Skip to main content

Key Product Details

Species Reactivity

Validated:

Human

Cited:

Human

Applications

Validated:

Immunohistochemistry, Western Blot, Simple Western, Immunoprecipitation

Cited:

Western Blot, Immunocytochemistry

Label

Unconjugated

Antibody Source

Polyclonal Goat IgG

Product Specifications

Immunogen

Mouse myeloma cell line NS0-derived recombinant human Carbonic Anhydrase IV/CA4
Ala19-Lys283
Accession # P22748

Specificity

Detects human Carbonic Anhydrase IV/CA4 in direct ELISAs and Western blots. In direct ELISAs and Western blots, approximately 20% cross‑reactivity with recombinant mouse CA4 is observed and less than 5% cross-reactivity with recombinant human CA1, 2, 3, 8, 9, 10, 12, and 13 is observed.

Clonality

Polyclonal

Host

Goat

Isotype

IgG

Scientific Data Images for Human Carbonic Anhydrase IV/CA4 Antibody

Detection of Human Carbonic Anhydrase IV/CA4 antibody by Western Blot.

Detection of Human Carbonic Anhydrase IV/CA4 by Western Blot.

Western blot shows lysates of human brain (cerebellum) tissue, human lung tisssue, and A549 human lung carcinoma cell line. PVDF membrane was probed with 1 µg/mL of Goat Anti-Human Carbonic Anhydrase IV/CA4 Antigen Affinity-purified Polyclonal Antibody (Catalog # AF2186) followed by HRP-conjugated Anti-Goat IgG Secondary Antibody (HAF017). A specific band was detected for Carbonic Anhydrase IV/CA4 at approximately 33 kDa (as indicated). This experiment was conducted under reducing conditions and using Immunoblot Buffer Group 1.
Detection of Human Carbonic Anhydrase IV/CA4 antibody by Simple WesternTM.

Detection of Human Carbonic Anhydrase IV/CA4 by Simple WesternTM.

Simple Western lane view shows lysates of human lung tissue and human kidney tissue, loaded at 0.2 mg/mL. A specific band was detected for Carbonic Anhydrase IV/CA4 at approximately 40 kDa (as indicated) using 10 µg/mL of Goat Anti-Human Carbonic Anhydrase IV/CA4 Antigen Affinity-purified Polyclonal Antibody (Catalog # AF2186) followed by 1:50 dilution of HRP-conjugated Anti-Goat IgG Secondary Antibody (HAF109). This experiment was conducted under reducing conditions and using the 12-230 kDa separation system.

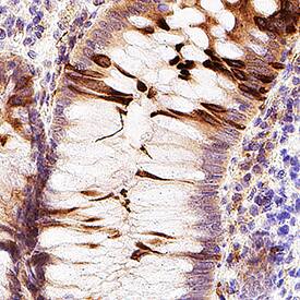
Detection of Carbonic Anhydrase IV/CA4 in human colon.

Carbonic Anhydrase IV/CA4 was detected in immersion fixed paraffin-embedded sections of human colon using Goat Anti-Human Carbonic Anhydrase IV/CA4 Antigen Affinity-purified Polyclonal Antibody (Catalog # AF2186) at 3 µg/mL for 1 hour at room temperature followed by incubation with the Anti-Goat IgG VisUCyte™ HRP Polymer Antibody (Catalog # VC004). Before incubation with the primary antibody, tissue was subjected to heat-induced epitope retrieval using VisUCyte Antigen Retrieval Reagent-Basic (Catalog # VCTS021). Tissue was stained using DAB (brown) and counterstained with hematoxylin (blue). Specific staining was localized to membranes of the epithelial cells in mucosal glands. View our protocol for IHC Staining with VisUCyte HRP Polymer Detection Reagents.

Applications for Human Carbonic Anhydrase IV/CA4 Antibody

Application
Recommended Usage

Immunohistochemistry

3-15 µg/mL
Sample: Immersion fixed paraffin-embedded sections of human colon

Immunoprecipitation

25 µg/mL
Sample: Conditioned cell culture medium spiked with Recombinant Human Carbonic Anhydrase IV (Catalog # 2186-CA), see our available Western blot detection antibodies

Simple Western

10 µg/mL
Sample: Human lung tissue and human kidney tissue

Western Blot

1 µg/mL
Sample: Human brain (cerebellum) tissue, human lung tisssue, and A549 human lung carcinoma cell line

Formulation, Preparation, and Storage

Purification

Antigen Affinity-purified

Reconstitution

Reconstitute at 0.2 mg/mL in sterile PBS. For liquid material, refer to CoA for concentration.

Reconstitution Buffer Available:
Size / Price
Qty
Loading...

Formulation

Lyophilized from a 0.2 μm filtered solution in PBS with Trehalose. *Small pack size (SP) is supplied either lyophilized or as a 0.2 µm filtered solution in PBS.

Shipping

Lyophilized product is shipped at ambient temperature. Liquid small pack size (-SP) is shipped with polar packs. Upon receipt, store immediately at the temperature recommended below.

Stability & Storage

Use a manual defrost freezer and avoid repeated freeze-thaw cycles.
  • 12 months from date of receipt, -20 to -70 °C as supplied.
  • 1 month, 2 to 8 °C under sterile conditions after reconstitution.
  • 6 months, -20 to -70 °C under sterile conditions after reconstitution.

Background: Carbonic Anhydrase IV/CA4

Carbonic Anhydrase (CA) catalyzes the reversible reaction of CO2 + H2O = HCO3- + H+, which is fundamental to many processes such as respiration, renal tubular acidification and bone resorption (1). Topics in a CA meeting (6th International Conference on the CAs, June 20‑25, 2003, Slovakia) ranged from the use of CAs as markers for tumor and hypoxia in the clinic, as a nutritional supplement in milk, and as a tool for CO2 removal and mosquito control in industry. CA4 is a GPI‑anchored membrane enzyme expressed on the luminal surfaces of pulmonary (and certain other) capillaries and of proximal renal tubules. It functions as the principal CO2 taste sensor (2). In addition, a genetic mutation (Arg 14 to Trp in the signal peptide) of CA4 was found to cosegregate with the RP17 form of retinitis pigmentosa in two large families and was not found in 36 unaffected family members or 100 controls (3).

References

  1. Hewett-Emmett, D. and R.E. Tashian (1996) Mol. Phylogenet. Evol. 5:50.
  2. Chandrashekar, J. et al. (2009) Science 326:443.
  3. Rebello, G. et al. (2004) Proc. Natl. Acad. Sci. USA 101:6617.

Alternate Names

CA4, RP17

Entrez Gene IDs

762 (Human); 12351 (Mouse)

Gene Symbol

CA4

UniProt

Additional Carbonic Anhydrase IV/CA4 Products

Product Documents for Human Carbonic Anhydrase IV/CA4 Antibody

Certificate of Analysis

To download a Certificate of Analysis, please enter a lot number in the search box below.

Note: Certificate of Analysis not available for kit components.

Product Specific Notices for Human Carbonic Anhydrase IV/CA4 Antibody

For research use only

Loading...
Loading...
Loading...
Loading...