Skip to main content

Key Product Details

Species Reactivity

Human

Applications

Immunohistochemistry, Immunocytochemistry

Label

Unconjugated

Antibody Source

Monoclonal Mouse IgG2B Clone # 978015

Product Specifications

Immunogen

Synthetic peptide Human CRBN
Accession # Q96SW2

Specificity

Detects human CRBN in immunocytochemistry and immunohistochemistry.

Clonality

Monoclonal

Host

Mouse

Isotype

IgG2B

Scientific Data Images for Human CRBN Antibody

CRBN antibody in RAW 264 by Immunocytochemistry (ICC).7 Mouse Cell Line by Immunocytochemistry (ICC).

CRBN in RAW 264.7 Mouse Cell Line.

CRBN was detected in immersion fixed RAW 264.7 mouse monocyte/macrophage cell line using Mouse Anti-Human CRBN Polyclonal Antibody (Catalog # MAB9574) at 1 µg/mL for 3 hours at room temperature. Cells were stained using the NorthernLights™ 557-conjugated Anti-Mouse IgG Secondary Antibody (red; Catalog # NL007) and counterstained with DAPI (blue). Specific staining was localized to cytoplasm. View our protocol for Fluorescent ICC Staining of Non-adherent Cells.
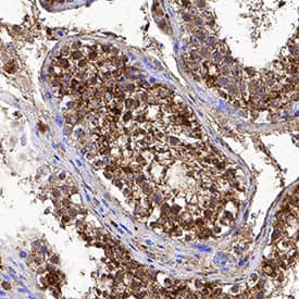
CRBN antibody in Human Testis by Immunohistochemistry (IHC-P).

CRBN in Human Testis.

CRBN was detected in immersion fixed paraffin-embedded sections of human testis using Mouse Anti-Human CRBN Polyclonal Antibody (Catalog # MAB9574) at 5 µg/mL for 1 hour at room temperature followed by incubation with the Anti-Mouse IgG VisUCyte™ HRP Polymer Antibody (Catalog # VC001). Tissue was stained using DAB (brown) and counterstained with hematoxylin (blue). Specific staining was localized to cytoplasm. View our protocol for IHC Staining with VisUCyte HRP Polymer Detection Reagents.

Applications for Human CRBN Antibody

Application
Recommended Usage

Immunocytochemistry

5-25 µg/mL
Sample: Immersion fixed RAW 264.7 mouse monocyte/macrophage cell line

Immunohistochemistry

1-25 µg/mL
Sample: Immersion fixed paraffin-embedded sections of human testis

Reviewed Applications

Read 1 review rated 5 using MAB9574 in the following applications:

Formulation, Preparation, and Storage

Purification

Protein A or G purified from hybridoma culture supernatant

Reconstitution

Reconstitute at 0.5 mg/mL in sterile PBS. For liquid material, refer to CoA for concentration.

Reconstitution Buffer Available:
Size / Price
Qty
Loading...

Formulation

Lyophilized from a 0.2 μm filtered solution in PBS with Trehalose. *Small pack size (SP) is supplied either lyophilized or as a 0.2 µm filtered solution in PBS.

Shipping

Lyophilized product is shipped at ambient temperature. Liquid small pack size (-SP) is shipped with polar packs. Upon receipt, store immediately at the temperature recommended below.

Stability & Storage

Use a manual defrost freezer and avoid repeated freeze-thaw cycles.
  • 12 months from date of receipt, -20 to -70 °C as supplied.
  • 1 month, 2 to 8 °C under sterile conditions after reconstitution.
  • 6 months, -20 to -70 °C under sterile conditions after reconstitution.

Background: CRBN

Cerbeblon  (CRBN) is a substrate recognition component of an E3 protein ligase complex which mediates ubiquitination and proteasomal degradation of target proteins. In embryonic development, degradation of regulatory proteins is required for normal limb outgrowth. Thalidomide, a teratogenic drug prescribed to pregnant women in the 1950s, binds to CRBN in the E3 protein ligase complex. Despite its teratogenic effect, CRBN is used to treat multiple myeloma and complications of leprosy. Widely expressed, CRBN may play a role in memory and learning by regulating assembly and surface expression of large-conductance calcium-activated potassium channels in hippocampal neurons. Mutations in the CRBN gene is linked to the Mental Retardation, Autosomal Recessive2a (MR2A) form of mental retardation.

Long Name

Cereblon

Alternate Names

Cereblon, MRT2, MRT2A, Protein X 0001

Entrez Gene IDs

51185 (Human); 58799 (Mouse); 297498 (Rat)

Gene Symbol

CRBN

UniProt

Additional CRBN Products

Product Documents for Human CRBN Antibody

Certificate of Analysis

To download a Certificate of Analysis, please enter a lot number in the search box below.

Note: Certificate of Analysis not available for kit components.

Product Specific Notices for Human CRBN Antibody

For research use only

Loading...
Loading...
Loading...
Loading...