Skip to main content

Key Product Details

Species Reactivity

Human

Applications

Immunohistochemistry, Western Blot, Immunocytochemistry

Label

Unconjugated

Antibody Source

Monoclonal Mouse IgG2A Clone # 1084409

Product Specifications

Immunogen

Synthetic Peptide
Accession # P11166

Specificity

Detects a synthetic peptide corresponding to residues near amino acid 50 of human GLUT1 protein by Direct ELISA.

Clonality

Monoclonal

Host

Mouse

Isotype

IgG2A

Scientific Data Images for Human Glut1 Antibody

Detection of Human Glut1 by Western Blot.

Western Blot shows lysates of Jurkat human acute T cell leukemia cell line, K562 human chronic myelogenous leukemia cell line and MDA-MB-231 human breast cancer cell line. PVDF membrane was probed with 2 µg/ml of Mouse Anti-Human Glut1 Monoclonal Antibody (Catalog # MAB11601) followed by HRP-conjugated Anti-Mouse IgG Secondary Antibody (Catalog # HAF018). A specific band was detected for Glut1 at approximately 52 kDa (as indicated). This experiment was conducted under reducing conditions and using Western Blot Buffer Group 1.

Detection of Glut1 in HepG2 Human Cell Line.

Glut1 was detected in immersion fixed HepG2 human hepatocellular carcinoma cell line and absent in human PBMC cells using Mouse Anti-Human Glut1 Monoclonal Antibody (Catalog # MAB11601) at 8 µg/ml for 3 hours at room temperature. Cells were stained using the NorthernLights™ 557-conjugated Anti-Mouse IgG Secondary Antibody (red; Catalog # NL007) and counterstained with DAPI (blue). Specific staining was localized to the cell surface of HepG2 cells. View our protocol for Fluorescent ICC Staining of Cells on Coverslips.

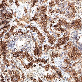
Detection of Glut1 in Human Lung Cancer.

Glut1 was detected in immersion fixed paraffin-embedded sections of human lung cancer using Mouse Anti-Human Glut1 Monoclonal Antibody (Catalog # MAB11601) at 5 µg/ml for 1 hour at room temperature followed by incubation with the Anti-Mouse IgG VisUCyte™ HRP Polymer Antibody (Catalog # VC001). Before incubation with the primary antibody, tissue was subjected to heat-induced epitope retrieval using VisUCyte Antigen Retrieval Reagent-Basic (Catalog # VCTS021). Tissue was stained using DAB (brown) and counterstained with hematoxylin (blue). Specific staining was localized to the cell membrane. View our protocol for IHC Staining with VisUCyte HRP Polymer Detection Reagents.

Applications for Human Glut1 Antibody

Application
Recommended Usage

Immunocytochemistry

3-25 µg/mL
Sample: Immersion fixed HepG2 human hepatocellular carcinoma cell line and human PBMC

Immunohistochemistry

3-25 µg/mL
Sample: Immersion fixed paraffin-embedded sections of human lung cancer and sections of human pancreatic cancer

Western Blot

2 µg/mL
Sample: Jurkat human acute T cell leukemia cell line, K562 chronic myelogenous leukemia cell line, and MDA-MB-231 human breast cancer cell line

Formulation, Preparation, and Storage

Purification

Protein A or G purified from hybridoma culture supernatant

Reconstitution

Reconstitute lyophilized material at 0.2 mg/ml in sterile PBS. For liquid material, refer to CoA for concentration.

Reconstitution Buffer Available:
Size / Price
Qty
Loading...

Formulation

Lyophilized from a 0.2 μm filtered solution in PBS with Trehalose.

Shipping

Lyophilized product is shipped at ambient temperature. Liquid small pack size (-SP) is shipped with polar packs. Upon receipt, store immediately at the temperature recommended below.

Stability & Storage

Use a manual defrost freezer and avoid repeated freeze-thaw cycles.
  • 12 months from date of receipt, -20 to -70 °C as supplied.
  • 1 month, 2 to 8 °C under sterile conditions after reconstitution.
  • 6 months, -20 to -70 °C under sterile conditions after reconstitution.

Background: Glut1

Glut1 belongs to the facilitative glucose transport protein family that comprises 13 members. It is an integral membrane protein with 12 transmembrane domains and is expressed at variable levels in many tissues including brain endothelial cells, CD8+ T cells, and erythrocytes (1‑5). Glut1 is a major glucose transporter that mediates glucose transport across the mammalian blood‑brain barrier.

References

  1. Mueckler, M. et al. 1994, Eur. J. Biochem. 219:713.
  2. Meuckler, M. et al. 1985, Science 229:941.
  3. Jones, K.S. et al. 2006, J. Virol. 8291.
  4. Takenouchi, N. et al. 2007, J. Virol. 1506.
  5. Kinet, S. et al. 2007, Retrovirology 4:31.

Long Name

Glucose Transporter Type 1

Alternate Names

DYT17, DYT18, DYT9, EIG12, GLUT1DS, SLC2A1

Entrez Gene IDs

6513 (Human); 20525 (Mouse)

Gene Symbol

SLC2A1

UniProt

Additional Glut1 Products

Product Documents for Human Glut1 Antibody

Certificate of Analysis

To download a Certificate of Analysis, please enter a lot number in the search box below.

Note: Certificate of Analysis not available for kit components.

Product Specific Notices for Human Glut1 Antibody

For research use only

Loading...
Loading...
Loading...
Loading...