Skip to main content

Key Product Details

Species Reactivity

Validated:

Human

Cited:

Human

Applications

Validated:

Western Blot, ELISA, ELISA Capture (Matched Antibody Pair), Blockade of Receptor-ligand Interaction, Flow Cytometry, CyTOF-ready

Cited:

Immunohistochemistry, Immunohistochemistry-Paraffin, Immunohistochemistry-Frozen, Neutralization, Flow Cytometry

Label

Unconjugated

Antibody Source

Polyclonal Goat IgG

Product Specifications

Immunogen

Mouse myeloma cell line NS0-derived recombinant human BCMA/TNFRSF17
Met1-Ala54
Accession # Q6PE46

Specificity

Detects human BCMA in ELISAs and Western blots. In sandwich ELISAs, less than 0.1% cross-reactivity with recombinant human (rh) APRIL, rhBAFF, rhTACI, and recombinant mouse BCMA is observed.

Clonality

Polyclonal

Host

Goat

Isotype

IgG

Endotoxin Level

<0.10 EU per 1 μg of the antibody by the LAL method.

Scientific Data Images for Human BCMA/TNFRSF17 Antibody

Detection of BCMA/TNFRSF17 antibody in U266 Human Cell Line antibody by Flow Cytometry.

Detection of BCMA/TNFRSF17 in U266 Human Cell Line by Flow Cytometry.

U266 human myeloma cell line was stained with Goat Anti-Human BCMA/TNFRSF17 Antigen Affinity-purified Polyclonal Antibody (Catalog # AF193, filled histogram) or isotype control antibody (Catalog # AB-108-C, open histogram), followed by Phycoerythrin-conjugated Anti-Goat IgG Secondary Antibody (Catalog # F0107).
Detection of BCMA/TNFRSF17 by Immunohistochemistry

Detection of BCMA/TNFRSF17 by Immunohistochemistry

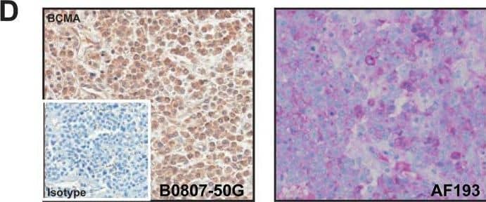
BCMA expression on MM patient samples(A) An example of flow cytometry analysis of a bone marrow (BM) sample from an MM patient is shown. Plasma cells (PC; both malignant and non-malignant) were identified by gating bone marrow on live single cells followed by using CD38 and CD45 staining as shown. Malignant PCs were evaluated for BCMA expression with fluorescence minus one, FMO, used as control. (B) Ten consecutive MM patients were analyzed for BCMA expression as in Figure 1A. BCMA median expression was 86% (red line). (C) BCMA expression (dark histogram) on 3 established multiple myeloma cell lines assessed by flow cytometer. The lighter histogram shows staining of a matched isotype control. (D) Representative immunohistochemical staining of a bone marrow biopsy specimen stained for BCMA using two commercially available antibodies, B0807-50G (brown staining, primary antibody concentration of 0.6 μg/ml, US Biological) and AF193 (magenta staining, primary antibody concentration of 2.0 μgml, R&D Systems). Image collected and cropped by CiteAb from the following open publication (https://pubmed.ncbi.nlm.nih.gov/29899820), licensed under a CC-BY license. Not internally tested by R&D Systems.

Applications for Human BCMA/TNFRSF17 Antibody

Application
Recommended Usage

Blockade of Receptor-ligand Interaction

In a functional ELISA, 0.3-1.2 µg/mL of this antibody will block 50% of the binding of 500 ng/mL of Recombinant Human APRIL/TNFSF13 (Catalog # 884-AP) to immobilized Recombinant Human BCMA/TNFRSF17 Fc Chimera (Catalog # 193-BC) coated at 1 µg/mL (100 µL/well). At 15 μg/mL, this antibody will block >90% of the binding.

CyTOF-ready

Ready to be labeled using established conjugation methods. No BSA or other carrier proteins that could interfere with conjugation.

ELISA

This antibody functions as an ELISA detection antibody when paired with Mouse Anti-Human BCMA/TNFRSF17 Monoclonal Antibody(Catalog # MAB1932).

