Skip to main content

Key Product Details

Species Reactivity

Human

Applications

Immunohistochemistry, Western Blot

Label

Unconjugated

Antibody Source

Monoclonal Mouse IgG2B Clone # 395520

Product Specifications

Immunogen

Mouse myeloma cell line NS0-derived human CTRP1/C1qTNF1
Arg26-Pro281
Accession # Q9BXJ1

Specificity

Detects human CTRP1/C1qTNF1 in direct ELISAs.

Clonality

Monoclonal

Host

Mouse

Isotype

IgG2B

Scientific Data Images for Human CTRP1/C1qTNF1 Antibody

Detection of Human CTRP1/C1qTNF1 antibody by Western Blot.

Detection of Human CTRP1/C1qTNF1 by Western Blot.

Western blot shows lysates of human heart (atrium) tissue. PVDF membrane was probed with 2 µg/mL of Mouse Anti-Human CTRP1/C1qTNF1 Monoclonal Antibody (Catalog # MAB10445) followed by HRP-conjugated Anti-Mouse IgG Secondary Antibody (Catalog # HAF018). A specific band was detected for CTRP1/C1qTNF1 at approximately 35 kDa (as indicated). This experiment was conducted under reducing conditions and using Immunoblot Buffer Group 1.
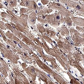
CTRP1/C1qTNF1 antibody in Human Heart by Immunohistochemistry (IHC-P).

CTRP1/C1qTNF1 in Human Heart.

CTRP1/C1qTNF1 was detected in immersion fixed paraffin-embedded sections of human heart using Mouse Anti-Human CTRP1/C1qTNF1 Monoclonal Antibody (Catalog # MAB10445) at 1 µg/mL for 1 hour at room temperature followed by incubation with the Anti-Mouse IgG VisUCyte™ HRP Polymer Antibody (Catalog # VC001). Before incubation with the primary antibody, tissue was subjected to heat-induced epitope retrieval using Antigen Retrieval Reagent-Basic (Catalog # CTS013). Tissue was stained using DAB (brown) and counterstained with hematoxylin (blue). Specific staining was localized to sarcoplasm in cardiomyocytes. View our protocol for IHC Staining with VisUCyte HRP Polymer Detection Reagents.

Applications for Human CTRP1/C1qTNF1 Antibody

Application
Recommended Usage

Immunohistochemistry

1-25 µg/mL
Sample: Immersion fixed paraffin-embedded sections of human heart

Western Blot

2 µg/mL
Sample: Human heart (atrium) tissue

Formulation, Preparation, and Storage

Purification

Protein A or G purified from hybridoma culture supernatant

Reconstitution

Reconstitute at 0.5 mg/mL in sterile PBS. For liquid material, refer to CoA for concentration.

Reconstitution Buffer Available:
Size / Price
Qty
Loading...

Formulation

Lyophilized from a 0.2 μm filtered solution in PBS with Trehalose. *Small pack size (SP) is supplied either lyophilized or as a 0.2 µm filtered solution in PBS.

Shipping

Lyophilized product is shipped at ambient temperature. Liquid small pack size (-SP) is shipped with polar packs. Upon receipt, store immediately at the temperature recommended below.

Stability & Storage

Use a manual defrost freezer and avoid repeated freeze-thaw cycles.
  • 12 months from date of receipt, -20 to -70 °C as supplied.
  • 1 month, 2 to 8 °C under sterile conditions after reconstitution.
  • 6 months, -20 to -70 °C under sterile conditions after reconstitution.

Background: CTRP1/C1qTNF1

C1qTNF1 (CTRP1) is an approximately 35 kDa member of the C1q family of secreted proteins and plays a role in energy metabolism and inflammation (1, 2). C1qTNF1 contains a collagen-like region and one C1q-like domain (3). Mature human C1qTNF1 shares 80% aa sequence identity with mouse and rat C1qTNF1. Circulating levels of C1qTNF1 are elevated in obesity, hypertension, and diabetes but can be decreased in the serum of diet-induced obese mice (4-6). C1qTNF1 expression is up-regulated in atherosclerotic plaques or adipose tissue by oxidized LDL or inflammatory cytokines (3, 7, 8). In turn, it induces the expression of inflammatory cytokines (7, 9) and the up-reglation of adhesion proteins on vascular endothelial cells (8). Systemically administered C1qTNF1, in contrast, can limit tissue damage following myocardial infarction (9). In skeletal muscle, C1qTNF1 promotes fatty acid oxidation, energy expenditure, insulin sensitivity, and glucose uptake and glycolysis (6, 10). It also induces the proliferation of immature chondrocytes (11) and aldosterone synthesis in the adrenal cortex (4). R&D Systems in-house testing indicates that C1qTNF1 binds to BAI3, consistent with the reported interactions between BAI3 and C1qL proteins (12).

References

  1. Grebrehiwet, B. et al. (2012) Front. Immunol. 5:3.
  2. Seldin, M.M. et al. (2014) Rev. Endocr. Metab. Disord. 15:111.
  3. Kim, K.-Y. et al. (2006) FEBS Lett. 580:3953.
  4. Jeon, J.H. et al. (2008) FASEB J. 22:1502.
  5. Xin, Y. et al. (2014) Endocr. J. 61:841.
  6. Peterson, J. M. et al. (2012) J. Biol. Chem. 287:1576.
  7. Wang, X.Q. et al. (2016) Atherosclerosis 250:38.
  8. Lu, L. et al. (2016) Eur. Heart J. 37:1762.
  9. Yuasa, D. et al. (2016) FASEB J. 30:1065.
  10. Han, S. et al. (2016) J. Nutr. Biochem. 27:43.
  11. Akiyama, H. et al. (2013) Mol. Cell. Endocrinol. 369:63.
  12. Bolliger, M.F. et al. (2011) Proc. Natl. Acad. Sci. USA 108:2534.

Long Name

C1q And Tumor Necrosis Factor Related Protein 1

Alternate Names

C1qTNF1, ZSIG37

Entrez Gene IDs

114897 (Human); 56745 (Mouse); 303701 (Rat)

Gene Symbol

C1QTNF1

UniProt

Additional CTRP1/C1qTNF1 Products

Product Documents for Human CTRP1/C1qTNF1 Antibody

Certificate of Analysis

To download a Certificate of Analysis, please enter a lot number in the search box below.

Note: Certificate of Analysis not available for kit components.

Product Specific Notices for Human CTRP1/C1qTNF1 Antibody

For research use only

Loading...
Loading...
Loading...
Loading...