Skip to main content

Human CD38 Antibody

R&D Systems, part of Bio-Techne | Catalog # MAB2404

R&D Systems, part of Bio-Techne
Catalog #
Availability
Size / Price
Qty
Loading...
MAB2404-100
MAB2404-500
MAB2404-SP

Key Product Details

Species Reactivity

Validated:

Human

Cited:

Human, Xenograft

Applications

Validated:

Immunohistochemistry, Flow Cytometry, Immunocytochemistry, Immunoprecipitation, CyTOF-ready

Cited:

Immunohistochemistry

Label

Unconjugated

Antibody Source

Monoclonal Mouse IgG2A Clone # 240742

Product Specifications

Immunogen

NS0 mouse myeloma cell line transfected with human CD38
Met1-Ile300
Accession # P28907

Specificity

Detects human CD38.

Clonality

Monoclonal

Host

Mouse

Isotype

IgG2A

Scientific Data Images for Human CD38 Antibody

CD38 antibody in Human PBMCs by Immunocytochemistry (ICC).

CD38 in Human PBMCs.

CD38 was detected in immersion fixed human peripheral blood mononuclear cells (PBMCs) using 10 µg/mL Mouse Anti-Human CD38 Monoclonal Antibody (Catalog # MAB2404) for 3 hours at room temperature. Cells were stained with the NorthernLights™ 557-conjugated Anti-Mouse IgG Secondary Antibody (red; NL007) and counterstained with DAPI (blue). View our protocol for Fluorescent ICC Staining of Non-adherent Cells.

Detection of CD38 in Daudi Human Burkitt's Lymphoma Cell Line (positive) and HDLM-2 Human Hodgkin’s Lymphoma Cell Line (negative) Cells .

CD38 was detected in immersion fixed Daudi Human Burkitt's Lymphoma Cell Line (positive) and HDLM-2 Human Hodgkin’s Lymphoma Cell Line (negative) Cells using Mouse Anti-Human CD38 Monoclonal Antibody (Catalog # MAB2404) at 5 µg/mL for 3 hours at room temperature. Cells were stained using the NorthernLights™ 557-conjugated Anti-Mouse IgG Secondary Antibody (red; Catalog # NL007) and counterstained with DAPI (blue). Specific staining was localized to cell surface and cytoplasm. View our protocol for Fluorescent ICC Staining of Non-adherent Cells.

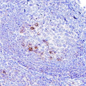
Detection of CD38 in human tonsil.

CD38 was detected in immersion fixed paraffin-embedded sections of human tonsil using Mouse Anti-Human CD38 Monoclonal Antibody (Catalog # MAB2404) at 5 µg/mL for 1 hour at room temperature followed by incubation with the Anti-Mouse IgG VisUCyte™ HRP Polymer Antibody (Catalog # VC001). Before incubation with the primary antibody, tissue was subjected to heat-induced epitope retrieval using VisUCyte Antigen Retrieval Reagent-Basic (Catalog # VCTS021). Tissue was stained using DAB (brown) and counterstained with hematoxylin (blue). Specific staining was localized to cell surface in lymphocytes. View our protocol for IHC Staining with VisUCyte HRP Polymer Detection Reagents.

Applications for Human CD38 Antibody

Application
Recommended Usage

CyTOF-ready

Ready to be labeled using established conjugation methods. No BSA or other carrier proteins that could interfere with conjugation.

Flow Cytometry

0.25 µg/106 cells
Sample: see below

Immunocytochemistry

5-25 µg/mL
Sample: Immersion fixed human peripheral blood mononuclear cells (PBMCs), Daudi Human Burkitt's Lymphoma Cell Line (positive) and HDLM-2 Human Hodgkin's Lymphoma Cell Line (negative) Cells 

Immunohistochemistry

5-25 µg/mL
Sample: Immersion fixed paraffin-embedded sections of human tonsil

Immunoprecipitation

25 µg/mL
Sample: Conditioned cell culture medium spiked with Recombinant Human CD38 (Catalog # 2404‑AC), see our available Western blot detection antibodies

Formulation, Preparation, and Storage

Purification

Protein A or G purified from hybridoma culture supernatant

Reconstitution

Reconstitute at 0.5 mg/mL in sterile PBS. For liquid material, refer to CoA for concentration.

Reconstitution Buffer Available:
Size / Price
Qty
Loading...

Formulation

Lyophilized from a 0.2 μm filtered solution in PBS with Trehalose. See Certificate of Analysis for details.
*Small pack size (-SP) is supplied either lyophilized or as a 0.2 µm filtered solution in PBS.

Shipping

Lyophilized product is shipped at ambient temperature. Liquid small pack size (-SP) is shipped with polar packs. Upon receipt, store immediately at the temperature recommended below.

Stability & Storage

Use a manual defrost freezer and avoid repeated freeze-thaw cycles.
  • 12 months from date of receipt, -20 to -70 °C as supplied.
  • 1 month, 2 to 8 °C under sterile conditions after reconstitution.
  • 6 months, -20 to -70 °C under sterile conditions after reconstitution.

Background: CD38

CD38, also known as ADP-ribosyl cyclase, is a Type II integral membrane protein. The enzyme is able to transform NAD(P)+ into three different products with calcium mobilizing ability, cyclic ADP-ribose, NAADP+, and ADP-ribose (1). CD38 is expressed in B and T lymphocytes, osteoclasts, and in cardiac, pancreatic, liver and kidney cells (2, 3). Through its production of cyclic ADP-ribose, CD38 modulates calcium-mediated signal transduction in many types of cells, including neutrophils and pancreatic beta cells (4, 5).

References

  1. Schuber, F. and F.E. Lund (2004) Curr. Mol. Med. 4:249.
  2. Jackson, D.G. and J.I. Bell (1990) J. Immunol. 144:2811.
  3. Sun, L. et al. (1999) J. Cell Biol. 146:1161.
  4. Partida-Sanchez, S. et al. (2001) Nature Med. 7:1209.
  5. Kato, I. et al. (1995) J. Biol. Chem. 270:30045.

Long Name

Cluster of Differentiation 38

Alternate Names

ADP-ribosyl Cyclase, CD38, Cyclic ADP-ribose Hydrolase

Entrez Gene IDs

952 (Human); 12494 (Mouse); 25668 (Rat); 102126394 (Cynomolgus Monkey)

Gene Symbol

CD38

UniProt

Additional CD38 Products

Product Documents for Human CD38 Antibody

Certificate of Analysis

To download a Certificate of Analysis, please enter a lot number in the search box below.

Note: Certificate of Analysis not available for kit components.

Product Specific Notices for Human CD38 Antibody

For research use only

Loading...
Loading...
Loading...
Loading...
Loading...