Skip to main content

Key Product Details

Species Reactivity

Validated:

Human

Cited:

Human, Mouse

Applications

Validated:

Immunohistochemistry, ELISA

Cited:

Immunohistochemistry, Immunohistochemistry-Paraffin, Western Blot, Immunocytochemistry

Label

Unconjugated

Antibody Source

Polyclonal Goat IgG

Product Specifications

Immunogen

Mouse myeloma cell line NS0-derived recombinant human Dkk-3
Ala22-Ile350
Accession # Q9UBP4

Specificity

Detects human Dkk-3 in direct ELISAs. In direct ELISAs, approximately 35% cross-reactivity with recombinant mouse Dkk-3 is observed.

Clonality

Polyclonal

Host

Goat

Isotype

IgG

Scientific Data Images for Human Dkk-3 Antibody

Detection of Dkk-3 in Human Brain Hippocampus.

Dkk-3 was detected in immersion fixed paraffin-embedded sections of Human Brain Hippocampus using Goat Anti-Human Dkk-3 Antigen Affinity-purified Polyclonal Antibody (Catalog # AF1118) at 3 µg/mL for 1 hour at room temperature followed by incubation with the Anti-Goat IgG VisUCyte™ HRP Polymer Antibody (Catalog # VC004). Before incubation with the primary antibody, tissue was subjected to heat-induced epitope retrieval using VisUCyte Antigen Retrieval Reagent-Basic (Catalog # VCTS021). Tissue was stained using DAB (brown) and counterstained with hematoxylin (blue). Specific staining was localized to cytoplasm in neurons. View our protocol for IHC Staining with VisUCyte HRP Polymer Detection Reagents.
Detection of Human Dkk-3 by Immunohistochemistry

