Skip to main content

Key Product Details

Species Reactivity

Human

Applications

Multiplex Immunofluorescence, Immunohistochemistry, Western Blot, COMET

Label

Unconjugated

Antibody Source

Recombinant Monoclonal Rabbit IgG Clone # 3158C

Product Specifications

Immunogen

Chinese Hamster Ovary-Derived recombinant human COL-1A1
Gln23-Lys277, Gly1094-Leu1464
Accession # P02452

Specificity

Detects recombinant human COL1 alpha1 protein in Direct ELISA.

Clonality

Monoclonal

Host

Rabbit

Isotype

IgG

Scientific Data Images for Human Collagen I  alpha1 Antibody

Detection of Col1A1 in Human Colon Cancer via seqIF™ staining on COMET™​

Col1A1 was detected in immersion fixed paraffin-embedded sections of human Colon Cancer using Rabbit Anti-Human Col1A1, Monoclonal Antibody (Catalog # MAB) at 20ug/mL at 37° Celsius for 4 minutes. Before incubation with the primary antibody, tissue underwent an all-in-one dewaxing and antigen retrieval preprocessing using PreTreatment Module (PT Module) and Dewax and HIER Buffer H (pH 9; Epredia Catalog # TA-999-DHBH). Tissue was stained using the Alexa Fluor™ Plus 647 Goat anti-Rabbit IgG Secondary Antibody at 1:200 at 37 ° Celsius for 2 minutes. (Yellow; Lunaphore Catalog # DR647RB) and counterstained with DAPI (blue; Lunaphore Catalog # DR100). Specific staining was localized to the cytoplasm. Protocol available in COMET™ Panel Builder.

Detection of Human Collagen I  alpha1 by Western Blot.

Western Blot shows lysates of Saos-2 human osteosarcoma cell line and IMR-90 human lung fibroblast cell line. PVDF membrane was probed with 1 µg/ml of Rabbit Anti-Human Collagen I  alpha1 Monoclonal Antibody (Catalog # MAB11757) followed by HRP-conjugated Anti-Rabbit IgG Secondary Antibody (Catalog # HAF008). A specific band was detected for Collagen I  alpha1 at approximately 220 kDa (as indicated). This experiment was conducted under reducing conditions and using Western Blot Buffer Group 1.

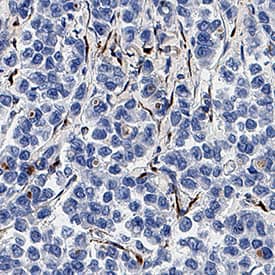
Detection of Collagen I  alpha1 in Human Breast Tumor.

Collagen I  alpha1 was detected in immersion fixed paraffin-embedded sections of human breast tumor using Rabbit Anti-Human Collagen I  alpha1 Monoclonal Antibody (Catalog # MAB11757) at 3 µg/ml overnight at 4 °C. Before incubation with the primary antibody, tissue was subjected to heat-induced epitope retrieval using VisUCyte Antigen Retrieval Reagent-Basic (Catalog # VCTS021). Tissue was stained using the HRP-conjugated Anti-Rabbit IgG Secondary Antibody (Catalog # HAF008) and counterstained with hematoxylin (blue). Specific staining was localized to the cytoplasm. View our protocol for Chromogenic IHC Staining of Paraffin-embedded Tissue Sections.

Applications for Human Collagen I  alpha1 Antibody

Application
Recommended Usage

COMET

Immunohistochemistry

1-10 µg/mL
Sample: Immersion fixed paraffin-embedded sections of human breast tumor, human cervix, human colon cancer, and human colon

Multiplex Immunofluorescence

20 µg/mL
Sample: Immersion fixed paraffin-embedded sections of human Colon Cancer

Western Blot

2 µg/mL
Sample: Saos-2 human osteosarcoma cell line and IMR-90 human lung fibroblast cell line

Formulation, Preparation, and Storage

Purification

Protein A or G purified from hybridoma culture supernatant

Reconstitution

Reconstitute lyophilized material at 0.2 mg/ml in sterile PBS. For liquid material, refer to CoA for concentration.

Reconstitution Buffer Available:
Size / Price
Qty
Loading...

Formulation

Lyophilized from a 0.2 μm filtered solution in PBS with Trehalose.

Shipping

Lyophilized product is shipped at ambient temperature. Liquid small pack size (-SP) is shipped with polar packs. Upon receipt, store immediately at the temperature recommended below.

Stability & Storage

Use a manual defrost freezer and avoid repeated freeze-thaw cycles.
  • 12 months from date of receipt, -20 to -70 °C as supplied.
  • 1 month, 2 to 8 °C under sterile conditions after reconstitution.
  • 6 months, -20 to -70 °C under sterile conditions after reconstitution.

Background: Collagen I alpha 1

Type I collagen is the most abundant structural protein of connective tissues such as skin, bone and tendon. It is synthesized as a procollagen molecule which is characterized by a 300 nm triple helical domain flanked by globular N- and C-terminal propeptides (1). The triple helical domain contains Gly-Xaa-Yaa triplets where Xaa and Yaa are frequently proline and hydroxyproline, respectively. The non-helical propeptides are removed by procollagen N- and C-proteinase activities so that the mature triple helices can self-assemble into collagen fibrils that provide tensile strength to tissues (1). Type I collagen is a heterotrimer that consists of two alpha1(I) chains and one alpha2(I) chain, although homotrimers consisting of three identical alpha1(I) chains have also been described (2). This recombinant mini pro-alpha 1(I) collagen consists of a shortened alpha1(I) chain with following domain structure from N- to C-terminus: N-propeptide, N‑telopeptide, the 33 most N-terminal Gly-Xaa-Yaa repeats, the 33 most C-terminal Gly-Xaa-Yaa repeats, C-telopeptide and C-propeptide. The preparation contains a mixture of the full-length molecule, pN collagen I( alpha1) and the C-terminal propeptide. This truncated pro-alpha 1(I) collagen is a substrate for procollagen N-proteinase and procollagen C-proteinase.

References

  1. Canty, E.G. et al. (2005) J. Cell Sci. 118:1341.
  2. Han, S. et al. (2008) J. Mol. Biol. 383:122.

Alternate Names

COL1A1, OI4

Entrez Gene IDs

1277 (Human); 12842 (Mouse); 29393 (Rat)

Gene Symbol

COL1A1

UniProt

Additional Collagen I alpha 1 Products

Product Documents for Human Collagen I  alpha1 Antibody

Certificate of Analysis

To download a Certificate of Analysis, please enter a lot number in the search box below.

Note: Certificate of Analysis not available for kit components.

Product Specific Notices for Human Collagen I  alpha1 Antibody

For research use only

Loading...
Loading...
Loading...
Loading...