Human beta-I Tubulin Antibody
R&D Systems, part of Bio-Techne | Catalog # MAB8527
Conjugate
Catalog #
Key Product Details
Species Reactivity
Validated:
Human
Cited:
Human, Transgenic Mouse
Applications
Validated:
Immunohistochemistry, Western Blot, Immunocytochemistry
Cited:
Western Blot, Immunocytochemistry, Cell Culture, Western Blot Control
Label
Unconjugated
Antibody Source
Monoclonal Mouse IgG2B Clone # 923425
Product Specifications
Immunogen
E. coli-derived recombinant human beta-I Tubulin
Met1-His451
Accession # Q9H4B7
Met1-His451
Accession # Q9H4B7
Specificity
Detects human beta-I Tubulin in direct ELISAs.
Clonality
Monoclonal
Host
Mouse
Isotype
IgG2B
Scientific Data Images for Human beta-I Tubulin Antibody
Detection of Human and Mouse beta-I Tubulin by Western Blot.
Western blot shows lysates of human platelets and mouse platelets. PVDF membrane was probed with 0.2 µg/mL of Mouse Anti-Human beta-I Tubulin Monoclonal Antibody (Catalog # MAB8527) followed by HRP-conjugated Anti-Mouse IgG Secondary Antibody (Catalog # HAF018). A specific band was detected for beta-I Tubulin at approximately 50 kDa (as indicated). This experiment was conducted under reducing conditions and using Immunoblot Buffer Group 1.beta-I Tubulin in BG01V Human Embryonic Stem Cells.
beta-I Tubulin was detected in immersion fixed BG01V human embryonic stem cells differentiated into cardiomyocytes using Mouse Anti-Human beta-I Tubulin Monoclonal Antibody (Catalog # MAB8527) at 10 µg/mL for 3 hours at room temperature. Cells were stained using the NorthernLights™ 557-conjugated Anti-Goat IgG Secondary Antibody (red; Catalog # NL001) and counterstained with DAPI (blue). Specific staining was localized to cytoplasm and cytoskeleton. View our protocol for Fluorescent ICC Staining of Cells on Coverslips.Detection of beta-I Tubulin in human tonsil.
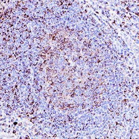
beta-I Tubulin was detected in immersion fixed paraffin-embedded sections of human tonsil using Mouse Anti-Human beta-I Tubulin Monoclonal Antibody (Catalog # MAB8527) at 3 µg/mL for 1 hour at room temperature followed by incubation with the Anti-Mouse IgG VisUCyte™ HRP Polymer Antibody (Catalog # VC001). Before incubation with the primary antibody, tissue was subjected to heat-induced epitope retrieval using VisUCyte Antigen Retrieval Reagent-Basic (Catalog # VCTS021). Tissue was stained using DAB (brown) and counterstained with hematoxylin (blue). Specific staining was localized to cell surface in lymphocytes. View our protocol for IHC Staining with VisUCyte HRP Polymer Detection Reagents.Applications for Human beta-I Tubulin Antibody
Application
Recommended Usage
Immunocytochemistry
8-25 µg/mL
Sample: Immersion fixed BG01V human embryonic stem cells differentiated into cardiomyocytes
Sample: Immersion fixed BG01V human embryonic stem cells differentiated into cardiomyocytes
Immunohistochemistry
3-15 µg/mL
Sample: Immersion fixed paraffin-embedded sections of human tonsil
Sample: Immersion fixed paraffin-embedded sections of human tonsil
Western Blot
0.2 µg/mL
Sample: Human platelets and mouse platelets
Sample: Human platelets and mouse platelets
Formulation, Preparation, and Storage
Purification
Protein A or G purified from hybridoma culture supernatant
Reconstitution
Reconstitute at 0.5 mg/mL in sterile PBS. For liquid material, refer to CoA for concentration.
Formulation
Lyophilized from a 0.2 μm filtered solution in PBS with Trehalose. *Small pack size (SP) is supplied either lyophilized or as a 0.2 µm filtered solution in PBS.
Shipping
Lyophilized product is shipped at ambient temperature. Liquid small pack size (-SP) is shipped with polar packs. Upon receipt, store immediately at the temperature recommended below.
Stability & Storage
Use a manual defrost freezer and avoid repeated freeze-thaw cycles.
- 12 months from date of receipt, -20 to -70 °C as supplied.
- 1 month, 2 to 8 °C under sterile conditions after reconstitution.
- 6 months, -20 to -70 °C under sterile conditions after reconstitution.
Background: beta-I Tubulin
Long Name
Tubulin, Beta 1 Class VI
Alternate Names
betaI Tubulin, TUBB1
Gene Symbol
TUBB1
UniProt
Additional beta-I Tubulin Products
Product Documents for Human beta-I Tubulin Antibody
Product Specific Notices for Human beta-I Tubulin Antibody
For research use only
Loading...
Loading...
Loading...
Loading...