Detection of Human Dkk-3 by Immunohistochemistry

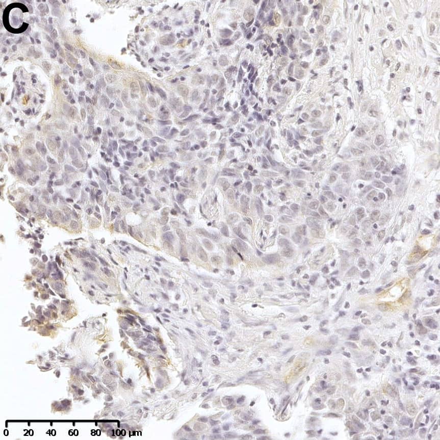
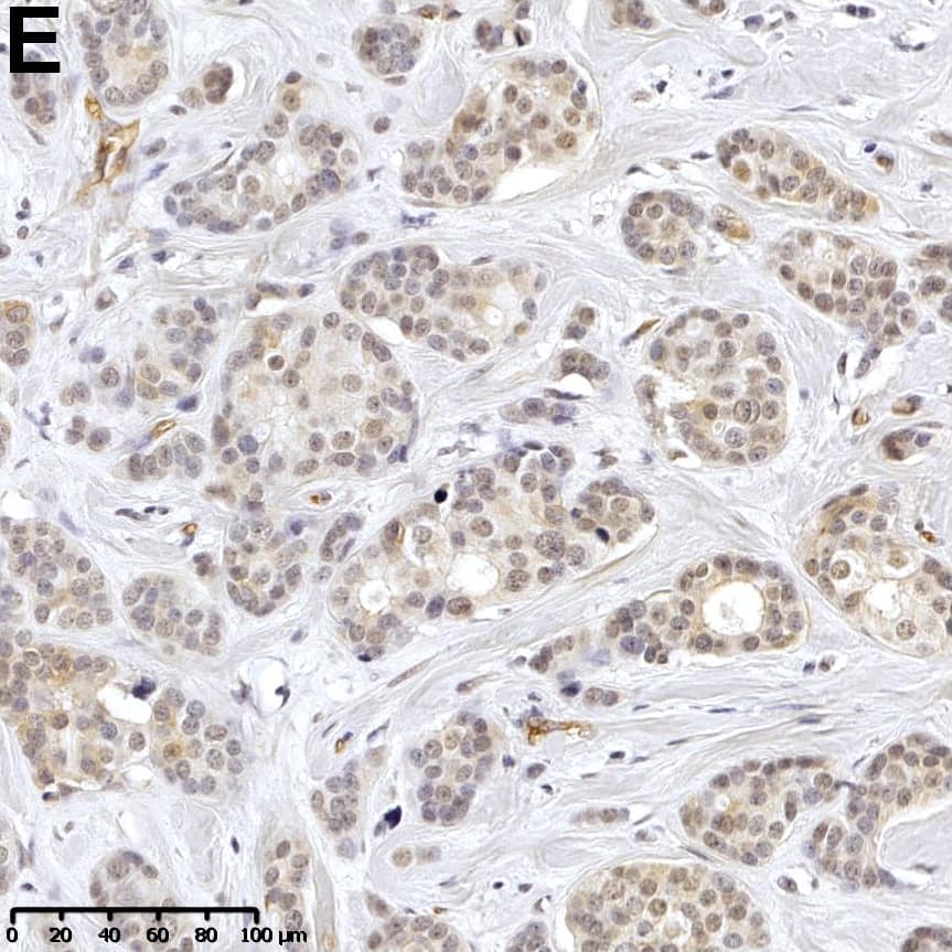
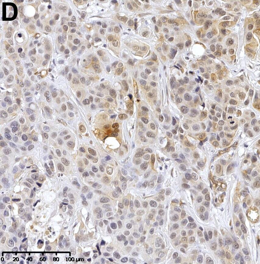
Loss of DKK3 protein expression in human breast cancer.(A) Normal mammary epithelial cells showing moderate, predominantly cytoplasmic, DKK3 immunoreactivity whereas (B) primary antibody negative control is free of signal. (C-E) Weak DKK3 protein expression is observed in breast tumor samples, with lowest intensity in IHC-defined (C) TNBC cases compared to (D) HER2-positive and (E) luminal carcinomas (representative images). (F) Box plot analysis demonstrating a significant down-regulation of DKK3 in tumors of the TNBC (n = 54), the HER2-positive (n = 47) and luminal subtype (n = 362) compared to normal breast tissues (n = 11). Horizontal lines: grouped medians. Boxes: 25-75% quartiles. Vertical lines: range, minimum and maximum. * P < 0.05, *** P < 0.001, IRS: immunoreactive score. Image collected and cropped by CiteAb from the following open publication (https://pubmed.ncbi.nlm.nih.gov/27467270), licensed under a CC-BY license. Not internally tested by R&D Systems.
Detection of Human Dkk-3 by Western Blot

Detection of Human Dkk-3 by Western Blot

Ectopic expression of DKK3 in MB231 cells disrupted Wnt signalling. (A) Subcellular localization of beta-catenin and active-beta -catenin by immunofluorescence staining. (B) Western blot analysis of beta-catenin, its downstream targets, JNK and EMT markers. (C) RT-PCR analysis of representative stem cell markers in DKK3-transfected MB231 cells. *Indicates significantly down-regulated bands. Image collected and cropped by CiteAb from the following open publication (https://pubmed.ncbi.nlm.nih.gov/23890219), licensed under a CC-BY license. Not internally tested by R&D Systems.

Applications for Human Dkk-3 Antibody

Application
Recommended Usage

ELISA

This antibody functions as an ELISA detection antibody when paired with Mouse Anti-Human Dkk-3 Monoclonal Antibody (Catalog # MAB11181).

This product is intended for assay development on various assay platforms requiring antibody pairs.

Immunohistochemistry

3-15 µg/mL
Sample: immersion fixed paraffin-embedded sections of Human Brain Hippocampus

Formulation, Preparation, and Storage

Purification

Antigen Affinity-purified

Reconstitution

Reconstitute at 0.2 mg/mL in sterile PBS. For liquid material, refer to CoA for concentration.

