Skip to main content

Key Product Details

Species Reactivity

Validated:

Human

Cited:

Human

Applications

Validated:

Immunohistochemistry, Western Blot, Neutralization, Simple Western, Immunoprecipitation

Cited:

Western Blot, Array Development, ELISA Development

Label

Unconjugated

Antibody Source

Polyclonal Goat IgG

Product Specifications

Immunogen

Mouse myeloma cell line NS0-derived recombinant human Cystatin C
Ser27-Ala146
Accession # P01034

Specificity

Detects human Cystatin C in direct ELISAs and Western blots. In direct ELISAs and Western blots, approximately 50% cross-reactivity with recombinant mouse Cystatin C is observed and less than 5% cross-reactivity with recombinant human (rh) Fetuin A, rhFetuin B, rhCystatin A, rhCystatin B, rhCystatin S, and rhCystatin E/M is observed.

Clonality

Polyclonal

Host

Goat

Isotype

IgG

Scientific Data Images for Human Cystatin C Antibody

Detection of Human Cystatin C antibody by Western Blot.

Detection of Human Cystatin C by Western Blot.

Western blot shows lysates of HepG2 human hepatocellular carcinoma cell line, human liver tissue, and human serum. PVDF membrane was probed with 0.25 µg/mL of Goat Anti-Human Cystatin C Antigen Affinity-purified Polyclonal Antibody (Catalog # AF1196) followed by HRP-conjugated Anti-Goat IgG Secondary Antibody (Catalog # HAF109). A specific band was detected for Cystatin C at approximately 14 kDa (as indicated). This experiment was conducted under reducing conditions and using Immunoblot Buffer Group 1.
Detection of Human Cystatin C antibody by Western Blot.

Detection of Human Cystatin C by Western Blot.

Western blot shows lysates of human placenta tissue and PC-3 human prostate cancer cell line. PVDF membrane was probed with 2 µg/mL of Goat Anti-Human Cystatin C Antigen Affinity-purified Polyclonal Antibody (Catalog # AF1196) followed by HRP-conjugated Anti-Goat IgG Secondary Antibody (Catalog # HAF017). A specific band was detected for Cystatin C at approximately 14 kDa (as indicated). This experiment was conducted under reducing conditions and using Immunoblot Buffer Group 1.
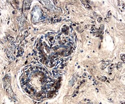
Cystatin C antibody in Human Breast by Immunohistochemistry (IHC-P).

Cystatin C in Human Breast.

Cystatin C was detected in immersion fixed paraffin-embedded sections of human breast using 5 µg/mL Goat Anti-Human Cystatin C Antigen Affinity-purified Polyclonal Antibody (Catalog # AF1196) overnight at 4 °C. Tissue was stained with the Anti-Goat HRP-DAB Cell & Tissue Staining Kit (brown; Catalog # CTS008) and counterstained with hematoxylin (blue). Specific labeling was localized to the cytoplasm in cells of terminal ductules. View our protocol for Chromogenic IHC Staining of Paraffin-embedded Tissue Sections.

Applications for Human Cystatin C Antibody

Application
Recommended Usage

Immunohistochemistry

5-15 µg/mL
Sample: Immersion fixed paraffin-embedded sections of human breast

Immunoprecipitation

25 µg/mL
Sample: Conditioned cell culture medium spiked with Recombinant Human Cystatin C (Catalog # 1196-PI), see our available Western blot detection antibodies

Simple Western

10 µg/mL
Sample: Human hepatocellular carcinoma cell line

Western Blot

0.25-2 µg/mL
Sample: HepG2 human hepatocellular carcinoma cell line, human liver tissue, human serum, human placenta tissue and PC‑3 human prostate cancer cell line

Neutralization

Measured by its ability to neutralize Recombinant Human Cystatin C (0.64 µg/mL, Catalog # 1196-PI) inhibition of Papain (0.1 µg/mL) cleavage of the fluorogenic peptide substrate Z-FR-AMC (100 µM, Catalog # ES009). The Neutralization Dose (ND50) is typically 12-112 µg/mL.

Reviewed Applications

Read 2 reviews rated 4.5 using AF1196 in the following applications:

Formulation, Preparation, and Storage

Purification

Antigen Affinity-purified

Reconstitution

Reconstitute at 0.2 mg/mL in sterile PBS. For liquid material, refer to CoA for concentration.

Reconstitution Buffer Available:
Size / Price
Qty
Loading...

Formulation

Lyophilized from a 0.2 μm filtered solution in PBS with Trehalose. *Small pack size (SP) is supplied either lyophilized or as a 0.2 µm filtered solution in PBS.

Shipping

Lyophilized product is shipped at ambient temperature. Liquid small pack size (-SP) is shipped with polar packs. Upon receipt, store immediately at the temperature recommended below.

Stability & Storage

Use a manual defrost freezer and avoid repeated freeze-thaw cycles.
  • 12 months from date of receipt, -20 to -70 °C as supplied.
  • 1 month, 2 to 8 °C under sterile conditions after reconstitution.
  • 6 months, -20 to -70 °C under sterile conditions after reconstitution.

Background: Cystatin C

Cystatin C is a member of family 2 of the Cystatin superfamily (1). It is involved in processes such as tumor invasion and metastasis, inflammation and some neurological diseases. It inhibits many cysteine proteases such as papain and cathepsins B, H, K, L, and S (2, 3). It is ubiquitous in human tissues and body fluids. A point mutation in the gene coding for the 120 amino acid mature Cystatin C causes a hereditary form of amyloid angiopathy in which the protein variant (Leu68 to Gln) is deposited in the cerebral arteries, leading to fatal cerebral hemorrhage (4). Cystatin C may have additional clinical applications. For example, it is a good marker for glomerular filtration rate (5).

References

  1. Reed, C.H. (2000) British J. Biomed. Sci. 57:323.
  2. Janowski, R. et al. (2001) Nat. Struct. Biol. 8:316.
  3. Abrahamson, M. (1994) Methods Enzymol. 244:685.
  4. Abrahamson, M. et al. (1992) Hum. Genet. 89:377.
  5. Laterza, O.F. et al. (2002) Clin. Chem. 48:699.

Alternate Names

ARMD11, CST3, Gamma-trace, Neuroendocrine basic polypeptide, Post-gamma-globulin

Entrez Gene IDs

1471 (Human); 13010 (Mouse); 25307 (Rat)

Gene Symbol

CST3

UniProt

Additional Cystatin C Products

Product Documents for Human Cystatin C Antibody

Certificate of Analysis

To download a Certificate of Analysis, please enter a lot number in the search box below.

Note: Certificate of Analysis not available for kit components.

Product Specific Notices for Human Cystatin C Antibody

For research use only

Loading...
Loading...
Loading...
Loading...
Loading...