Skip to main content

Key Product Details

Species Reactivity

Validated:

Human

Cited:

Human, Mouse

Applications

Validated:

Immunohistochemistry

Cited:

Immunohistochemistry, Western Blot, Bioassay, ELISA Development

Label

Unconjugated

Antibody Source

Monoclonal Mouse IgG1 Clone # 88430

Product Specifications

Immunogen

E. coli-derived recombinant human CTGF
Glu247-Ala349
Accession # NP_001892.1

Specificity

Detects human CTGF C-teriminal peptide in direct ELISAs. Does not cross-react with recombinant human (rh) LDGF, rhNOV, rhPDGF, rhPlGF, rhVEGF206, rhVEGF-B186, rhVEGF-C, rhVEGF-D, or rhWISP-1.

Clonality

Monoclonal

Host

Mouse

Isotype

IgG1

Scientific Data Images for Human CTGF/CCN2 C-Terminus Antibody

CTGF/CCN2 antibody in Human Breast Cancer Tissue by Immunohistochemistry (IHC-P).

CTGF/CCN2 in Human Breast Cancer Tissue.

CTGF/CCN2 was detected in immersion fixed paraffin-embedded sections of human breast cancer tissue using 25 µg/mL Human CTGF/CCN2 C-Terminus Monoclonal Antibody (Catalog # MAB660) overnight at 4 °C. Tissue was stained with the Anti-Mouse HRP-DAB Cell & Tissue Staining Kit (brown; Catalog # CTS002) and counterstained with hematoxylin (blue). View our protocol for Chromogenic IHC Staining of Paraffin-embedded Tissue Sections.
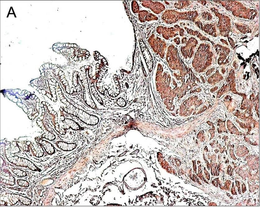
Detection of Human CTGF/CCN2 by Immunohistochemistry

Detection of Human CTGF/CCN2 by Immunohistochemistry

Immunostaining of neuroendocrine tumors. Representative photomicrographs demonstrating anti-connective tissue growth factor (CCN2) (panel A) immunostaining of gut carcinoid tumor tissue. CCN2 immunoreactivity was seen in cells corresponding to chromogranin A-positive tumor cells and gut smooth muscle (denoted by arrows in panels B and C, respectively). All sections were counterstained with hematoxylin. Magnification ×50. Image collected and cropped by CiteAb from the following publication (https://pubmed.ncbi.nlm.nih.gov/20053285), licensed under a CC-BY license. Not internally tested by R&D Systems.

Applications for Human CTGF/CCN2 C-Terminus Antibody

Application
Recommended Usage

Immunohistochemistry

8-25 µg/mL
Sample: Immersion fixed paraffin-embedded sections of human breast cancer tissue

Reviewed Applications

Read 4 reviews rated 4.3 using MAB660 in the following applications:

Formulation, Preparation, and Storage

Purification

Protein A or G purified from ascites

Reconstitution

Reconstitute at 0.5 mg/mL in sterile PBS. For liquid material, refer to CoA for concentration.

Reconstitution Buffer Available:
Size / Price
Qty
Loading...

Formulation

Lyophilized from a 0.2 μm filtered solution in PBS with Trehalose. *Small pack size (SP) is supplied either lyophilized or as a 0.2 µm filtered solution in PBS.

Shipping

Lyophilized product is shipped at ambient temperature. Liquid small pack size (-SP) is shipped with polar packs. Upon receipt, store immediately at the temperature recommended below.

Stability & Storage

Use a manual defrost freezer and avoid repeated freeze-thaw cycles.
  • 12 months from date of receipt, -20 to -70 °C as supplied.
  • 1 month, 2 to 8 °C under sterile conditions after reconstitution.
  • 6 months, -20 to -70 °C under sterile conditions after reconstitution.

Background: CTGF/CCN2

CTGF belongs to the CCN (CYR61/CTGF/NOV) family of secreted proteins that share a common multimodular organization. Each protein contains IGF-binding protein domain, a von Willebrand factor type C domain, a thrombospondin type I domain, and a cysteine knot domain. The multimodular CTGF has the ability to bind multiple ligands and has numerous effects on development, differentation, and disease. The C-terminal cysteine knot motif contains the heparin and low density lipoprotein receptor (LDLR) binding sites that contributes to the adhesive and mitogenic properties of CTGF.

Long Name

Connective Tissue Growth Factor

Alternate Names

CCN2, CTGRP, Fisp12, HCS24, IGFBP-8, NOV2

Entrez Gene IDs

1490 (Human); 14219 (Mouse); 64032 (Rat)

Gene Symbol

CCN2

UniProt

Additional CTGF/CCN2 Products

Product Documents for Human CTGF/CCN2 C-Terminus Antibody

Certificate of Analysis

To download a Certificate of Analysis, please enter a lot number in the search box below.

Note: Certificate of Analysis not available for kit components.

Product Specific Notices for Human CTGF/CCN2 C-Terminus Antibody

For research use only

Loading...
Loading...
Loading...
Loading...