Skip to main content

Key Product Details

Species Reactivity

Validated:

Human

Cited:

Human

Applications

Validated:

Immunohistochemistry, Western Blot, Flow Cytometry, Immunocytochemistry, CyTOF-ready

Cited:

Flow Cytometry

Label

Unconjugated

Antibody Source

Polyclonal Goat IgG

Product Specifications

Immunogen

Mouse myeloma cell line NS0-derived recombinant human CD69
Gly64-Lys199
Accession # Q07108

Specificity

Detects human CD69 in direct ELISAs and Western blots. In direct ELISAs, less than 15% cross-reactivity with recombinant mouse CD69 is observed.

Clonality

Polyclonal

Host

Goat

Isotype

IgG

Scientific Data Images for Human CD69 Antibody

CD69 antibody in Human PBMCs by Immunocytochemistry (ICC).

CD69 in Human PBMCs.

CD69 was detected in immersion fixed human peripheral blood mononuclear cells (PBMCs) using 10 µg/mL Goat Anti-Human CD69 Antigen Affinity-purified Polyclonal Antibody (Catalog # AF2359) for 3 hours at room temperature. Cells were stained with the NorthernLights™ 557-conjugated Anti-Goat IgG Secondary Antibody (red; NL001) and counterstained with DAPI (blue). View our protocol for Fluorescent ICC Staining of Non-adherent Cells.

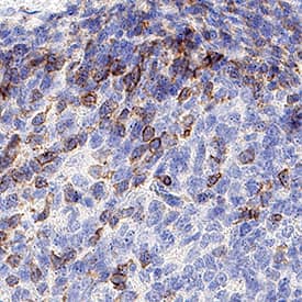
Detection of CD69 in Human Tonsil.

CD69 was detected in immersion fixed paraffin-embedded sections of Human Tonsil using Goat Anti-Human CD69 Antigen Affinity-purified Polyclonal Antibody (Catalog # AF2359) at 3 µg/mL for 1 hour at room temperature followed by incubation with the Anti-Goat IgG VisUCyte™ HRP Polymer Antibody (Catalog # VC004). Before incubation with the primary antibody, tissue was subjected to heat-induced epitope retrieval using VisUCyte Antigen Retrieval Reagent-Basic (Catalog # VCTS021). Tissue was stained using DAB (brown) and counterstained with hematoxylin (blue). Specific staining was localized to cell membrane in lymphocytes. View our protocol for IHC Staining with VisUCyte HRP Polymer Detection Reagents.

Applications for Human CD69 Antibody

Application
Recommended Usage

CyTOF-ready

Ready to be labeled using established conjugation methods. No BSA or other carrier proteins that could interfere with conjugation.

Flow Cytometry

2.5 µg/106 cells
Sample: Human peripheral blood mononuclear cells treated with PHA

Immunocytochemistry

5-15 µg/mL
Sample: Immersion fixed human peripheral blood mononuclear cells (PBMCs)

Immunohistochemistry

3-15 µg/mL
Sample: Immersion fixed paraffin-embedded sections of Human Tonsil

Western Blot

0.1 µg/mL
Sample: Recombinant Human CD69

Reviewed Applications

Read 1 review rated 4 using AF2359 in the following applications:

Formulation, Preparation, and Storage

Purification

Antigen Affinity-purified

Reconstitution

Reconstitute at 0.2 mg/mL in sterile PBS. For liquid material, refer to CoA for concentration.

Reconstitution Buffer Available:
Size / Price
Qty
Loading...

Formulation

Lyophilized from a 0.2 μm filtered solution in PBS with Trehalose. *Small pack size (SP) is supplied either lyophilized or as a 0.2 µm filtered solution in PBS.

Shipping

Lyophilized product is shipped at ambient temperature. Liquid small pack size (-SP) is shipped with polar packs. Upon receipt, store immediately at the temperature recommended below.

Stability & Storage

Use a manual defrost freezer and avoid repeated freeze-thaw cycles.
  • 12 months from date of receipt, -20 to -70 °C as supplied.
  • 1 month, 2 to 8 °C under sterile conditions after reconstitution.
  • 6 months, -20 to -70 °C under sterile conditions after reconstitution.

Background: CD69

CD69, also known as Leu 23, AIM, EA-1, and MLR-3, is a type II transmembrane glycoprotein and is expressed on activated T cells, B cells, NK cells, neutrophils and eosinophils, Langerhans cells, and platelets.

Alternate Names

CD69, EA-1, Leu23, MLR-3, p60

Entrez Gene IDs

969 (Human); 12515 (Mouse)

Gene Symbol

CD69

UniProt

Additional CD69 Products

Product Documents for Human CD69 Antibody

Certificate of Analysis

To download a Certificate of Analysis, please enter a lot number in the search box below.

Note: Certificate of Analysis not available for kit components.

Product Specific Notices for Human CD69 Antibody

For research use only

Loading...
Loading...
Loading...
Loading...
Loading...