Skip to main content

Key Product Details

Validated by

Knockout/Knockdown

Species Reactivity

Validated:

Human

Cited:

Human, Mouse, Bovine, Primate, Primate - Macaca fuscata (Japanese Macaque), Primate - Macaca mulatta (Rhesus Macaque), Rabbit, Xenograft

Applications

Validated:

Knockout Validated, Immunohistochemistry, Western Blot, Immunocytochemistry, Simple Western

Cited:

Immunohistochemistry, Immunohistochemistry-Paraffin, Immunohistochemistry-Frozen, Western Blot, Flow Cytometry, Immunocytochemistry, ELISA Capture, FACS, Flourescense Microscopy

Label

Unconjugated

Antibody Source

Polyclonal Sheep IgG

Product Specifications

Immunogen

Chinese hamster ovary cell line CHO-derived recombinant human CD31
Extracellular domain

Specificity

Detects human CD31 in direct ELISAs and Western blots. In direct ELISAs, less than 5% cross-reactivity with recombinant mouse CD31 is observed.

Clonality

Polyclonal

Host

Sheep

Isotype

IgG

Scientific Data Images for Human CD31/PECAM-1 Antibody

Detection of Human CD31/PECAM-1 antibody by Western Blot.

Detection of Human CD31/PECAM‑1 by Western Blot.

Western blot shows lysates of HepG2 human hepatocellular carcinoma cell line. PVDF membrane was probed with 1 µg/mL of Sheep Anti-Human CD31/PECAM-1 Antigen Affinity-purified Polyclonal Antibody (Catalog # AF806) followed by HRP-conjugated Anti-Sheep IgG Secondary Antibody (HAF016). A specific band was detected for CD31/PECAM-1 at approximately 130 kDa (as indicated). This experiment was conducted under reducing conditions and using Immunoblot Buffer Group 1.
CD31/PECAM-1 antibody in HUVECs by Immunocytochemistry (ICC).

CD31/PECAM‑1 in HUVECs.

CD31/PECAM-1 was detected in immersion fixed HUVEC human umbilical vein endothelial cells using 10 µg/mL Sheep Anti-Human CD31/PECAM-1 Antigen Affinity-purified Polyclonal Antibody (Catalog # AF806) for 3 hours at room temperature. Cells were stained with the NorthernLights™ 557-conjugated Anti-Sheep IgG Secondary Antibody (red; Catalog # NL010) and counterstained with DAPI (blue). View our protocol for Fluorescent ICC Staining of Cells on Coverslips.
Detection of Human CD31/PECAM-1 antibody by Simple WesternTM.

Detection of Human CD31/PECAM‑1 by Simple WesternTM.

Simple Western lane view shows lysates of Jurkat human acute T cell leukemia cell line and HepG2 human hepatocellular carcinoma cell line, loaded at 0.2 mg/mL. A specific band was detected for CD31/PECAM-1 at approximately 173-186 kDa (as indicated) using 10 µg/mL of Sheep Anti-Human CD31/PECAM-1 Antigen Affinity-purified Polyclonal Antibody (Catalog # AF806) followed by 1:50 dilution of HRP-conjugated Anti-Sheep IgG Secondary Antibody (HAF016). This experiment was conducted under reducing conditions and using the 12-230 kDa separation system.

Applications for Human CD31/PECAM-1 Antibody

Application
Recommended Usage

Immunocytochemistry

5-15 µg/mL
Sample: Immersion fixed HUVEC human umbilical vein endothelial cells

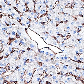
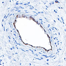
Immunohistochemistry

5-25 µg/mL
Sample: Immersion fixed paraffin-embedded sections of human liver

Knockout Validated

CD31/PECAM‑1 was detected in immersion fixed THP‑1 human acute monocytic leukemia cell line but is not detected in CD31/PECAM‑1 knockout (KO) THP‑1 human cell line.

Simple Western

10 µg/mL
Sample: Jurkat human acute T cell leukemia cell line and HepG2 human hepatocellular carcinoma cell line

Western Blot

1 µg/mL
Sample: HepG2 human hepatocellular carcinoma cell line

Reviewed Applications

Read 3 reviews rated 4.7 using AF806 in the following applications:

Formulation, Preparation, and Storage

Purification

Antigen Affinity-purified

Reconstitution

Reconstitute at 0.2 mg/mL in sterile PBS. For liquid material, refer to CoA for concentration.

Reconstitution Buffer Available:
Size / Price
Qty
Loading...

Formulation

Lyophilized from a 0.2 μm filtered solution in PBS with Trehalose. *Small pack size (SP) is supplied either lyophilized or as a 0.2 µm filtered solution in PBS.

Shipping

Lyophilized product is shipped at ambient temperature. Liquid small pack size (-SP) is shipped with polar packs. Upon receipt, store immediately at the temperature recommended below.

Stability & Storage

Use a manual defrost freezer and avoid repeated freeze-thaw cycles.
  • 12 months from date of receipt, -20 to -70 °C as supplied.
  • 1 month, 2 to 8 °C under sterile conditions after reconstitution.
  • 6 months, -20 to -70 °C under sterile conditions after reconstitution.

Background: CD31/PECAM-1

The CD31 adhesion molecule, also known as PECAM-1, is expressed in large amounts on endothelial cells at intercellular junctions and on T cell subsets, and to a lesser extent on platelets and most other leukocytes such as monocytes and neutrophils. CD31 binds to itself homotypically, and also to the leukocyte integrin alphav beta3 heterotypically. CD31 is required for the transendothelial migration of leukocytes through intercellular junctions of vascular endothelial cells. CD31 has been found in human plasma, and the presence of this circulating isoform is suggested to modulate the transendothelial migration of leukocytes.

Long Name

Platelet Endothelial Cell Adhesion Molecule 1

Alternate Names

CD31, EndoCAM, PECA1, PECAM-1, PECAM1

Entrez Gene IDs

5175 (Human); 18613 (Mouse); 29583 (Rat)

Gene Symbol

PECAM1

Additional CD31/PECAM-1 Products

Product Documents for Human CD31/PECAM-1 Antibody

Certificate of Analysis

To download a Certificate of Analysis, please enter a lot number in the search box below.

Note: Certificate of Analysis not available for kit components.

Product Specific Notices for Human CD31/PECAM-1 Antibody

For research use only

Loading...
Loading...
Loading...
Loading...