Reconstitution Buffer Available:
Size / Price
Qty
Loading...

Formulation

Lyophilized from a 0.2 μm filtered solution in PBS with Trehalose. *Small pack size (SP) is supplied either lyophilized or as a 0.2 µm filtered solution in PBS.

Shipping

Lyophilized product is shipped at ambient temperature. Liquid small pack size (-SP) is shipped with polar packs. Upon receipt, store immediately at the temperature recommended below.

Stability & Storage

Use a manual defrost freezer and avoid repeated freeze-thaw cycles.
  • 12 months from date of receipt, -20 to -70 °C as supplied.
  • 1 month, 2 to 8 °C under sterile conditions after reconstitution.
  • 6 months, -20 to -70 °C under sterile conditions after reconstitution.

Background: Dkk-3

Dkk-3, also known as REIC (Reduced Expansion in Immortalized Cells), is one of four numbered members of the Dickkopf family of Wnt antagonists (1). Dkk-3 is a secreted monomer expressed in many normal human tissues, most strongly in heart, brain and spinal cord (1, 2), and during early embryonic development in the mouse (3). N-glycosylation at up to four sites preceding or between two conserved cysteine-rich motifs results in expression of a 38 kDa glycoprotein (1, 4). The cysteine-rich motifs contain 10 cysteines each, with prokineticin and colipase families containing sequences similar to those of the second motif (1, 5). Human Dkk-3 shows 82%, 88%, 85%, and 53% amino acid (aa) identity with mouse, bovine, canine, and chick Dkk-3, respectively, and 37-45% aa identity with other human Dkk family members. Several lines of evidence implicate Dkk-3 as a negative growth regulator. Dkk-3 is downregulated in many tumors as compared to normal cells, sometimes by loss of heterozygosity (4, 6). Downregulation by CpG hypermethylation in acute lymphoblastic leukemia is correlated with faster progression and shorter survival (7). Release of cultured cells from serum starvation results in downregulation of Dkk-3 in late G1 phase of the cell cycle (6). Over-expression of
Dkk‑3 results in tumor cell-line-specific growth inhibition, induction of apoptosis, and decreased tumorigenicity in nude mice (2, 4, 6). The prototype Dickkopf member, Dkk-1, antagonizes Wnt family signaling by binding to Wnt receptors LRP5 and LRP6 (low-density lipoprotein receptor-related proteins) and promoting their internalization (1, 9, 10). Results are less straightforward for Dkk-3, where some studies show binding to LRP5/6 while others do not. These effects appear to be dependent on the cells and conditions used (1, 6-10).

References

  1. Krupnik, V.E. et al. (1999) Gene 238:301.
  2. Tsuji, T. et al. (2000) Biochem. Biophys. Res. Comm. 268:20.
  3. Kemp, C. et al. (2005) Dev. Dyn. 233:1064.
  4. Hsieh, S.-Y. et al. (2004) Oncogene 23:9183.
  5. Bullock, C.M. et al. (2004) Mol. Pharmacol. 65:582.
  6. Tsuji, T. et al. (2001) Biochem. Biophys. Res. Comm. 289:257.
  7. Roman-Gomez, J. et al. (2004) Br. J. Cancer 91:707.
  8. Hoang, B.H. et al. (2004) Cancer Res. 64:2734.
  9. Caricasole, A. et al. (2003) J. Biol. Chem. 278:37024.
  10. Mao, B. et al. (2001) Nature 411:321.

Long Name

Dickkopf-3

Alternate Names

Dkk3, REIC

Entrez Gene IDs

27122 (Human); 50781 (Mouse)

Gene Symbol

DKK3

UniProt

Additional Dkk-3 Products

Product Documents for Human Dkk-3 Antibody

Certificate of Analysis

To download a Certificate of Analysis, please enter a lot number in the search box below.

Note: Certificate of Analysis not available for kit components.

Product Specific Notices for Human Dkk-3 Antibody

For research use only

Loading...
Loading...
Loading...
Loading...