Human Decorin Antibody
R&D Systems, part of Bio-Techne | Catalog # MAB143

Key Product Details
Validated by
Species Reactivity
Validated:
Cited:
Applications
Validated:
Cited:
Label
Antibody Source
Product Specifications
Immunogen
Gly17-Lys172
Accession # NP_598013.1
Specificity
Clonality
Host
Isotype
Scientific Data Images for Human Decorin Antibody
Detection of Human Decorin by Western Blot.
Western blot shows lysates of human uterus tissue and human heart tissue. PVDF membrane was probed with 1 µg/mL of Mouse Anti-Human Decorin Monoclonal Antibody (Catalog # MAB143) followed by HRP-conjugated Anti-Mouse IgG Secondary Antibody (Catalog # HAF018). A specific band was detected for Decorin at approximately 100 kDa (as indicated). This experiment was conducted under reducing conditions and using Immunoblot Buffer Group 1.Detection of Human Decorin by Simple WesternTM.
Simple Western lane view shows lysates of human uterus tissue, loaded at 0.2 mg/mL. A specific band was detected for Decorin at approximately 145 kDa (as indicated) using 10 µg/mL of Mouse Anti-Human Decorin Monoclonal Antibody (Catalog # MAB143) . This experiment was conducted under reducing conditions and using the 12-230 kDa separation system.Detection of Human Decorin by Immunohistochemistry
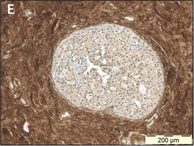
Immunohistochemical staining of stromal protein expression in DCIS with sclerotic or myxoid stromaMicrophotographs displaying HE staining (A-B), and IHC staining for biglycan (C-D), decorin (E-F) and versican (G-H). Panels A-C-E-G display photographs of one DCIS lesion with sclerotic stroma; panels B-D-F-H display one DCIS lesion with myxoid stroma. This figure illustrates that myxoid DCIS present reduced periductal decorin staining and tend to have increased periductal versican and biglycan expression, whereas sclerotic DCIS generally present strong stromal decorin immunoreactivity, and tend to lack stromal versican and biglycan. Original magnification 100x. Image collected and cropped by CiteAb from the following publication (https://www.oncoscience.us/lookup/doi/10.18632/oncoscience.87), licensed under a CC-BY license. Not internally tested by R&D Systems.Applications for Human Decorin Antibody
Simple Western
Sample: Human uterus tissue
Western Blot
Sample: Human uterus tissue and human heart tissue
Reviewed Applications
Read 3 reviews rated 4.7 using MAB143 in the following applications:
Formulation, Preparation, and Storage
Purification
Reconstitution
Formulation
Shipping
Stability & Storage
- 12 months from date of receipt, -20 to -70 °C as supplied.
- 1 month, 2 to 8 °C under sterile conditions after reconstitution.
- 6 months, -20 to -70 °C under sterile conditions after reconstitution.
Background: Decorin
Decorin is a small secreted chondroitin/dermatan sulfate proteoglycan in the family of small leucine-rich proteoglycans (SLRPs). SLRP family members are characterized by N-terminal and C-terminal cysteine-rich regions which flank the central region containing 10-12 tandem leucine-rich repeats (LRR) (1, 2). The human Decorin cDNA encodes a 359 amino acid (aa) precursor that includes a 16 aa signal sequence and a 14 aa propeptide. The 329 aa mature protein contains twelve LRR. Alternate splicing generates five isoforms with variable length deletions (3). Mature human and mouse Decorin share 80% aa sequence identity. In Decorin, serine 34 in the N-terminal domain is O-glycosylated. Naturally occurring Decorin proteoglycan has a molecular mass of approximately 100 kDa, and the deglycosylated Decorin core protein has a mass of approximately 40 kDa. Decorin binds to fibronectin, TGF-beta, and type I and type II collagens. The binding of Decorin to various molecules was reported to be mediated via the core protein. Decorin has been implicated in matrix assembly and has also been reported to suppress the growth of various tumor cell lines by activating the epidermal growth factor receptor.
References
- Naito, Z. (2005) J. Nippon Med. Sch. 72:137.
- Matsushima, N. et al. (2005) Cell. Mol. Life Sci. 62:2771.
- Danielson, K. et al. (1993) Genomics 15:146.
Alternate Names
Gene Symbol
UniProt
Additional Decorin Products
Product Documents for Human Decorin Antibody
Product Specific Notices for Human Decorin Antibody
For research use only