Skip to main content

Key Product Details

Species Reactivity

Validated:

Human

Cited:

Human, Mouse, Guinea Pig

Applications

Validated:

Immunohistochemistry, Western Blot, Neutralization

Cited:

Immunohistochemistry, Immunohistochemistry-Paraffin, Western Blot, Neutralization, Immunodepletion, Mass Spectrometry

Label

Unconjugated

Antibody Source

Polyclonal Goat IgG

Product Specifications

Immunogen

Mouse myeloma cell line NS0-derived recombinant human beta-NGF
Ser122-Ala241
Accession # CAA36832

Specificity

Detects human beta-NGF in direct ELISAs and Western blots. In direct ELISAs, greater than 50% cross-reactivity with recombinant mouse beta-NGF and recombinant rat beta-NGF is observed.

Clonality

Polyclonal

Host

Goat

Isotype

IgG

Endotoxin Level

<0.10 EU per 1 μg of the antibody by the LAL method.

Scientific Data Images for Human beta-NGF Antibody

Cell Proliferation Induced by  beta‑NGF and Neutralization by Human  beta‑NGF Antibody.

Cell Proliferation Induced by beta‑NGF and Neutralization by Human beta‑NGF Antibody.

Recombinant Human beta-NGF (Catalog # 256-GF) stimulates proliferation in the TF-1 human erythroleukemic cell line in a dose-dependent manner (orange line). Proliferation elicited by Recombinant Human beta-NGF (5 ng/mL) is neutralized (green line) by increasing concentrations of Goat Anti-Human beta-NGF Antigen Affinity-purified Polyclonal Antibody (Catalog # AF-256-NA). The ND50 is typically 0.02-0.08 µg/mL.
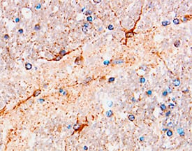
beta-NGF antibody in Human Brain by Immunohistochemistry (IHC-P).

beta‑NGF in Human Brain.

beta-NGF was detected in immersion fixed paraffin-embedded sections of human brain using Goat Anti-Human beta-NGF Antigen Affinity-purified Polyclonal Antibody (Catalog # AF-256-NA) at 10 µg/mL overnight at 4 °C. Tissue was stained using the Anti-Goat HRP-DAB Cell & Tissue Staining Kit (brown; Catalog # CTS008) and counterstained with hematoxylin (blue). Specific staining was localized to axons. View our protocol for Chromogenic IHC Staining of Paraffin-embedded Tissue Sections.

Applications for Human beta-NGF Antibody

Application
Recommended Usage

Immunohistochemistry

5-15 µg/mL
Sample: Immersion fixed paraffin-embedded sections of human brain subjected to Antigen Retrieval Reagent-Basic (Catalog # CTS013)

Western Blot

0.1 µg/mL
Sample: Recombinant Human beta-NGF (Catalog # 256-GF)

Neutralization

Measured by its ability to neutralize beta‑NGF-induced proliferation in the TF‑1 human erythroleukemic cell line. Kitamura, T. et al. (1989) J. Cell Physiol. 140:323. The Neutralization Dose (ND50) is typically 0.02-0.08 µg/mL in the presence of 5 ng/mL Recombinant Human beta‑NGF.

Reviewed Applications

Read 2 reviews rated 4 using AF-256-NA in the following applications:

Formulation, Preparation, and Storage

Purification

Antigen Affinity-purified

Reconstitution

Reconstitute at 0.2 mg/mL in sterile PBS. For liquid material, refer to CoA for concentration.

Reconstitution Buffer Available:
Size / Price
Qty
Loading...

Formulation

Lyophilized from a 0.2 μm filtered solution in PBS with Trehalose. *Small pack size (SP) is supplied either lyophilized or as a 0.2 µm filtered solution in PBS.

Shipping

Lyophilized product is shipped at ambient temperature. Liquid small pack size (-SP) is shipped with polar packs. Upon receipt, store immediately at the temperature recommended below.

Stability & Storage

Use a manual defrost freezer and avoid repeated freeze-thaw cycles.
  • 12 months from date of receipt, -20 to -70 °C as supplied.
  • 1 month, 2 to 8 °C under sterile conditions after reconstitution.
  • 6 months, -20 to -70 °C under sterile conditions after reconstitution.

Background: beta-NGF

NGF was initially isolated in the mouse submandibular gland as a 7S complex composed of three non-covalently linked subunits, alpha, beta, and gamma. Both the alpha and gamma subunits of NGF are members of the kallikrein family of serine proteases while the beta subunit, called beta-NGF or 2.5S NGF, exhibits all the biological activities ascribed to NGF. Recombinant human beta-NGF is a homodimer of two 120 amino acid polypeptides. The human protein shares approximately 90% homology at the amino acid level with both the mouse and rat beta-NGF and exhibits cross-species activity.

NGF is a well-characterized neurotropic protein that plays a critical role in the development of sympathetic and some sensory neurons in the peripheral nervous system. In addition, NGF can also act in the central nervous system as a trophic factor for basal forebrain cholinergic neurons. NGF has also been shown to have biological effects on non-neuronal tissues. NGF is mitogenic for a factor-dependent human erythroleukemic cell line, TF-1. NGF has been found to increase the number of mast cells in neonatal rats and to induce histamine release from peritoneal mast cells. NGF will enhance histamine release and strongly modulate the formation of lipid mediators by basophils in response to various stimuli. NGF will also induce the growth and differentiation of human B lymphocytes as well as suppress apoptosis of murine peritoneal neutrophils. These results, taken together, suggest that NGF is a pleiotropic cytokine which, in addition to its neurotropic activities, may have an important role in the regulation of the immune system.

Long Name

beta Nerve Growth Factor

Alternate Names

betaNGF, NGFB

Entrez Gene IDs

4803 (Human); 18049 (Mouse); 310738 (Rat); 403402 (Canine); 103350089 (Rabbit)

Gene Symbol

NGF

UniProt

Additional beta-NGF Products

Product Documents for Human beta-NGF Antibody

Certificate of Analysis

To download a Certificate of Analysis, please enter a lot number in the search box below.

Note: Certificate of Analysis not available for kit components.

Product Specific Notices for Human beta-NGF Antibody

For research use only

Loading...
Loading...
Loading...
Loading...