Skip to main content

Key Product Details

Species Reactivity

Human

Applications

Immunohistochemistry, Western Blot

Label

Unconjugated

Antibody Source

Monoclonal Mouse IgG2B Clone # 678527

Product Specifications

Immunogen

E. coli-derived recombinant human Fes
Ser270-Ala370
Accession # P07332

Specificity

Detects human Fes in direct ELISAs and Western blots.

Clonality

Monoclonal

Host

Mouse

Isotype

IgG2B

Scientific Data Images for Human Fes Antibody

Detection of Human Fes antibody by Western Blot.

Detection of Human Fes by Western Blot.

Western blot shows lysates of MOLT-4 human acute lymphoblastic leukemia cell line and HEL 92.1.7 human erythroleukemic cell line. PVDF membrane was probed with 0.2 µg/mL of Mouse Anti-Human Fes Monoclonal Antibody (Catalog # MAB6460) followed by HRP-conjugated Anti-Mouse IgG Secondary Antibody (Catalog # HAF018). A specific band was detected for Fes at approximately 93 kDa (as indicated). This experiment was conducted under reducing conditions and using Immunoblot Buffer Group 1.
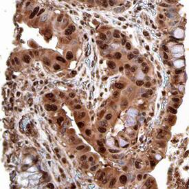
Fes antibody in Human Colon by Immunohistochemistry (IHC-P).

Fes in Human Colon.

Fes was detected in immersion fixed paraffin-embedded sections of human colon using Mouse Anti-Human Fes Monoclonal Antibody (Catalog # MAB6460) at 15 µg/mL overnight at 4 °C. Before incubation with the primary antibody, tissue was subjected to heat-induced epitope retrieval using Antigen Retrieval Reagent-Basic (Catalog # CTS013). Tissue was stained using the Anti-Mouse HRP-DAB Cell & Tissue Staining Kit (brown; Catalog # CTS002) and counterstained with hematoxylin (blue). Specific staining was localized to cytoplasm and nuclei. View our protocol for Chromogenic IHC Staining of Paraffin-embedded Tissue Sections.

Applications for Human Fes Antibody

Application
Recommended Usage

Immunohistochemistry

8-25 µg/mL
Sample: Immersion fixed paraffin-embedded sections of human colon

Western Blot

0.2 µg/mL
Sample: MOLT‑4 human acute lymphoblastic leukemia cell line and HEL 92.1.7 human erythroleukemic cell line

Reviewed Applications

Read 2 reviews rated 4.5 using MAB6460 in the following applications:

Formulation, Preparation, and Storage

Purification

Protein A or G purified from hybridoma culture supernatant

Reconstitution

Sterile PBS to a final concentration of 0.5 mg/mL. For liquid material, refer to CoA for concentration.

Reconstitution Buffer Available:
Size / Price
Qty
Loading...

Formulation

Lyophilized from a 0.2 μm filtered solution in PBS with Trehalose. *Small pack size (SP) is supplied either lyophilized or as a 0.2 µm filtered solution in PBS.

Shipping

Lyophilized product is shipped at ambient temperature. Liquid small pack size (-SP) is shipped with polar packs. Upon receipt, store immediately at the temperature recommended below.

Stability & Storage

Use a manual defrost freezer and avoid repeated freeze-thaw cycles.
  • 12 months from date of receipt, -20 to -70 °C as supplied.
  • 1 month, 2 to 8 °C under sterile conditions after reconstitution.
  • 6 months, -20 to -70 °C under sterile conditions after reconstitution.

Background: Fes

Fes (homolog of feline sarcoma oncogene), also called c-FES or c-FPS, is a 92 kDa protein within subgroup IV of the non-receptor tyrosine kinase family. It is expressed in myeloid hematopoietic cells, vascular endothelium and neurons and regulates cell adhesion and extravasation. The 822 amino acid (aa) human Fes contains F-BAR (aa 7-239), SH2 (aa 460-549) and kinase (aa 561-822) domains. The F-BAR domain contains coiled-coil homo-oligomerization and microtubule binding sequences. Within the region used as an immunogen, human Fes shares 85% and 87% aa identity with mouse and rat Fes, respectively. Human isoforms of 764, 752, 694 and 681 aa may be missing aa 72-129 or 441-511 and/or contain an alternate 17 aa for aa 610-640, while an isoform of 891 aa contains 18 and 51 aa inserted after aa 510 and 568.

Long Name

Feline Sarcoma Proto-oncogene

Alternate Names

FPS

Entrez Gene IDs

2242 (Human); 14159 (Mouse); 361597 (Rat)

Gene Symbol

FES

UniProt

Additional Fes Products

Product Documents for Human Fes Antibody

Certificate of Analysis

To download a Certificate of Analysis, please enter a lot number in the search box below.

Note: Certificate of Analysis not available for kit components.

Product Specific Notices for Human Fes Antibody

For research use only

Loading...
Loading...
Loading...
Loading...