Human E-Selectin/CD62E Antibody
R&D Systems, part of Bio-Techne | Catalog # BBA18
Key Product Details
Validated by
Species Reactivity
Validated:
Cited:
Applications
Validated:
Cited:
Label
Antibody Source
Product Specifications
Immunogen
Specificity
Clonality
Host
Isotype
Scientific Data Images for Human E-Selectin/CD62E Antibody
E-Selectin/CD62E in Human Kidney Cancer Tissue.
E-Selectin/CD62E was detected in immersion fixed paraffin-embedded sections of human kidney cancer tissue using Goat Anti-Human E-Selectin/ CD62E Polyclonal Antibody (Catalog # BBA18) overnight at 4 °C. Before incubation with the primary antibody tissue was subjected to heat-induced epitope retrieval using Antigen Retrieval Reagent-Basic (Catalog # CTS013). Tissue was stained (brown) and counterstained with hematoxylin (blue). View our protocol for Chromogenic IHC Staining of Paraffin-embedded Tissue Sections.E-Selectin/CD62E in LPS treated Human Kidney Tissue.
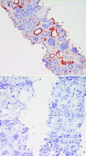
E-Selectin/CD62E was detected in acetone fixed cryosections of human kidney tissue using Goat Anti-Human E-Selectin/CD62E Polyclonal Antibody (Catalog # BBA18) overnight at 4 ° C. Tissues were stained with rabbit anti-goat secondary antibody and HRP polymer-conjugated anti-rabbit IgG followed by AEC+Substrate Chromogen (red) followed by counterstaining with hematoxylin (blue). Before incubation with the primary antibody, tissues were treatedex vivowith LPS and also treated to block endogenous peroxidase activity. The lower panel shows an absence of labeling when primary antibody is omitted. Experiments were carried out and images were provided by Dr. Grietje Molema, University of Groningen, The Netherlands.Applications for Human E-Selectin/CD62E Antibody
Immunohistochemistry
Sample: Immersion fixed paraffin-embedded sections of human kidney cancer tissue subjected to Antigen Retrieval Reagent-Basic (Catalog # CTS013) and acetone fixed frozen sections of human normal kidney tissue
Western Blot
Sample: Recombinant Human E-Selectin/CD62E Fc Chimera (Catalog # 724-ES)
Reviewed Applications
Read 2 reviews rated 4.5 using BBA18 in the following applications:
Formulation, Preparation, and Storage
Reconstitution
Formulation
Shipping
Stability & Storage
- 12 months from date of receipt, -20 to -70 °C as supplied.
- 1 month, 2 to 8 °C under sterile conditions after reconstitution.
- 6 months, -20 to -70 °C under sterile conditions after reconstitution.
Background: E-Selectin/CD62E
E-Selectin (Endothelial Leukocyte Adhesion Molecule-1, ELAM-1, CD62E), a member of the Selectin family, is a 107 - 115 kDa cell surface glycoprotein. It is transiently expressed on vascular endothelial cells in response to IL-1 beta and TNF-alpha, and demonstrates peak expression at 4 hours, and decay at 24 hours, in response to activation. E-Selectin ligands, expressed on neutrophils, monocytes, and a subset of memory T cells, are sialylated, fucosylated molecules which bind to the lectin domain of E-Selectin. Immunocytochemical techniques have demonstrated the expression of E-Selectin on healthy and diseased tissue. The human and mouse
E‑Selectin proteins share 81% amino acid similarity.
E-Selectin mediates the attachment of flowing leukocytes to the blood vessel wall during inflammation by binding to E-Selectin ligands on leukocytes. These interactions are labile and permit leukocytes to roll along the vascular endothelium in the direction of blood flow. This initial interaction is followed by a stronger interaction involving ICAM-1 and VCAM-1 that leads eventually to extravasation of the white blood cell through the blood vessel wall into the extracellular matrix tissue.
ELISA techniques have shown that detectable levels of soluble E-Selectin are present in the biological fluids of apparently normal individuals. Furthermore, a number of studies have reported that levels of E-Selectin may be elevated in subjects with a variety of pathological conditions.
Alternate Names
Gene Symbol
Additional E-Selectin/CD62E Products
Product Documents for Human E-Selectin/CD62E Antibody
Product Specific Notices for Human E-Selectin/CD62E Antibody
For research use only