Skip to main content

Human CD109 Antibody

R&D Systems, part of Bio-Techne | Catalog # MAB4385

R&D Systems, part of Bio-Techne

Key Product Details

Species Reactivity

Validated:

Human

Cited:

Human

Applications

Validated:

Immunohistochemistry, Flow Cytometry, CyTOF-ready

Cited:

Immunohistochemistry, Flow Cytometry, Immunocytochemistry, Proximity Ligation Assay

Label

Unconjugated

Antibody Source

Monoclonal Mouse IgG2A Clone # 496920

Product Specifications

Immunogen

Mouse myeloma cell line NS0-derived recombinant human CD109
Val22-Ser1268 (Tyr703Ser & Thr1241Met)
Accession # Q6YHK3

Specificity

Detects human CD109 in direct ELISAs.

Clonality

Monoclonal

Host

Mouse

Isotype

IgG2A

Scientific Data Images for Human CD109 Antibody

Detection of CD109 antibody in A431 Human Cell Line antibody by Flow Cytometry.

Detection of CD109 in A431 Human Cell Line by Flow Cytometry.

A431 human epithelial carcinoma cell line was stained with Mouse Anti-Human CD109 Monoclonal Antibody (Catalog # MAB4385, filled histogram) or isotype control antibody (Catalog # MAB003, open histogram), followed by Phycoerythrin-conjugated Anti-Mouse IgG Secondary Antibody (Catalog # F0102B).
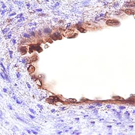
CD109 antibody in Human Placenta by Immunohistochemistry (IHC-P).

CD109 in Human Placenta.

CD109 was detected in immersion fixed paraffin-embedded sections of human placenta using Mouse Anti-Human CD109 Monoclonal Antibody (Catalog # MAB4385) at 10 µg/mL overnight at 4 °C. Tissue was stained using the Anti-Mouse HRP-DAB Cell & Tissue Staining Kit (brown; Catalog # CTS002) and counterstained with hematoxylin (blue). Specific staining was localized to cytoplasm in endothelial cells. View our protocol for Chromogenic IHC Staining of Paraffin-embedded Tissue Sections.

Applications for Human CD109 Antibody

Application
Recommended Usage

CyTOF-ready

Ready to be labeled using established conjugation methods. No BSA or other carrier proteins that could interfere with conjugation.

Flow Cytometry

2.5 µg/106 cells
Sample: A431 human epithelial carcinoma cell line

Immunohistochemistry

8-25 µg/mL
Sample: Immersion-fixed paraffin-embedded sections of human placenta

Formulation, Preparation, and Storage

Purification

Protein A or G purified from hybridoma culture supernatant

Reconstitution

Reconstitute at 0.5 mg/mL in sterile PBS. For liquid material, refer to CoA for concentration.

Reconstitution Buffer Available:
Size / Price
Qty
Loading...

Formulation

Lyophilized from a 0.2 μm filtered solution in PBS with Trehalose. *Small pack size (SP) is supplied either lyophilized or as a 0.2 µm filtered solution in PBS.

Shipping

Lyophilized product is shipped at ambient temperature. Liquid small pack size (-SP) is shipped with polar packs. Upon receipt, store immediately at the temperature recommended below.

Stability & Storage

Use a manual defrost freezer and avoid repeated freeze-thaw cycles.
  • 12 months from date of receipt, -20 to -70 °C as supplied.
  • 1 month, 2 to 8 °C under sterile conditions after reconstitution.
  • 6 months, -20 to -70 °C under sterile conditions after reconstitution.

Background: CD109

CD109 is a GPI-anchored member of the alpha-2-macroglobulin (A2M) and complement family of proteins (1). Mature human CD109 contains a bait region with recognition sequences for multiple proteases, an internal thioester bond, and a domain similar to the receptor binding domain of A2M (2). Cleavage of A2M family proteins within the bait region activates the thioester bond to promote covalent bonding to nucleophilic groups in adjacent molecules (3, 4). Within the region included in this recombinant protein, human CD109 shares 71-73% amino acid (aa) sequence identity with mouse and rat CD109. It shares 27-33% aa sequence identity with A2M and complement factors C3, C4, and C5. Alternate splicing of human CD109 generates two isoforms with short deletions and one that is truncated within the bait region. CD109 is expressed on activated T cells and platelets, hematopoietic stem cells, megakaryocyte precursors, vascular endothelial cells, basal and myoepithelial cells of secretory glands, and squamous cell carcinomas (2, 5-9). It is produced as a 170-180 kDa glycoprotein that is autocatalytically processed to 150 kDa and 120 kDa forms (2, 6, 10). CD109 on keratinocytes binds TGF-beta and associates with TGF-beta RI and TGF-beta RII, resulting in inhibition of TGF-beta signaling (11). Polymorphisms of CD109 include the platelet-specific Gov antigen and the blood group ABH antigens (12, 13). Alloantibodies directed against these antigens result in unsuccessful platelet transfusions, neonatal alloimmune thrombocytopenia, and posttransfusion purpura (14).

References

  1. Travis, J. and G.S. Salvesen (1983) Annu. Rev. Biochem. 52:655.
  2. Lin, M. et al. (2002) Blood 99:1683.
  3. Christensen, U. and L. Sottrup-Jensen (1984) Biochemistry 23:6619.
  4. Wallis, R. et al. (2007) J. Biol. Chem. 282:7844.
  5. Murray, L.J. et al. (1999) Exp. Hematol. 27:1282.
  6. Haregewoin, A. et al. (1994) Cell. Immunol. 156:357.
  7. Hasegawa, M. et al. (2007) Pathol. Int. 57:245.
  8. Brashem-Stein, C. et al. (1988) J. Immunol. 140:2330.
  9. Hashimoto, M. et al. (2004) Oncogene 23:3716.
  10. Solomon, K.R. et al. (2004) Gene 327:171.
  11. Finnson, K.W. et al. (2006) FASEB J. 20:1525.
  12. Schuh, A.C. et al. (2002) Blood 99:1692.
  13. Kelton, J.G. et al. (1998) J. Lab. Clin. Med. 132:142.
  14. Rozman, P. (2002) Transpl. Immunol. 10:165.

Alternate Names

CD109, CPAMD7

Entrez Gene IDs

135228 (Human); 235505 (Mouse); 363104 (Rat)

Gene Symbol

CD109

UniProt

Additional CD109 Products

Product Documents for Human CD109 Antibody

Certificate of Analysis

To download a Certificate of Analysis, please enter a lot number in the search box below.

Note: Certificate of Analysis not available for kit components.

Product Specific Notices for Human CD109 Antibody

For research use only

Loading...
Loading...
Loading...
Loading...
Loading...