Skip to main content

Key Product Details

Species Reactivity

Validated:

Human

Cited:

Human, Primate - Macaca mulatta (Rhesus Macaque)

Applications

Validated:

Western Blot, Neutralization, Immunocytochemistry

Cited:

Immunohistochemistry, Immunohistochemistry-Paraffin, Immunohistochemistry-Frozen, Flow Cytometry, Immunocytochemistry, ELISA Development

Label

Unconjugated

Antibody Source

Polyclonal Goat IgG

Product Specifications

Immunogen

E. coli-derived recombinant human CXCL9/MIG
Thr23-Thr125
Accession # Q07325

Specificity

Detects human CXCL9/MIG in direct ELISAs and Western blots. In direct ELISAs and Western blots, less than 10% cross-reactivity with recombinant mouse CXCL9 (non-reducing conditions) is observed.

Clonality

Polyclonal

Host

Goat

Isotype

IgG

Endotoxin Level

<0.10 EU per 1 μg of the antibody by the LAL method.

Scientific Data Images for Human CXCL9/MIG Antibody

Chemotaxis Induced by CXCL9/MIG and Neutral-ization by Human CXCL9/ MIG Antibody.

Chemotaxis Induced by CXCL9/MIG and Neutral-ization by Human CXCL9/ MIG Antibody.

Recombinant Human CXCL9/ MIG (392-MG) chemo-attracts the BaF3 mouse pro-B cell line transfected with mouse CXCR3 in a dose-dependent manner (orange line). The amount of cells that migrated through to the lower chemotaxis chamber was measured by Resazurin (AR002). Chemotaxis elicited by Recombinant Human CXCL9/ MIG (1 µg/mL) is neutralized (green line) by increasing concentrations of Goat Anti-Human CXCL9/MIG Antigen Affinity-purified Polyclonal Antibody (Catalog # AF392). The ND50 is typically 5-40 µg/mL.
CXCL9/MIG antibody in THP-1 Human Cell Line by Immunocytochemistry (ICC).

CXCL9/MIG in THP‑1 Human Cell Line.

CXCL9/MIG was detected in immersion fixed THP-1 human acute monocytic leukemia cell line stimulated with IFN-gamma using Goat Anti-Human CXCL9/MIG Antigen Affinity-purified Polyclonal Antibody (Catalog # AF392) at 10 µg/mL for 3 hours at room temperature. Cells were stained using the Northern-Lights™ 557-conjugated Anti-Goat IgG Secondary Antibody (red; Catalog # NL001) and counter-stained with DAPI (blue). View our protocol for Fluorescent ICC Staining of Cells on Coverslips.
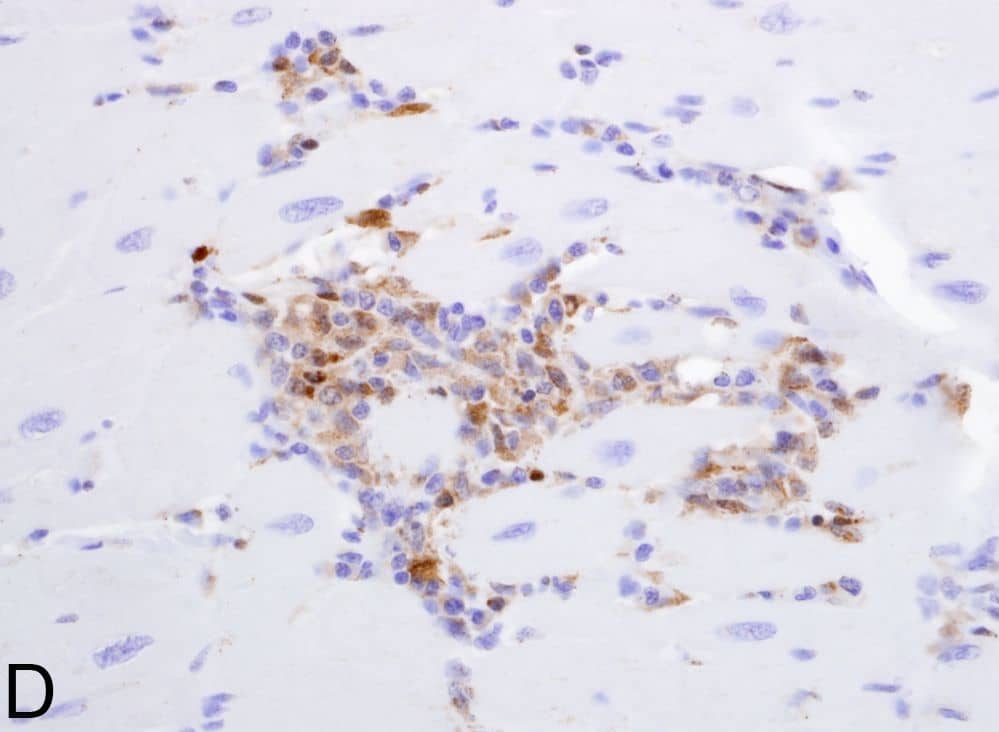
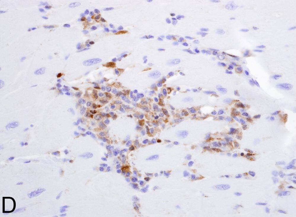
Detection of Human CXCL9/MIG by Immunohistochemistry

