Skip to main content

Human CD11c Antibody

R&D Systems, part of Bio-Techne | Catalog # MAB17771

R&D Systems, part of Bio-Techne

Key Product Details

Species Reactivity

Validated:

Human

Cited:

Human

Applications

Validated:

Immunohistochemistry, Western Blot

Cited:

Western Blot

Label

Unconjugated

Antibody Source

Monoclonal Mouse IgG1 Clone # 538207

Product Specifications

Immunogen

Chinese hamster ovary cell line CHO-derived recombinant human CD11c
aa 20-1107
Accession # P20702

Specificity

Detects human CD11c in direct ELISAs and Western blots. In direct ELISAs, no cross-reactivity with recombinant human (rh) Integrin  alpha1, 2, 4, 5, 6, 8, 9, 10, 11, L, M, rhIntegrin alpha2b/ beta3, alpha3/ beta1, alpha6X1/ beta4, alpha7X2/ beta1, alphaD/ beta2, alphaE/ beta7, alphaV/ beta6, recombinant mouse Integrin alphaX, and alpha7X2 is observed.

Clonality

Monoclonal

Host

Mouse

Isotype

IgG1

Scientific Data Images for Human CD11c Antibody

Detection of Human CD11c antibody by Western Blot.

Detection of Human CD11c by Western Blot.

Western blot shows lysates of human mature myeloid dendritic cells. PVDF Membrane was probed with 2 µg/mL of Mouse Anti-Human CD11c Monoclonal Antibody (Catalog # MAB17771) followed by HRP-conjugated Anti-Mouse IgG Secondary Antibody (Catalog # HAF007). A specific band was detected for CD11c at approximately 150 kDa (as indicated). This experiment was conducted under reducing conditions and using Immunoblot Buffer Group 1with 0.05% Tween® 20 in the blotting buffer.

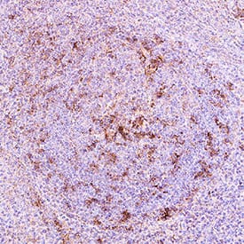
Detection of CD11c in human tonsil.

CD11c was detected in immersion fixed paraffin-embedded sections of human tonsil using Mouse Anti-Human CD11c Monoclonal Antibody (Catalog # MAB17771) at 0.5 µg/mL for 1 hour at room temperature followed by incubation with the Anti-Mouse IgG VisUCyte™ HRP Polymer Antibody (Catalog # VC001). Before incubation with the primary antibody, tissue was subjected to heat-induced epitope retrieval using VisUCyte Antigen Retrieval Reagent-Basic (Catalog # VCTS021). Tissue was stained using DAB (brown) and counterstained with hematoxylin (blue). Specific staining was localized to cell surface in lymphocytes. View our protocol for IHC Staining with VisUCyte HRP Polymer Detection Reagents.

Applications for Human CD11c Antibody

Application
Recommended Usage

Immunohistochemistry

0.5-15 µg/mL
Sample: Immersion fixed paraffin-embedded sections of human tonsil

Western Blot

2 µg/mL
Sample: Human mature myeloid dendritic cells

Formulation, Preparation, and Storage

Purification

Protein A or G purified from hybridoma culture supernatant

Reconstitution

Reconstitute at 0.5 mg/mL in sterile PBS. For liquid material, refer to CoA for concentration.

Reconstitution Buffer Available:
Size / Price
Qty
Loading...

Formulation

Lyophilized from a 0.2 μm filtered solution in PBS with Trehalose. *Small pack size (SP) is supplied either lyophilized or as a 0.2 µm filtered solution in PBS.

Shipping

Lyophilized product is shipped at ambient temperature. Liquid small pack size (-SP) is shipped with polar packs. Upon receipt, store immediately at the temperature recommended below.

Stability & Storage

Use a manual defrost freezer and avoid repeated freeze-thaw cycles.
  • 12 months from date of receipt, -20 to -70 °C as supplied.
  • 1 month, 2 to 8 °C under sterile conditions after reconstitution.
  • 6 months, -20 to -70 °C under sterile conditions after reconstitution.

Background: CD11c

CD11c, also known as Integrin alphaX, is an approximately 150 kDa type I transmembrane glycoprotein that heterodimerizes with Integrin beta2, also known as CD18. The CD11c/CD18 complex, also called CR4 (complement receptor type 4) is expressed on macrophages, dendritic cells and hairy cell leukemias, with lower amounts on other myeloid cells and activated B, NK and some cytotoxic T cells. It binds fibrinogen and has been reported to be a receptor for complement component iC3b (1‑3). The human CD11c extracellular domain (amino acids 20-1107) shares 70 - 76% amino acid sequence identity with mouse, rat and canine CD11c.

References

  1. Hogg, N. et al. (1986) Eur. J. Immunol. 16(3):240.
  2. Knapp, W.B. et al. eds. (1989) Leukocyte Typing IV: White Cell Differentiation Antigens, Oxford University Press, New York.
  3. Stacker, S.A. and T.A. Springer, J. Immunol. (1991) 146(2):648.

Alternate Names

CD11c, Integrin alpha X, ITGAX, p150,95 alpha

Entrez Gene IDs

3687 (Human); 16411 (Mouse); 64350 (Rat)

Gene Symbol

ITGAX

UniProt

Additional CD11c Products

Product Documents for Human CD11c Antibody

Certificate of Analysis

To download a Certificate of Analysis, please enter a lot number in the search box below.

Note: Certificate of Analysis not available for kit components.

Product Specific Notices for Human CD11c Antibody

For research use only

Loading...
Loading...
Loading...
Loading...