Skip to main content

Key Product Details

Species Reactivity

Human

Applications

Immunohistochemistry, Western Blot

Label

Unconjugated

Antibody Source

Monoclonal Mouse IgG1 Clone # 652747

Product Specifications

Immunogen

E. coli-derived recombinant human BRIP1/FANCJ
Ser2-Arg160
Accession # Q9BX63

Specificity

Detects human BRIP1/FANCJ in direct ELISAs and Western blots. In Western blots, no cross-reactivity with recombinant human (rh) FANCA, D2, E, F, G, I, L, M, or recombinant mouse BRIP1/FANCJ is observed.

Clonality

Monoclonal

Host

Mouse

Isotype

IgG1

Scientific Data Images for Human BRIP1/FANCJ Antibody

Detection of Human BRIP1/FANCJ antibody by Western Blot.

Detection of Human BRIP1/FANCJ by Western Blot.

Western blot shows lysates of Jurkat human acute T cell leukemia cell line, MCF-7 human breast cancer cell line, and HeLa human cervical epithelial carcinoma cell line. PVDF Membrane was probed with 1 µg/mL of Human BRIP1/FANCJ Monoclonal Antibody (Catalog # MAB6496) followed by HRP-conjugated Anti-Mouse IgG Secondary Antibody (Catalog # HAF007). A specific band was detected for BRIP1/FANCJ at approximately 140 kDa (as indicated). This experiment was conducted under reducing conditions and using Immunoblot Buffer Group 1.
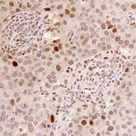
BRIP1/FANCJ antibody in Human Breast Cancer Tissue by Immunohistochemistry (IHC-P).

BRIP1/FANCJ in Human Breast Cancer Tissue.

BRIP1/FANCJ was detected in immersion fixed paraffin-embedded sections of human breast cancer tissue using Human BRIP1/FANCJ Monoclonal Antibody (Catalog # MAB6496) at 15 µg/mL overnight at 4 °C. Before incubation with the primary antibody, tissue was subjected to heat-induced epitope retrieval using Antigen Retrieval Reagent-Basic (Catalog # CTS013). Tissue was stained using the Anti-Mouse HRP-DAB Cell & Tissue Staining Kit (brown; Catalog # CTS002) and counterstained with hemotoxylin (blue). Specific staining was localized to nuclei. View our protocol for Chromogenic IHC Staining of Paraffin-embedded Tissue Sections.

Applications for Human BRIP1/FANCJ Antibody

Application
Recommended Usage

Immunohistochemistry

8-25 µg/mL
Sample: Immersion fixed paraffin-embedded sections of human breast cancer tissue

Western Blot

1 µg/mL
Sample: Jurkat human acute T cell leukemia cell line, MCF‑7 human breast cancer cell line, and HeLa human cervical epithelial carcinoma cell line

Formulation, Preparation, and Storage

Purification

Protein A or G purified from hybridoma culture supernatant

Reconstitution

Sterile PBS to a final concentration of 0.5 mg/mL. For liquid material, refer to CoA for concentration.

Reconstitution Buffer Available:
Size / Price
Qty
Loading...

Formulation

Lyophilized from a 0.2 μm filtered solution in PBS with Trehalose. *Small pack size (SP) is supplied either lyophilized or as a 0.2 µm filtered solution in PBS.

Shipping

Lyophilized product is shipped at ambient temperature. Liquid small pack size (-SP) is shipped with polar packs. Upon receipt, store immediately at the temperature recommended below.

Stability & Storage

Use a manual defrost freezer and avoid repeated freeze-thaw cycles.
  • 12 months from date of receipt, -20 to -70 °C as supplied.
  • 1 month, 2 to 8 °C under sterile conditions after reconstitution.
  • 6 months, -20 to -70 °C under sterile conditions after reconstitution.

Background: BRIP1/FANCJ

BRCA1-interacting protein 1 (BRIP1), also known as Fanconi anemia complementation group J protein (FANCJ) and BACH1, is a 130 kDa ubiquitously expressed DNA helicase. BRIP1 binds to the BRCT domain of BRCA1 and regulates BRCA1 dependent DNA repair and cell cycle checkpoint control. It is mutated in patients with Fanconi anemia, a disorder characterized by chromosomal instability and increased risk of developing cancer. Within amino acids 1-160, human BRIP1 shares 78% and 74% aa sequence identity with mouse and rat BRIP1, respectively.

Long Name

BRCA1 Interacting Protein C-terminal Helicase 1

Alternate Names

BACH1, FACJ, FANCJ

Entrez Gene IDs

83990 (Human)

Gene Symbol

BRIP1

UniProt

Additional BRIP1/FANCJ Products

Product Documents for Human BRIP1/FANCJ Antibody

Certificate of Analysis

To download a Certificate of Analysis, please enter a lot number in the search box below.

Note: Certificate of Analysis not available for kit components.

Product Specific Notices for Human BRIP1/FANCJ Antibody

For research use only

Loading...
Loading...
Loading...
Loading...