Human CD38 Antibody
R&D Systems, part of Bio-Techne | Catalog # MAB24041

Key Product Details
Species Reactivity
Validated:
Cited:
Applications
Validated:
Cited:
Label
Antibody Source
Product Specifications
Immunogen
Met1-Ile300
Accession # P28907
Specificity
Clonality
Host
Isotype
Scientific Data Images for Human CD38 Antibody
Detection of Human CD38 by Western Blot.
Western blot shows lysates of MOLT-4 human acute lymphoblastic leukemia cell line, Raji human Burkitt's lymphoma cell line, RPMI 8226 human multiple myeloma cell line, and CEM human T-lymphoblastoid cell line. PVDF membrane was probed with 2 µg/mL of Mouse Anti-Human CD38 Monoclonal Antibody (Catalog # MAB24041) followed by HRP-conjugated Anti-Mouse IgG Secondary Antibody (HAF018). A specific and diffuse band was detected for CD38 at approximately 45 kDa (as indicated). This experiment was conducted under reducing conditions and using Immunoblot Buffer Group 1.Detection of CD38 in human tonsil.
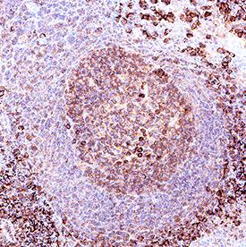
CD38 was detected in immersion fixed paraffin-embedded sections of human tonsil using Mouse Anti-Human CD38 Monoclonal Antibody (Catalog # MAB24041) at 5 µg/mL for 1 hour at room temperature followed by incubation with the Anti-Mouse IgG VisUCyte™ HRP Polymer Antibody (Catalog # VC001). Before incubation with the primary antibody, tissue was subjected to heat-induced epitope retrieval using VisUCyte Antigen Retrieval Reagent-Basic (Catalog # VCTS021). Tissue was stained using DAB (brown) and counterstained with hematoxylin (blue). Specific staining was localized to cell surface in lymphocytes. View our protocol for IHC Staining with VisUCyte HRP Polymer Detection Reagents.Applications for Human CD38 Antibody
Immunohistochemistry
Sample: Immersion fixed paraffin-embedded sections of human tonsil
Immunoprecipitation
Sample: Conditioned cell culture medium spiked with Recombinant Human CD38 (Catalog # 2404‑AC), see our available Western blot detection antibodies
Western Blot
Sample: MOLT‑4 human acute lymphoblastic leukemia cell line, Raji human Burkitt's lymphoma cell line, RPMI 8226 human multiple myeloma cell line, and CEM human T-lymphoblastoid cell line
Formulation, Preparation, and Storage
Purification
Reconstitution
Formulation
Shipping
Stability & Storage
- 12 months from date of receipt, -20 to -70 °C as supplied.
- 1 month, 2 to 8 °C under sterile conditions after reconstitution.
- 6 months, -20 to -70 °C under sterile conditions after reconstitution.
Background: CD38
CD38, also known as ADP-ribosyl cyclase, is a Type II integral membrane protein. The enzyme is able to transform NAD(P)+ into three different products with calcium mobilizing ability, cyclic ADP-ribose, NAADP+, and ADP-ribose (1). CD38 is expressed in B and T lymphocytes, osteoclasts, and in cardiac, pancreatic, liver and kidney cells (2, 3). Through its production of cyclic ADP-ribose, CD38 modulates calcium-mediated signal transduction in many types of cells, including neutrophils and pancreatic beta cells (4, 5).
References
- Schuber, F. and F.E. Lund (2004) Curr. Mol. Med. 4:249.
- Jackson, D.G. and J.I. Bell (1990) J. Immunol. 144:2811.
- Sun, L. et al. (1999) J. Cell Biol. 146:1161.
- Partida-Sanchez, S. et al. (2001) Nature Med. 7:1209.
- Kato, I. et al. (1995) J. Biol. Chem. 270:30045.
Long Name
Alternate Names
Gene Symbol
UniProt
Additional CD38 Products
Product Documents for Human CD38 Antibody
Product Specific Notices for Human CD38 Antibody
For research use only