Skip to main content

Key Product Details

Validated by

Knockout/Knockdown

Species Reactivity

Validated:

Human

Cited:

Human, Canine

Applications

Validated:

Immunohistochemistry, Western Blot, Simple Western

Cited:

Immunohistochemistry, Immunohistochemistry-Paraffin, Western Blot, Neutralization, Immunocytochemistry

Label

Unconjugated

Antibody Source

Monoclonal Mouse IgG2B Clone # 283416

Product Specifications

Immunogen

S. frugiperda insect ovarian cell line Sf 21-derived recombinant human Cadherin-11
Phe23-Thr617
Accession # AAA35622

Specificity

Detects human Cadherin-11 in direct ELISAs and Western blots. Does not cross-react with recombinant human (rh) Cadherin‑4, rhCadherin‑8, rhCadherin‑12, rhCadherin‑13, rhCadherin‑17, rhE-Cadherin, rhN-Cadherin, rhP-Cadherin, or rhVE-Cadherin.

Clonality

Monoclonal

Host

Mouse

Isotype

IgG2B

Scientific Data Images for Human Cadherin-11 Antibody

Detection of Human Cadherin-11 antibody by Western Blot.

Detection of Human Cadherin‑11 by Western Blot.

Western blot shows lysates of PC-3 human prostate cancer cell line. PVDF membrane was probed with 1 µg/mL of Mouse Anti-Human Cadherin-11 Monoclonal Antibody (Catalog # MAB1790) followed by HRP-conjugated Anti-Mouse IgG Secondary Antibody (Catalog # HAF007). A specific band was detected for Cadherin-11 at approximately 110 kDa (as indicated). This experiment was conducted under reducing conditions and using Immunoblot Buffer Group 1.
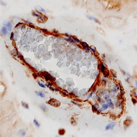
Cadherin-11 antibody in Human Placenta by Immunohistochemistry (IHC-P).

Cadherin‑11 in Human Placenta.

Cadherin-11 was detected in immersion fixed paraffin-embedded sections of human placenta using Mouse Anti-Human Cadherin-11 Monoclonal Antibody (Catalog # MAB1790) at 8 µg/mL overnight at 4 °C. Tissue was stained using the Anti-Mouse HRP-DAB Cell & Tissue Staining Kit (brown; Catalog # CTS002) and counterstained with hematoxylin (blue). View our protocol for Chromogenic IHC Staining of Paraffin-embedded Tissue Sections.
Detection of Human Cadherin-11 antibody by Simple WesternTM.

Detection of Human Cadherin‑11 by Simple WesternTM.

Simple Western lane view shows lysates of PC‑3 human prostate cancer cell line, loaded at 0.2 mg/mL. Specific bands were detected for Cadherin‑11 at approximately 114 & 137 kDa (as indicated) using 20 µg/mL of Mouse Anti-Human Cadherin‑11 Monoclonal Antibody (Catalog # MAB1790). This experiment was conducted under reducing conditions and using the 12-230 kDa separation system. Non-specific interaction with the 230 kDa Simple Western standard may be seen with this antibody.

Applications for Human Cadherin-11 Antibody

Application
Recommended Usage

Immunohistochemistry

8-25 µg/mL
Sample: Immersion fixed paraffin-embedded sections of human placenta

Simple Western

20 µg/mL
Sample: PC‑3 human prostate cancer cell line

Western Blot

1 µg/mL
Sample: PC‑3 human prostate cancer cell line

Reviewed Applications

Read 1 review rated 5 using MAB1790 in the following applications:

Formulation, Preparation, and Storage

Purification

Protein A or G purified from hybridoma culture supernatant

Reconstitution

Reconstitute at 0.5 mg/mL in sterile PBS. For liquid material, refer to CoA for concentration.

Reconstitution Buffer Available:
Size / Price
Qty
Loading...

Formulation

Lyophilized from a 0.2 μm filtered solution in PBS with Trehalose. *Small pack size (SP) is supplied either lyophilized or as a 0.2 µm filtered solution in PBS.

Shipping

Lyophilized product is shipped at ambient temperature. Liquid small pack size (-SP) is shipped with polar packs. Upon receipt, store immediately at the temperature recommended below.

Stability & Storage

Use a manual defrost freezer and avoid repeated freeze-thaw cycles.
  • 12 months from date of receipt, -20 to -70 °C as supplied.
  • 1 month, 2 to 8 °C under sterile conditions after reconstitution.
  • 6 months, -20 to -70 °C under sterile conditions after reconstitution.

Background: Cadherin-11

The cadherin superfamily comprises a large number of membrane glycoproteins with one or more cadherin repeats, which are involved in Ca2+ dependent cell-cell adhesion. The family can be subdivided into several major subgroups, including the type I and type II classical cadherins, desmosomal cadherins, protocadherins, seven transmembrane (Flamingo) cadherins, FAT-family cadherins, T-cadherin and other unclassified cadherins (1). Cadherin-11, also known as OB-cadherin, is a type II classical cadherin. Classical cadherins are type I transmembrane proteins with an N-terminal extracellular domain containing five tandem cadherin repeats and a C-terminal cytoplasmic domain with a characteristic sequence for binding to catenins. Type I cadherins (E-, N-, P-, R-, M-, and EP-cadherin) differ from type II cadherins (cadherin-5 to -12, -18 to -20 and -22) by the presence of the HAV tripeptide motif in the most N-terminal cadherin repeat (2). Classic cadherins mediate cell-cell adhesion preferentially via homotypic interactions and form adherens juctions that have beta-catenin and p120 (ctn) at the cytoplasmic side of the junction (3, 4). Homotypic cadherin interactions also transduce outside-in and inside-out cell signals. Cadherin signaling induces various cellular processes including cell motility, actin cytoskeleton reorganization, proliferation, and differentiation (3, 4). Cadherin-11 is expressed in a variety or normal tissues of mesodermal origin including areas of the kidney and brain, in normal osteoblasts, and in tumors of the stomach, kidney, colon, breast, and bone (osteosarcoma) (5, 6). It is also differentially expressed in the embryonic brain and may be important in regulating neural development. Human Cadherin-11 exhibits a unique mRNA splice site allowing for two forms of the protein to be expressed, a full-length 796 amino acid (aa) protein and a COOH terminus-truncated variant of 693 aa. The truncated variant has a unique cytoplasmic region due to a frameshift event (3). The full-length human and mouse Cadherin-11 share 97% homology at the aa sequence level.

References

  1. Angst, B.D. et al. (2001) J. Cell Sci. 113:629.
  2. Gessner, R. and R. Tauber (2000) Ann. N.Y. Acad. Sci. 915:136.
  3. Feltes, C.M. et al. (2002) Cancer Research. 62:6688.
  4. Wheelock, J.J. and K.R. Johnson (2003) Annu. Rev. Cell Dev. Biol. 19:207.
  5. Hoffmann, I. and R. Balling (1995) Dev. Biol. 169:337.
  6. Pishvaian, M.J. et. al. (1999) Cancer Research 59:947.

Alternate Names

Cadherin11, CDH11, CDHOB, OB-Cadherin

Entrez Gene IDs

1009 (Human); 12552 (Mouse)

Gene Symbol

CDH11

UniProt

Additional Cadherin-11 Products

Product Documents for Human Cadherin-11 Antibody

Certificate of Analysis

To download a Certificate of Analysis, please enter a lot number in the search box below.

Note: Certificate of Analysis not available for kit components.

Product Specific Notices for Human Cadherin-11 Antibody

For research use only

Loading...
Loading...
Loading...
Loading...