CTS002) and counterstained with hematoxylin (blue). Specific labeling was localized to the plasma membrane of exocrine cells. View our protocol for Chromogenic IHC Staining of Paraffin-embedded Tissue Sections.
Glut2 antibody in Human Pancreas by Immunohistochemistry (IHC-P).

Glut2 in Human Pancreas.

Glut2 was detected in immersion fixed paraffin-embedded sections of human pancreas array using Mouse Anti-Human Glut2 Monoclonal Antibody (Catalog # MAB1414) at 25 µg/mL overnight at 4 °C. Tissue was stained using the Anti-Mouse HRP-DAB Cell & Tissue Staining Kit (brown; Catalog # CTS002) and counterstained with hematoxylin (blue). Lower panel shows a lack of labeling if primary antibodies are omitted and tissue is stained only with secondary antibody followed by incubation with detection reagents. View our protocol for Chromogenic IHC Staining of Paraffin-embedded Tissue Sections.

Applications for Human Glut2 Antibody

Application
Recommended Usage

CyTOF-ready

Ready to be labeled using established conjugation methods. No BSA or other carrier proteins that could interfere with conjugation.

Flow Cytometry

0.25 µg/106 cells
Sample: HepG2 human hepatocellular carcinoma cell line

Immunohistochemistry

8-25 µg/mL
Sample: Immersion fixed paraffin-embedded sections of human brain (medulla), liver, normal pancreas array, and pancreatic cancer tissue

Formulation, Preparation, and Storage

Purification

Protein A or G purified from hybridoma culture supernatant

Reconstitution

Reconstitute at 0.5 mg/mL in sterile PBS. For liquid material, refer to CoA for concentration.

Reconstitution Buffer Available:
Size / Price
Qty
Loading...

Formulation

Lyophilized from a 0.2 μm filtered solution in PBS with Trehalose. *Small pack size (SP) is supplied either lyophilized or as a 0.2 µm filtered solution in PBS.

Shipping

Lyophilized product is shipped at ambient temperature. Liquid small pack size (-SP) is shipped with polar packs. Upon receipt, store immediately at the temperature recommended below.

Stability & Storage

Use a manual defrost freezer and avoid repeated freeze-thaw cycles.
  • 12 months from date of receipt, -20 to -70 °C as supplied.
  • 1 month, 2 to 8 °C under sterile conditions after reconstitution.
  • 6 months, -20 to -70 °C under sterile conditions after reconstitution.

Background: Glut2

Glut2 belongs to the facilitative glucose transporter protein family that comprises 13 members. It is an integral membrane protein with 12 transmembrane domains. Glut2 is expressed predominantly in liver, intestine, kidney, and pancreatic beta-cells. It is a low-affinity glucose transporter that has been suggested to function as a glucose sensor in pancreatic beta-cells and facilitate either glucose uptake or efflux from cells depending on the nutritional state (1).

References

  1. Olson, A.L. and J.E. Pessin (1996) Annu. Rev. Nut. 16:235.
  2. Mahraoui, L. et al. (1994) J. Biochem. 298:629.

Long Name

Glucose Transporter Type 2

Alternate Names

SLC2A2

Entrez Gene IDs

6514 (Human); 20526 (Mouse)

Gene Symbol

SLC2A2

UniProt

Additional Glut2 Products

Product Documents for Human Glut2 Antibody

Certificate of Analysis

To download a Certificate of Analysis, please enter a lot number in the search box below.

Note: Certificate of Analysis not available for kit components.

Product Specific Notices for Human Glut2 Antibody

For research use only

Loading...
Loading...
Loading...
Loading...
Loading...