Skip to main content

Key Product Details

Species Reactivity

Human

Applications

Immunohistochemistry, Western Blot, Immunocytochemistry, Simple Western

Label

Unconjugated

Antibody Source

Monoclonal Mouse IgG2B Clone # 807009

Product Specifications

Immunogen

E. coli-derived recombinant human Endophilin B1/Bif‑1
Ala33-Asn189
Accession # Q9Y371

Specificity

Detects human Endophilin B1/Bif‑1 in direct ELISAs. In direct ELISAs, 100% cross-reactivity with recombinant human Endophilin B2 is observed.

Clonality

Monoclonal

Host

Mouse

Isotype

IgG2B

Scientific Data Images for Human Endophilin B1/B2 Antibody

Detection of Human Endophilin B1/B2 antibody by Western Blot.

Detection of Human Endophilin B1/B2 by Western Blot.

Western blot shows lysates of Jurkat human acute T cell leukemia cell line, Saos-2 human osteosarcoma cell line, and U-118-MG human glioblastoma/astrocytoma cell line. PVDF membrane was probed with 0.2 µg/mL of Mouse Anti-Human Endophilin B1/B2 Monoclonal Antibody (Catalog # MAB7456) followed by HRP-conjugated Anti-Mouse IgG Secondary Antibody (Catalog # HAF018). A specific band was detected for Endophilin B1/B2 at approximately 43 kDa (as indicated). This experiment was conducted under reducing conditions and using Immunoblot Buffer Group 1.
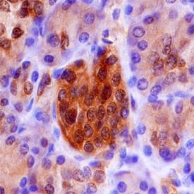
Endophilin B1/B2 antibody in Human Pancreas by Immunohistochemistry (IHC-P).

Endophilin B1/B2 in Human Pancreas.

Endophilin B1/B2 was detected in immersion fixed paraffin-embedded sections of human pancreas using Mouse Anti-Human Endophilin B1/B2 Monoclonal Antibody (Catalog # MAB7456) at 15 µg/mL overnight at 4 °C. Before incubation with the primary antibody, tissue was subjected to heat-induced epitope retrieval using Antigen Retrieval Reagent-Basic (Catalog # CTS013). Tissue was stained using the Anti-Mouse HRP-DAB Cell & Tissue Staining Kit (brown; Catalog # CTS002) and counter-stained with hematoxylin (blue). Specific staining was localized to cytoplasm of islet cells. View our protocol for Chromogenic IHC Staining of Paraffin-embedded Tissue Sections.
Detection of Human Endophilin B1/B2 antibody by Simple WesternTM.

Detection of Human Endophilin B1/B2 by Simple WesternTM.

Simple Western lane view shows lysates of U‑118‑MG human glioblastoma/astrocytoma cell line, loaded at 0.5 mg/mL. A specific band was detected for Endophilin B1/B2 at approximately 42 kDa (as indicated) using 2 µg/mL of Mouse Anti-Human Endophilin B1/B2 Monoclonal Antibody (Catalog # MAB7456). This experiment was conducted under reducing conditions and using the 12-230 kDa separation system.

Applications for Human Endophilin B1/B2 Antibody

Application
Recommended Usage

Immunocytochemistry

5-25 µg/mL
Sample: Immersion fixed Jurkat human acute T cell leukemia cell line

Immunohistochemistry

8-25 µg/mL
Sample: Immersion fixed paraffin-embedded sections of human pancreas

Simple Western

2 µg/mL
Sample: U‑118‑MG human glioblastoma/astrocytoma cell line

Western Blot

0.2 µg/mL
Sample: Jurkat human acute T cell leukemia cell line, Saos‑2 human osteosarcoma cell line, and U‑118‑MG human glioblastoma/astrocytoma cell line

Reviewed Applications

Read 1 review rated 5 using MAB7456 in the following applications:

Formulation, Preparation, and Storage

Purification

Protein A or G purified from hybridoma culture supernatant

Reconstitution

Sterile PBS to a final concentration of 0.5 mg/mL. For liquid material, refer to CoA for concentration.

Reconstitution Buffer Available:
Size / Price
Qty
Loading...

Formulation

Lyophilized from a 0.2 μm filtered solution in PBS with Trehalose. *Small pack size (SP) is supplied either lyophilized or as a 0.2 µm filtered solution in PBS.

Shipping

Lyophilized product is shipped at ambient temperature. Liquid small pack size (-SP) is shipped with polar packs. Upon receipt, store immediately at the temperature recommended below.

Stability & Storage

Use a manual defrost freezer and avoid repeated freeze-thaw cycles.
  • 12 months from date of receipt, -20 to -70 °C as supplied.
  • 1 month, 2 to 8 °C under sterile conditions after reconstitution.
  • 6 months, -20 to -70 °C under sterile conditions after reconstitution.

Background: Endophilin B1/B2

Endophilins are among the best known BAR (Bin/Amphiphysin/Rvs) domain proteins. The highly conserved protein dimerisation domain is typically involved in membrane dynamics. Endophilin-B1, also known as SH3GLB1 (Src-Homology 3 Domain-containing GRB2-like protein B1) and BIF-1, is a 40 kDa protein that belongs to the endophilin family of molecules. It is a cytoplasmic and Golgi membrane protein that is expressed in neurons, striated (skeletal and cardiac) muscle cells, and placenta. Using SH3GLB1 in yeast two-hybrid screens, a second protein, SH3GLB2 (endophilin B2), was identified as an interacting partner. Endophilin-B1 plays a role in cell homeostasis. In neurons, Endophilin-B1 is phosphorylated by Cdk5, inducing homodimerization and autophagosome formation. In addition, it appears to play a role in the maintenance of mitochondrial integrity. Endophilin-B1 appears to cycle on-and-off the outer mitochondrial membrane (OMM), contributing to OMM integrity. And after the initiation of endocytosis, it also directs EEA1+ TrkA-containing endosomes back into the cell membrane for reuse. Human Endophilin-B1 is 365 amino acids (aa) in length. It possesses an N-terminal lipid-binding BAR (Bin/Amphiphysin/Rvs) domain (aa 27-261) that contains an internal coiled-coil region, and a C‑terminal SH3 domain that binds Pro-rich sequences on potential ligands (309-363). There are at least three potential splice variants for Endophilin-B1. Two are 42 and 43 kDa in size, and possess a 21 and 29 aa insertion after Ser190, respectively. A third potentially utilizes an alternative start site at Met101. Over aa 33-189, human Endophilin-B1 shares 98% aa sequence identity with mouse Endophilin-B1.

Long Name

SH3-domain GRB2-like Endophilin B1/Bax-interacting Factor 1

UniProt

Additional Endophilin B1/B2 Products

Product Documents for Human Endophilin B1/B2 Antibody

Certificate of Analysis

To download a Certificate of Analysis, please enter a lot number in the search box below.

Note: Certificate of Analysis not available for kit components.

Product Specific Notices for Human Endophilin B1/B2 Antibody

For research use only

Loading...
Loading...
Loading...
Loading...