Skip to main content

Human BCMA/TNFRSF17 Antibody

R&D Systems, part of Bio-Techne | Catalog # MAB1931

R&D Systems, part of Bio-Techne

Key Product Details

Species Reactivity

Human

Applications

Immunohistochemistry, Flow Cytometry, CyTOF-ready

Label

Unconjugated

Antibody Source

Monoclonal Mouse IgG2B Clone # 1004023

Product Specifications

Immunogen

Mouse myeloma cell line NS0-derived recombinant human BCMA /TNFRSF17
Met1-Ala54
Accession # Q02223

Specificity

Detects human BCMA/TNFRSF17 in direct ELISAs.

Clonality

Monoclonal

Host

Mouse

Isotype

IgG2B

Scientific Data Images for Human BCMA/TNFRSF17 Antibody

Detection of BCMA/TNFRSF17 antibody in RPMI8226 Human Cell Line antibody by Flow Cytometry.

Detection of BCMA/TNFRSF17 in RPMI8226 Human Cell Line by Flow Cytometry.

RPMI8226 human myeloma cell line was stained with Mouse Anti-Human BCMA/TNFRSF17 Monoclonal Antibody (Catalog # MAB1931, filled histogram) or isotype control antibody (Catalog # MAB10041, open histogram), followed by Phycoerythrin-conjugated Anti-Mouse IgG Secondary Antibody (Catalog # F0102B). View our protocol for Staining Membrane-associated Proteins.
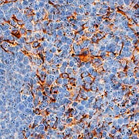
BCMA/TNFRSF17 antibody in Human Tonsil by Immunohistochemistry (IHC-P).

BCMA/TNFRSF17 in Human Tonsil.

BCMA/TNFRSF17 was detected in immersion fixed paraffin-embedded sections of human tonsil using Mouse Anti-Human BCMA/TNFRSF17 Monoclonal Antibody (Catalog # MAB1931) at 5 µg/mL for 1 hour at room temperature followed by incubation with the Anti-Mouse IgG VisUCyte™ HRP Polymer Antibody (Catalog # VC001). Before incubation with the primary antibody, tissue was subjected to heat-induced epitope retrieval using Antigen Retrieval Reagent-Basic (Catalog # CTS013). Tissue was stained using DAB (brown) and counterstained with hematoxylin (blue). Specific staining was localized to plasma membrane. View our protocol for IHC Staining with VisUCyte HRP Polymer Detection Reagents.

Applications for Human BCMA/TNFRSF17 Antibody

Application
Recommended Usage

CyTOF-ready

Ready to be labeled using established conjugation methods. No BSA or other carrier proteins that could interfere with conjugation.

Flow Cytometry

0.25 µg/106 cells
Sample: RPMI8226 Human myeloma cell line

Immunohistochemistry

5-25 µg/mL
Sample: Immersion fixed paraffin-embedded sections of human tonsil

Formulation, Preparation, and Storage

Purification

Protein A or G purified from hybridoma culture supernatant

Reconstitution

Reconstitute at 0.5 mg/mL in sterile PBS. For liquid material, refer to CoA for concentration.

Reconstitution Buffer Available:
Size / Price
Qty
Loading...

Formulation

Lyophilized from a 0.2 μm filtered solution in PBS with Trehalose. *Small pack size (SP) is supplied either lyophilized or as a 0.2 µm filtered solution in PBS.

Shipping

Lyophilized product is shipped at ambient temperature. Liquid small pack size (-SP) is shipped with polar packs. Upon receipt, store immediately at the temperature recommended below.

Stability & Storage

Use a manual defrost freezer and avoid repeated freeze-thaw cycles.
  • 12 months from date of receipt, -20 to -70 °C as supplied.
  • 1 month, 2 to 8 °C under sterile conditions after reconstitution.
  • 6 months, -20 to -70 °C under sterile conditions after reconstitution.

Background: BCMA/TNFRSF17

BCMA, B cell maturation antigen, is a member of the TNF receptor superfamily. It has been designated TNFRSF17. BCMA is a type III membrane protein containing one extracellular cysteine rich domain. Within the TNFRSF, it shares the highest homology with TACI. BCMA and TACI have both been shown to bind to APRIL and BAFF, members of the TNF ligand superfamily. BCMA expression has been found in immune organs and mature B cell lines. Although some expression has been observed at the cell surface, BCMA appears to be localized to the Golgi compartment. The binding of BCMA to APRIL or BAFF has been shown to stimulate IgM production in peripheral blood B cells and increase the survival of cultured B cells. This data suggests that BCMA may play an important role in B cell development, function and regulation. Human BCMA is a 184 amino acid (aa) protein consisting of a 54 aa extracellular domain, a 23 aa transmembrane domain, and a 107 aa intracellular domain. Mouse and human BCMA share 62% amino acid identity.

References

  1. Madry, C. et al. (1998) Int. Immunol. 10:1693.
  2. Gras, M. et al. (1995) Int. Immunol. 7:1093.
  3. Kwon, B. et al. (1999) Curr. Opin. Immunol. 11:340.
  4. Marsters, S. et al. (2000) Curr. Biol. 10:785.
  5. Thompson, J. et al. (2000) J. Exp. Med. 192:129.

Long Name

B Cell Maturation Factor

Alternate Names

CD269, TNFRSF13A, TNFRSF17

Entrez Gene IDs

608 (Human); 21935 (Mouse); 287034 (Rat); 102145399 (Cynomolgus Monkey)

Gene Symbol

TNFRSF17

UniProt

Additional BCMA/TNFRSF17 Products

Product Documents for Human BCMA/TNFRSF17 Antibody

Certificate of Analysis

To download a Certificate of Analysis, please enter a lot number in the search box below.

Note: Certificate of Analysis not available for kit components.

Product Specific Notices for Human BCMA/TNFRSF17 Antibody

For research use only

Loading...
Loading...
Loading...
Loading...
Loading...