This product is intended for assay development on various assay platforms requiring antibody pairs. We recommend the Human BCMA/TNFRSF17 DuoSet ELISA Kit (Catalog # DY193) for convenient development of a sandwich ELISA.

Flow Cytometry

0.25 µg/106 cells
Sample: U266 human myeloma cell line

Western Blot

0.1 µg/mL
Sample: Recombinant Human BCMA/TNFRSF17 Fc Chimera (Catalog # 193-BC)

Human BCMA/TNFRSF17 Sandwich Immunoassay

ELISA Capture (Matched Antibody Pair)
Recommended Concentration: 0.2-0.8 µg/mL
Use in combination with these reagents:
  • Detection Reagent: Human BCMA/TNFRSF17 Biotinylated Antibody (Catalog # BAF193)
  • Standard: Recombinant Human BCMA/TNFRSF17 Fc Chimera Protein, CF (Catalog # 193-BC)
Please Note: Optimal dilutions of this antibody should be experimentally determined.

Reviewed Applications

Read 1 review rated 5 using AF193 in the following applications:

Formulation, Preparation, and Storage

Purification

Antigen Affinity-purified

Reconstitution

Reconstitute at 0.2 mg/mL in sterile PBS. For liquid material, refer to CoA for concentration.

Reconstitution Buffer Available:
Size / Price
Qty
Loading...

Formulation

Lyophilized from a 0.2 μm filtered solution in PBS with Trehalose. *Small pack size (SP) is supplied either lyophilized or as a 0.2 µm filtered solution in PBS.

Shipping

Lyophilized product is shipped at ambient temperature. Liquid small pack size (-SP) is shipped with polar packs. Upon receipt, store immediately at the temperature recommended below.

Stability & Storage

Use a manual defrost freezer and avoid repeated freeze-thaw cycles.
  • 12 months from date of receipt, -20 to -70 °C as supplied.
  • 1 month, 2 to 8 °C under sterile conditions after reconstitution.
  • 6 months, -20 to -70 °C under sterile conditions after reconstitution.

Background: BCMA/TNFRSF17

BCMA, B cell maturation, is a member of the TNF receptor superfamily. It has been designated TNFRSF17. BCMA is a type III membrane protein containing one extracellular cysteine rich domain. Within the TNFRSF, it shares the highest homology with TACI. BCMA and TACI have both been shown to bind to APRIL and BAFF, members of the TNF ligand superfamily. BCMA expression has been found in immune organs and mature B cell lines. Although some expression has been observed at the cell surface, BCMA appears to be localized to the Golgi compartment. The binding of BCMA to APRIL or BAFF has been shown to stimulate IgM production in peripheral blood B cells and increase the survival of cultured B cells. This data suggests that BCMA may play an important role in B cell development, function and regulation. Human BCMA is a 184 amino acid (aa) protein consisting of a 54 aa extracellular domain, a 23 aa transmembrane domain, and a 107 aa intracellular domain. Mouse and human BCMA share 62% amino acid identity.

References

  1. Madry, C. et al. (1998) Int. Immunol. 10:1693.
  2. Gras, M. et al. (1995) Int. Immunol. 7:1093.
  3. Kwon, B. et al. (1999) Curr. Opin. Immunol. 11:340.
  4. Marsters, S. et al. (2000) Curr. Biol. 10:785.
  5. Thompson, J. et al. (2000) J. Exp. Med. 192:129.

Long Name

B Cell Maturation Factor

Alternate Names

CD269, TNFRSF13A, TNFRSF17

Entrez Gene IDs

608 (Human); 21935 (Mouse); 287034 (Rat); 102145399 (Cynomolgus Monkey)

Gene Symbol

TNFRSF17

UniProt

Additional BCMA/TNFRSF17 Products

Product Documents for Human BCMA/TNFRSF17 Antibody

Certificate of Analysis

To download a Certificate of Analysis, please enter a lot number in the search box below.

Note: Certificate of Analysis not available for kit components.

Product Specific Notices for Human BCMA/TNFRSF17 Antibody

For research use only

Loading...
Loading...
Loading...
Loading...
Loading...