Detection of Human CXCL9/MIG by Immunohistochemistry

CD8+ T- and CD20+ B-lymphocytes are not localized within inflammatory foci.Immunohistochemistry using anti-CD20 identified a few B-lymphocytes in the inflammatory foci (arrows) (A). In contrast, no CD8+ T-lymphocytes are localized using anti-CD8 antibody (B) (400X). Immunohistrochemistry using anti-pro-IL-18 (C) or anti-CXCL9 (D) reveals the expression of these molecules on mononuclear cells within inflammatory foci (200X). Image collected and cropped by CiteAb from the following open publication (https://dx.plos.org/10.1371/journal.pone.0014429), licensed under a CC-BY license. Not internally tested by R&D Systems.

Applications for Human CXCL9/MIG Antibody

Application
Recommended Usage

Immunocytochemistry

5-15 µg/mL
Sample: Immersion fixed human peripheral blood mononuclear cells treated with PMA and calcium ionomycin, and THP-1 human acute monocytic leukemia cell line stimulated with IFN-gamma

Western Blot

0.1 µg/mL
Sample: Recombinant Human CXCL9/MIG (Catalog # 392-MG)

Neutralization

Measured by its ability to neutralize CXCL9/MIG-induced chemotaxis in the BaF3 mouse pro‑B cell line transfected with mouse CXCR3. The Neutralization Dose (ND50) is typically 5-40 µg/mL in the presence of 1 μg/mL Recombinant Human CXCL9/MIG.

Formulation, Preparation, and Storage

Purification

Antigen Affinity-purified

Reconstitution

Reconstitute at 0.2 mg/mL in sterile PBS. For liquid material, refer to CoA for concentration.

Reconstitution Buffer Available:
Size / Price
Qty
Loading...

Formulation

Lyophilized from a 0.2 μm filtered solution in PBS with Trehalose. *Small pack size (SP) is supplied either lyophilized or as a 0.2 µm filtered solution in PBS.

Shipping

Lyophilized product is shipped at ambient temperature. Liquid small pack size (-SP) is shipped with polar packs. Upon receipt, store immediately at the temperature recommended below.

Stability & Storage

Use a manual defrost freezer and avoid repeated freeze-thaw cycles.
  • 12 months from date of receipt, -20 to -70 °C as supplied.
  • 1 month, 2 to 8 °C under sterile conditions after reconstitution.
  • 6 months, -20 to -70 °C under sterile conditions after reconstitution.

Background: CXCL9/MIG

CXCL9, a member of the alpha subfamily of chemokines that lack the ELR domain, was initially identified as a lymphokine-activated gene in mouse macrophages. Human CXCL9 was subsequently cloned using mouse MIG cDNA as a probe. The CXCL9 gene is induced in macrophages and in primary glial cells of the central nervous system specifically in response to IFN-gamma. CXCL9 has been shown to be a chemoattractant for activated T-lymphocytes and TIL but not for neutrophils or monocytes. The human CXCL9 cDNA encodes a 125 amino acid residue precursor protein with a 22 amino acid residue signal peptide that is cleaved to yield a 103 amino acid residue mature protein. CXCL9 has an extended carboxy-terminus containing greater than 50% basic amino acid residues and is larger than most other chemokines. The carboxy-terminal residues of CXCL9 are prone to proteolytic cleavage resulting in size heterogeneity of natural and recombinant CXCL9. CXCL9 with large carboxy-terminal deletions have been shown to have diminished activity in the calcium flux assay. A chemokine receptor (CXCR3) specific for CXCL9 and IP-10 has been cloned and shown to be highly expressed in IL-2-activated T-lymphocytes. The E. coli-expressed CXCL9 preparations produced at R&D Systems have been shown to contain greater than 80% full length CXCL9.

References

  1. Loetscher, M. et al. (1996) J. Exp. Med. 184:963.
  2. Liao, F. et al. (1995) J. Exp. Med. 182:1301.
  3. Vanguri, P. (1995) J. Neuroimmunol. 56:35.

Alternate Names

MIG

Entrez Gene IDs

4283 (Human); 17329 (Mouse); 246759 (Rat)

Gene Symbol

CXCL9

UniProt

Additional CXCL9/MIG Products

Product Documents for Human CXCL9/MIG Antibody

Certificate of Analysis

To download a Certificate of Analysis, please enter a lot number in the search box below.

Note: Certificate of Analysis not available for kit components.

Product Specific Notices for Human CXCL9/MIG Antibody

For research use only

Loading...
Loading...
Loading...
Loading...