Human Carboxypeptidase E/CPE Antibody
R&D Systems, part of Bio-Techne | Catalog # AF3587
Key Product Details
Species Reactivity
Validated:
Cited:
Applications
Validated:
Cited:
Label
Antibody Source
Product Specifications
Immunogen
Arg42-Ser453
Accession # P16870
Specificity
Clonality
Host
Isotype
Scientific Data Images for Human Carboxypeptidase E/CPE Antibody
Carboxypeptidase E/CPE in HepG2 Human Cell Line.
Carboxypeptidase E/CPE was detected in immersion fixed HepG2 human hepatocellular carcinoma cell line using Goat Anti-Human Carboxypeptidase E/CPE Antigen Affinity-purified Polyclonal Antibody (Catalog # AF3587) at 10 µg/mL for 3 hours at room temperature. Cells were stained using the NorthernLights™ 557-conjugated Anti-Goat IgG Secondary Antibody (red, upper panel; Catalog # NL001) and counterstained with DAPI (blue, lower panel). Specific staining was localized to cell surfaces and cytoplasm. View our protocol for Fluorescent ICC Staining of Cells on Coverslips.Detection of Carboxypeptidase E/CPE in A172 Human Cell Line by Flow Cytometry.
A172 human glioblastoma cell line was stained with Goat Anti-Human Carboxypeptidase E/CPE Antigen Affinity-purified Polyclonal Antibody (Catalog # AF3587, filled histogram) or control antibody (Catalog # AB-108-C, open histogram), followed by Phycoerythrin-conjugated Anti-Goat IgG Secondary Antibody (Catalog # F0107). To facilitate intracellular staining, cells were fixed with paraformaldehyde and permeabilized with methanol and saponin.Carboxypeptidase E/CPE in Mouse Embryo.
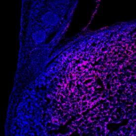
Carboxypeptidase E/CPE was detected in immersion fixed frozen sections of mouse embryo (9.5 d.p.c.) using Goat Anti-Human Carboxypeptidase E/CPE Antigen Affinity-purified Polyclonal Antibody (Catalog # AF3587) at 10 µg/mL overnight at 4 °C. Tissue was stained using the NorthernLights™ 557-conjugated Anti-Goat IgG Secondary Antibody (red; Catalog # NL001) and counterstained with DAPI (blue). Specific staining was localized to the developing liver. View our protocol for Fluorescent IHC Staining of Frozen Tissue Sections.Applications for Human Carboxypeptidase E/CPE Antibody
CyTOF-ready
Immunocytochemistry
Sample: Immersion fixed HepG2 human hepatocellular carcinoma cell line
Immunohistochemistry
Sample: Immersion fixed frozen sections of mouse embryo (9.5 d.p.c.)
Immunoprecipitation
Sample: Conditioned cell culture medium spiked with Recombinant Human Carboxypeptidase E/CPE (Catalog # 3587-ZN), see our available Western blot detection antibodies
Intracellular Staining by Flow Cytometry
Sample: A172 human glioblastoma cell line fixed with paraformaldehyde and permeabilized with saponin
Western Blot
Sample: Recombinant Human Carboxypeptidase E/CPE (Catalog # 3587-ZN)
Formulation, Preparation, and Storage
Purification
Reconstitution
Formulation
Shipping
Stability & Storage
- 12 months from date of receipt, -20 to -70 °C as supplied.
- 1 month, 2 to 8 °C under sterile conditions after reconstitution.
- 6 months, -20 to -70 °C under sterile conditions after reconstitution.
Background: Carboxypeptidase E/CPE
Encoded by the CPE gene and also known as Carboxypeptidase H, CPE is a single chain peptidase with an optimal pH range between 5.0‑6.0. It is a zinc metallocarboxypeptidase that removes basic amino acids from the C-terminus of peptides (1). Like other metallocarboxypeptidases, its activity is stimulated by millimolar concentrations of Co2+. Its activity is regulated by pH-induced aggregation above pH 6.0. Its major function seems to process numerous peptide hormones and neurotransmitters. In addition to its proteolytic function, it also plays a role as a sorting receptor (2), which may be attributed to the sorting of this protein into the secretory pathway. The C-terminal domain of CPE causes the peripheral association of CPE with membranes below neutral pH, resulting in the association of this protein into membranes (3). CPE knockout mice live but become obese due to impaired glucose clearance and insulin resistance (4).
References
- Fricker, L.D. (2004) in Handbook of Proteolytic Enzymes, Barrett, A.J. et al. eds. pp. 840.
- Cool, D.R. et al. (1997) Cell 88:73.
- Zhang, C-F. et al. (2003) Biochem. J. 369:453.
- Cawley, N.X. et al. (2004) Endocrinology 145:5807.
Alternate Names
Gene Symbol
UniProt
Additional Carboxypeptidase E/CPE Products
Product Documents for Human Carboxypeptidase E/CPE Antibody
Product Specific Notices for Human Carboxypeptidase E/CPE Antibody
For research use only