Skip to main content

Key Product Details

Species Reactivity

Validated:

Human

Cited:

Human, Primate - Macaca mulatta (Rhesus Macaque)

Applications

Validated:

Immunohistochemistry, Western Blot, Flow Cytometry, CyTOF-ready

Cited:

Immunohistochemistry, Immunohistochemistry-Frozen

Label

Unconjugated

Antibody Source

Polyclonal Goat IgG

Product Specifications

Immunogen

Mouse myeloma cell line NS0-derived recombinant human DLEC/CLEC4C/BDCA‑2
Phe46-Ile213
Accession # Q8WTT0

Specificity

Detects human DLEC/CLEC4C/BDCA‑2 in direct ELISAs and Western blots.

Clonality

Polyclonal

Host

Goat

Isotype

IgG

Scientific Data Images for Human DLEC/CLEC4C/BDCA-2 Antibody

Detection of DLEC/CLEC4C/BDCA-2 antibody in Human Whole Blood antibody by Flow Cytometry.

Detection of DLEC/CLEC4C/BDCA‑2 in Human Whole Blood by Flow Cytometry.

Human whole blood were stained with Goat Anti- Human DLEC/CLEC4C/BDCA-2 Antigen Affinity-purified Polyclonal Antibody (Catalog # AF1376) followed by Allophycocyanin-conjugated Anti-Goat IgG Secondary Antibody (Catalog # F0108) and Human IL-3 Ra Phycoerythrin-conjugated Monoclonal Antibody (Catalog # FAB301P).Quadrant markers were set based on control antibody staining (Catalog # AB-108-C).
Detection of DLEC/CLEC4C/BDCA-2 antibody in Human PBMCs antibody by Flow Cytometry.

Detection of DLEC/CLEC4C/BDCA‑2 in Human PBMCs by Flow Cytometry.

Human peripheral blood mononuclear cells (PBMCs) were stained with Mouse Anti-Human IL-3 Ra/CD123 APC-conjugated Monoclonal Antibody (Catalog # FAB301A) and either (A) Goat Anti-Human DLEC/CLEC4C/BDCA-2 Antigen Affinity-purified Polyclonal Antibody (Catalog # AF1376) or (B) Normal Goat IgG Control (Catalog # AB-108-C) followed by Allophycocyanin-conjugated Anti-Goat IgG Secondary Antibody (Catalog # F0108).
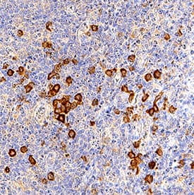
DLEC/CLEC4C/BDCA-2 antibody in Human Lymph Node by Immunohistochemistry (IHC-P).

DLEC/CLEC4C/BDCA-2 in Human Lymph Node.

DLEC/CLEC4C/BDCA-2 was detected in immersion fixed paraffin-embedded sections of human lymph node using Goat Anti-Human DLEC/CLEC4C/BDCA-2 Antigen Affinity-purified Polyclonal Antibody (Catalog # AF1376) at 15 µg/mL overnight at 4 °C. Tissue was stained using the Anti-Goat HRP-DAB Cell & Tissue Staining Kit (brown; Catalog # CTS008) and counterstained with hematoxylin (blue). View our protocol for Chromogenic IHC Staining of Paraffin-embedded Tissue Sections.

Applications for Human DLEC/CLEC4C/BDCA-2 Antibody

Application
Recommended Usage

CyTOF-ready

Ready to be labeled using established conjugation methods. No BSA or other carrier proteins that could interfere with conjugation.

Flow Cytometry

2.5 µg/106 cells
Sample: Human whole blood and human peripheral blood mononuclear cells (PBMCs)

Immunohistochemistry

5-15 µg/mL
Sample: Immersion fixed paraffin-embedded sections of human lymph node and immersino fixed paraffin-embedded sections of human tonsil

Western Blot

0.1 µg/mL
Sample: Recombinant Human DLEC/CLEC4C/BDCA2 Fc Chimera (Catalog # 1376-DL)

Reviewed Applications

Read 2 reviews rated 4.5 using AF1376 in the following applications:

Formulation, Preparation, and Storage

Purification

Antigen Affinity-purified

Reconstitution

Reconstitute at 0.2 mg/mL in sterile PBS. For liquid material, refer to CoA for concentration.

