Skip to main content

Key Product Details

Species Reactivity

Human

Applications

Immunohistochemistry, Western Blot

Label

Unconjugated

Antibody Source

Polyclonal Sheep IgG

Product Specifications

Immunogen

E. coli-derived recombinant human Carbonic Anhydrase VA/CA5A
Ala40-Ser305
Accession # P35218

Specificity

Detects human Carbonic Anhydrase VA/CA5A in direct ELISAs and Western blots. In direct ELISAs, approximately 4% cross-reactivity with recombinant human (rh) CA5B is observed and less than 1% cross-reactivity with rhCA2 and rhCA7.

Clonality

Polyclonal

Host

Sheep

Isotype

IgG

Scientific Data Images for Human Carbonic Anhydrase VA/CA5A Antibody

Detection of Human Carbonic Anhydrase VA/CA5A antibody by Western Blot.

Detection of Human Carbonic Anhydrase VA/CA5A by Western Blot.

Western blot shows lysates of HepG2 human hepatocellular carcinoma cell line. PVDF Membrane was probed with 1 µg/mL of Goat Anti-Human Carbonic Anhydrase VA/CA5A Antigen Affinity-purified Polyclonal Antibody (Catalog # AF3049) followed by HRP-conjugated Anti-Goat IgG Secondary Antibody (Catalog # HAF109). A specific band was detected for Carbonic Anhydrase VA/CA5A at approximately 33 kDa (as indicated). This experiment was conducted under reducing conditions and using Immunoblot Buffer Group 8.
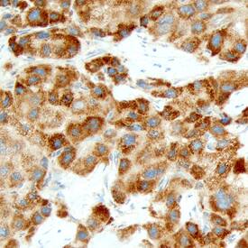
Carbonic Anhydrase VA/CA5A antibody in Human Liver by Immunohistochemistry (IHC-P).

Carbonic Anhydrase VA/CA5A in Human Liver.

Carbonic Anhydrase VA/CA5A was detected in immersion fixed paraffin-embedded sections of human liver using Sheep Anti-Human Carbonic Anhydrase VA/CA5A Antigen Affinity-purified Polyclonal Antibody (Catalog # AF3049) at 10 µg/mL overnight at 4 °C. Before incubation with the primary antibody, tissue was subjected to heat-induced epitope retrieval using Antigen Retrieval Reagent-Basic (Catalog # CTS013). Tissue was stained using the Anti-Sheep HRP-DAB Cell & Tissue Staining Kit (brown; Catalog # CTS019) and counterstained with hematoxylin (blue). Specific staining was localized to hepatocyte cytoplasm. View our protocol for Chromogenic IHC Staining of Paraffin-embedded Tissue Sections.

Applications for Human Carbonic Anhydrase VA/CA5A Antibody

Application
Recommended Usage

Immunohistochemistry

5-15 µg/mL
Sample: Immersion fixed paraffin-embedded sections of human liver

Western Blot

1 µg/mL
Sample: HepG2 human hepatocellular carcinoma cell line

Formulation, Preparation, and Storage

Purification

Antigen Affinity-purified

Reconstitution

Sterile PBS to a final concentration of 0.2 mg/mL. For liquid material, refer to CoA for concentration.

Reconstitution Buffer Available:
Size / Price
Qty
Loading...

Formulation

Lyophilized from a 0.2 μm filtered solution in PBS with Trehalose. *Small pack size (SP) is supplied either lyophilized or as a 0.2 µm filtered solution in PBS.

Shipping

Lyophilized product is shipped at ambient temperature. Liquid small pack size (-SP) is shipped with polar packs. Upon receipt, store immediately at the temperature recommended below.

Stability & Storage

Use a manual defrost freezer and avoid repeated freeze-thaw cycles.
  • 12 months from date of receipt, -20 to -70 °C as supplied.
  • 1 month, 2 to 8 °C under sterile conditions after reconstitution.
  • 6 months, -20 to -70 °C under sterile conditions after reconstitution.

Background: Carbonic Anhydrase VA/CA5A

Carbonic Anhydrase catalyzes the reversible reaction of CO2 + H2O = HCO3- + H+, which is fundamental to many processes such as respiration, renal tubular acidification and bone resorption (1). Topics in a CA meeting (6th International Conference on the CAs, June 20 - 25, 2003, Slovakia) ranged from the use of CAs as markers for tumor and hypoxia in the clinic, as a nutritional supplement in milk, and as a tool for CO2 removal and mosquito control in industry. Carbonic anhydrase VA encoded by the CA5A gene is a mitochondrial protein (2, 3). In comparison with another mitochondrial CA (CA5B), CA5A has different tissue distribution and chromosomal location (4, 5). Expression and inhibitor studies of different CAs in the rat pancreatic beta cells indicate that CA5A may be involved in the regulation of insulin secretion (6). CA5A may also participate in the detoxification of ammonia produced in the gastrointestinal tract by providing bicarbonate to carbamyl phosphate synthetase I (7). The amino acid sequence of recombinant human CA5A (residues 40 to 305) is 79%, 77%, and 76% identical to that of canine, bovine, and rat/mouse.

References

  1. Hewett-Emmett, D. and R.E. Tashian (1996) Mol. Phylogenet. Evol. 5:50.
  2. Nagao, Y. et al. (1993) Proc. Natl. Acad. Sci. USA 90:7623.
  3. Nagao, Y. et al. (1995) Genomics 28:477.
  4. Shah, G.N. et al. (2000) Proc. Natl. Acad. Sci. USA 97:1677.
  5. Fujikawa-Adachi, K. et al. (1999) J. Biol. Chem. 274:21228.
  6. Parkkila, A.K. et al. (1998) J. Biol. Chem. 273:24620.
  7. Saarnio, J. et al. (1999) J. Histochem. Cytochem. 47:517.

Alternate Names

CA5A, CAVA

Entrez Gene IDs

763 (Human); 54233 (Rat)

Gene Symbol

CA5A

UniProt

Additional Carbonic Anhydrase VA/CA5A Products

Product Documents for Human Carbonic Anhydrase VA/CA5A Antibody

Certificate of Analysis

To download a Certificate of Analysis, please enter a lot number in the search box below.

Note: Certificate of Analysis not available for kit components.

Product Specific Notices for Human Carbonic Anhydrase VA/CA5A Antibody

For research use only

Loading...
Loading...
Loading...
Loading...