Skip to main content

Key Product Details

Species Reactivity

Validated:

Human

Cited:

Human

Applications

Validated:

Immunohistochemistry, Intracellular Staining by Flow Cytometry, CyTOF-reported

Cited:

Immunohistochemistry

Label

Unconjugated

Antibody Source

Monoclonal Mouse IgG2B Clone # 581403

Product Specifications

Immunogen

E.coli-derived recombinant human Galanin
Ala20-Ser123
Accession # P22466

Specificity

Detects human Galanin in direct ELISAs.

Clonality

Monoclonal

Host

Mouse

Isotype

IgG2B

Scientific Data Images for Human Galanin Antibody

Detection of Galanin antibody in U-87MG Human Cell Line antibody by Flow Cytometry.

Detection of Galanin in U-87MG Human Cell Line by Flow Cytometry.

U-87 MG human glioblastoma/astrocytoma cell line was stained with Human Galanin Monoclonal Antibody (Catalog # MAB5854, filled histogram) or isotype control antibody (Catalog # MAB0041, open histogram), followed by PerCP-conjugated Anti-Mouse IgG F(ab')2Secondary Antibody (Catalog # F0114). To facilitate intracellular staining, cells were fixed with paraformaldehyde and permeabilized with saponin.
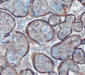
Galanin antibody in Human Placenta by Immunohistochemistry (IHC-P).

Galanin in Human Placenta.

Galanin was detected in immersion fixed paraffin-embedded sections of human placenta using Human Galanin Monoclonal Antibody (Catalog # MAB5854) at 25 µg/mL overnight at 4 °C. Tissue was stained using the Anti-Mouse HRP-DAB Cell & Tissue Staining Kit (brown; Catalog # CTS002) and counterstained with hematoxylin (blue). Specific staining was localized to syncytiotrophoblast cells. View our protocol for Chromogenic IHC Staining of Paraffin-embedded Tissue Sections.

Applications for Human Galanin Antibody

Application
Recommended Usage

CyTOF-reported

This clone has been commercially reported for use in CyTOF®. Ready to be labeled using established conjugation methods. No BSA or other carrier proteins that could interfere with conjugation.

Immunohistochemistry

8-25 µg/mL
Sample: Immersion fixed paraffin-embedded sections of human placenta

Intracellular Staining by Flow Cytometry

2.5 µg/106 cells
Sample: U‑87 MG human glioblastoma/astrocytoma cell line, fixed with paraformaldehyde and permeabilized with saponin

Reviewed Applications

Read 1 review rated 4 using MAB5854 in the following applications:

Formulation, Preparation, and Storage

Purification

Protein A or G purified from hybridoma culture supernatant

Reconstitution

Sterile PBS to a final concentration of 0.5 mg/mL. For liquid material, refer to CoA for concentration.

Reconstitution Buffer Available:
Size / Price
Qty
Loading...

Formulation

Lyophilized from a 0.2 μm filtered solution in PBS with Trehalose. *Small pack size (SP) is supplied either lyophilized or as a 0.2 µm filtered solution in PBS.

Shipping

Lyophilized product is shipped at ambient temperature. Liquid small pack size (-SP) is shipped with polar packs. Upon receipt, store immediately at the temperature recommended below.

Stability & Storage

Use a manual defrost freezer and avoid repeated freeze-thaw cycles.
  • 12 months from date of receipt, -20 to -70 °C as supplied.
  • 1 month, 2 to 8 °C under sterile conditions after reconstitution.
  • 6 months, -20 to -70 °C under sterile conditions after reconstitution.

Background: Galanin

Galanin (Glycine-Alanine, representing the N-and C-terminal amino acids in bovine Galanin; also GAL) is a 3 kDa (predicted), secreted member of the Galanin family of peptides. It is co-expressed with differing neuropeptides in a variety of neuron cell types. Galanin affects multiple metabolic processes by binding to one of three GPCRs. GalR1 blocks insulin secretion, GalR2 initiates neurogenesis and GalR3 influences addictive behavior. The human Galanin proform is 11‑12 kDa in size (predicted) and 104 amino acids (aa) in length. Proteolytic processing generates a 30 aa mature Galanin peptide (aa 33‑62), plus a phosphorylated (Ser117), C-terminal 59 aa GMAP fragment that is apparently involved in the processing of noxious stimuli. Once secreted, Galanin can undergo additional proteolytic degradation. Over aa 20‑123, the human Galanin proform shares 72% aa identity with mouse Galanin proform.

Alternate Names

GAL, GALN

Entrez Gene IDs

51083 (Human); 14419 (Mouse); 29141 (Rat)

Gene Symbol

GAL

UniProt

Additional Galanin Products

Product Documents for Human Galanin Antibody

Certificate of Analysis

To download a Certificate of Analysis, please enter a lot number in the search box below.

Note: Certificate of Analysis not available for kit components.

Product Specific Notices for Human Galanin Antibody

For research use only

Loading...
Loading...
Loading...
Loading...
Loading...