Reconstitution Buffer Available:
Size / Price
Qty
Loading...

Formulation

Lyophilized from a 0.2 μm filtered solution in PBS with Trehalose. *Small pack size (SP) is supplied either lyophilized or as a 0.2 µm filtered solution in PBS.

Shipping

Lyophilized product is shipped at ambient temperature. Liquid small pack size (-SP) is shipped with polar packs. Upon receipt, store immediately at the temperature recommended below.

Stability & Storage

Use a manual defrost freezer and avoid repeated freeze-thaw cycles.
  • 12 months from date of receipt, -20 to -70 °C as supplied.
  • 1 month, 2 to 8 °C under sterile conditions after reconstitution.
  • 6 months, -20 to -70 °C under sterile conditions after reconstitution.

Background: DLEC/CLEC4C/BDCA-2

Dendritic cell lectin (DLEC), also known as BDCA-2, CD303, HECL, and CLEC4C/CLECSF11/CLECSF7, is a 38 kDa type II transmembrane protein in the C-type lectin family (1). Mature human DLEC consists of a 21 amino acid (aa) cytoplasmic domain, a 23 aa transmembrane segment, and a 169 aa extracellular domain (ECD) that contains a juxtamembrane neck region and one carbohydrate recognition domain (CRD) (2, 3). Alternate splicing may generate multiple isoforms that lack the transmembrane segment and/or portions of the cytoplasmic, neck, and CRD regions (2-4). An ortholog of human DLEC has not been described in mouse or rat. DLEC expression is restricted to plasmacytoid dendritic cells (pDC) and is downregulated during their maturation (2, 3, 5). pDC play a role in the innate immune response by producing IFN-alpha / beta following exposure to TLR7 and TLR9 agonists such as microbial CpG DNA (3, 5-8). Antibody ligation of DLEC on pDC attenuates the CpG-stimulated production of interferons as well as a Th1 biased response (3, 5-9). DLEC interactions with HIV-1 gp120 and hepatitis B virus soluble antigen may therefore limit the pDC antiviral response (10, 11). Similar to other C-type lectins, DLEC can mediate antigen uptake for MHC loading and presentation to T cells (3, 12). Crosslinking of DLEC on CpG-stimulated pDC inhibits pDC maturation and induces tyrosine phosphorylation on multiple proteins involved in B cell receptor signaling and endocytosis (5, 7, 8). These functions require the association of DLEC with the ITAM-containing Fc epsilon RI gamma chain (7, 8).

References

  1. Kanazawa, N. et al. (2004) Immunobiology 209:179.
  2. Arce, I. et al. (2001) Eur. J. Immunol. 31:2733.
  3. Dzionek, A. et al. (2001) J. Exp. Med. 194:1823.
  4. Fernandes, M.J. et al. (2000) Genomics 69:263.
  5. Wu, P. et al. (2008) Clin. Immunol. 129:40.
  6. Fanning, S.L. et al. (2006) J. Immunol. 177:5829.
  7. Rock, J. et al. (2007) Eur. J. Immunol. 37:3564.
  8. Cao, W. et al. (2007) PloS Biol. 5:e248.
  9. Riboldi, E. et al. (2009) Immunobiology 214:868.
  10. Martinelli, E. et al. (2007) Proc. Natl. Acad. Sci. USA 104:3396.
  11. Xu, Y. et al. (2009) Mol. Immunol. 46:2640.
  12. Jaehn, P.S. et al. (2008) Eur. J. Immunol. 38:1822.

Long Name

Dendritic Cell Lectin

Alternate Names

BDCA-2, BDCA2, CD303, CLEC4C, CLECSF11, CLECSF7

Entrez Gene IDs

170482 (Human)

Gene Symbol

CLEC4C

UniProt

Additional DLEC/CLEC4C/BDCA-2 Products

Product Documents for Human DLEC/CLEC4C/BDCA-2 Antibody

Certificate of Analysis

To download a Certificate of Analysis, please enter a lot number in the search box below.

Note: Certificate of Analysis not available for kit components.

Product Specific Notices for Human DLEC/CLEC4C/BDCA-2 Antibody

For research use only

Loading...
Loading...
Loading...
Loading...
Loading...