Human Cathepsin V Antibody
R&D Systems, part of Bio-Techne | Catalog # MAB1080
Conjugate
Catalog #
Key Product Details
Species Reactivity
Validated:
Human
Cited:
Human, Mouse
Applications
Validated:
Immunohistochemistry, Western Blot, Immunoprecipitation
Cited:
Immunohistochemistry, Immunohistochemistry-Paraffin, Western Blot, Immunocytochemistry
Label
Unconjugated
Antibody Source
Monoclonal Mouse IgG1 Clone # 182016
Product Specifications
Immunogen
Mouse myeloma cell line NS0-derived recombinant human Cathepsin V
Accession # O60911
Accession # O60911
Specificity
Detects human Cathepsin V in direct ELISAs and Western blots. In Western blots, approximately 50% cross-reactivity with recombinant mouse (rm) Cathepsin H and recombinant human (rh) Cathepsin K is observed and no cross-reactivity with rhCathepsin B, C, L, O, S, Z, rmCathepsin B, C, F, or Z is observed.
Clonality
Monoclonal
Host
Mouse
Isotype
IgG1
Scientific Data Images for Human Cathepsin V Antibody
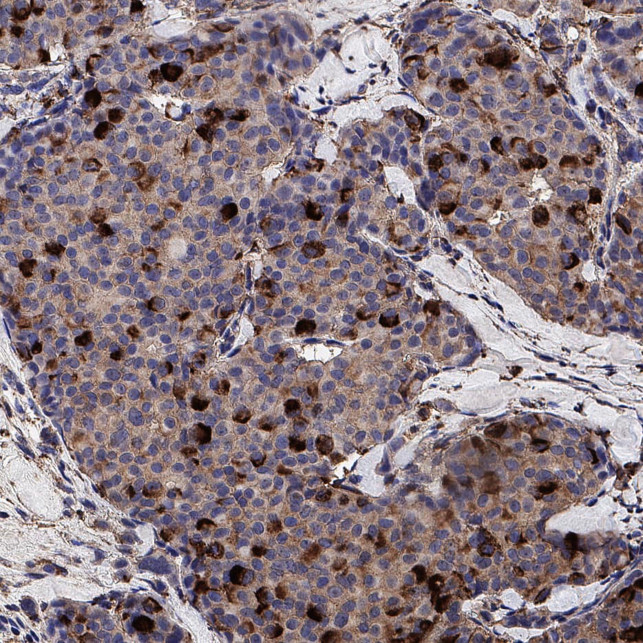
Cathepsin V was detected in Breast Tumor
Cathepsin V was detected in immersion fixed paraffin-embedded sections of breast tumor using Mouse Anti-Human Cathepsin V Monoclonal Antibody (Catalog # MAB1080) at 1 µg/ml overnight at 4 °C. Before incubation with the primary antibody, tissue was subjected to heat-induced epitope retrieval using VisUCyte Antigen Retrieval Reagent-Basic (Catalog # VCTS021). Tissue was stained using the HRP-conjugated Anti-Mouse IgG Secondary Antibody (Catalog # HAF007) and counterstained with hematoxylin (blue). Specific staining was localized to cytoplasm and lysosomes. View our protocol for Chromogenic IHC Staining of Paraffin-embedded Tissue Sections.Applications for Human Cathepsin V Antibody
Application
Recommended Usage
Immunohistochemistry
1-25 µg/mL
Sample: Immersion fixed paraffin-embedded sections of human breast cancer tissue
Sample: Immersion fixed paraffin-embedded sections of human breast cancer tissue
Immunoprecipitation
25 µg/mL
Sample: Conditioned cell culture medium spiked with Recombinant Human Cathepsin V (Catalog # 1080-CY), see our available Western blot detection antibodies
Sample: Conditioned cell culture medium spiked with Recombinant Human Cathepsin V (Catalog # 1080-CY), see our available Western blot detection antibodies
Western Blot
1 µg/mL
Sample: Recombinant Human Cathepsin V (Catalog # 1080-CY)
Sample: Recombinant Human Cathepsin V (Catalog # 1080-CY)
Formulation, Preparation, and Storage
Purification
Protein A or G purified from hybridoma culture supernatant
Reconstitution
Reconstitute at 0.5 mg/mL in sterile PBS. For liquid material, refer to CoA for concentration.
Formulation
Lyophilized from a 0.2 μm filtered solution in PBS with Trehalose. *Small pack size (SP) is supplied either lyophilized or as a 0.2 µm filtered solution in PBS.
Shipping
Lyophilized product is shipped at ambient temperature. Liquid small pack size (-SP) is shipped with polar packs. Upon receipt, store immediately at the temperature recommended below.
Stability & Storage
Use a manual defrost freezer and avoid repeated freeze-thaw cycles.
- 12 months from date of receipt, -20 to -70 °C as supplied.
- 1 month, 2 to 8 °C under sterile conditions after reconstitution.
- 6 months, -20 to -70 °C under sterile conditions after reconstitution.
Background: Cathepsin V
Cathepsin V (also known as Cathepsin L2 and U) is a cysteine protease of the papain family (1). It is expressed as a proenzyme in lysosomes, which can be autocatalytically converted to the mature form at pH 4.0 (2). Cathepsin V shows high amino acid identity with Cathepsin L (77% for the proenzymes and 80% for the mature enzymes) (3). However, Cathepsin V is specifically expressed in the thymus, testis, and corneal epithelium whereas Cathepsin L is expressed throughout the body.
References
- Turk, V. et al. (2001) EMBO J. 20:4629.
- Bromme, D. et al. (1999) Biochemistry 38:2377.
- Somoza, J.R. et al. (2000) Biochemistry 39:12543.
Alternate Names
Cathepsin L2, Cathepsin U, CTSL2
Entrez Gene IDs
1515 (Human)
Gene Symbol
CTSV
UniProt
Additional Cathepsin V Products
Product Documents for Human Cathepsin V Antibody
Product Specific Notices for Human Cathepsin V Antibody
For research use only
Loading...
Loading...
Loading...
Loading...
Loading...