Skip to main content

Key Product Details

Species Reactivity

Validated:

Human

Cited:

Human

Applications

Validated:

Immunohistochemistry, Western Blot

Cited:

Western Blot, Immunoprecipitation, Chromatin Immunoprecipitation (ChIP)

Label

Unconjugated

Antibody Source

Polyclonal Goat IgG

Product Specifications

Immunogen

E. coli-derived recombinant human BACH1
Ser133-Glu513
Accession # O14867

Specificity

Detects human BACH1 in Western blots.

Clonality

Polyclonal

Host

Goat

Isotype

IgG

Scientific Data Images for Human BACH1 Antibody

Detection of Human BACH1 antibody by Western Blot.

Detection of Human BACH1 by Western Blot.

Western blot shows lysates of K562 human chronic myelogenous leukemia cell line and A172 human glioblastoma cell line. PVDF membrane was probed with 0.2 µg/mL of Human/Mouse BACH1 Antigen Affinity-purified Polyclonal Antibody (Catalog # AF5776) followed by HRP-conjugated Anti-Goat IgG Secondary Antibody (Catalog # HAF109). A specific band was detected for BACH1 at approximately 110 kDa (as indicated). This experiment was conducted under reducing conditions and using Immunoblot Buffer Group 1.
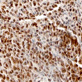
BACH1 antibody in Human Lung Cancer Tissue by Immunohistochemistry (IHC-P).

BACH1 in Human Lung Cancer Tissue.

BACH1 was detected in immersion fixed paraffin-embedded sections of human lung cancer tissue using Human/Mouse BACH1 Antigen Affinity-purified Polyclonal Antibody (Catalog # AF5776) at 10 µg/mL overnight at 4 °C. Before incubation with the primary antibody, tissue was subjected to heat-induced epitope retrieval using Antigen Retrieval Reagent-Basic (Catalog # CTS013). Tissue was stained using the Anti-Goat HRP-DAB Cell & Tissue Staining Kit (brown; Catalog # CTS008) and counterstained with hematoxylin (blue). View our protocol for Chromogenic IHC Staining of Paraffin-embedded Tissue Sections.

Applications for Human BACH1 Antibody

Application
Recommended Usage

Immunohistochemistry

5-15 µg/mL
Sample: Immersion fixed paraffin-embedded sections of human lung cancer tissue

Western Blot

0.2 µg/mL
Sample: K562 human chronic myelogenous leukemia cell line and A172 human glioblastoma cell line

Formulation, Preparation, and Storage

Purification

Antigen Affinity-purified

Reconstitution

Reconstitute at 0.2 mg/mL in sterile PBS. For liquid material, refer to CoA for concentration.

Reconstitution Buffer Available:
Size / Price
Qty
Loading...

Formulation

Lyophilized from a 0.2 μm filtered solution in PBS with Trehalose. *Small pack size (SP) is supplied either lyophilized or as a 0.2 µm filtered solution in PBS.

Shipping

Lyophilized product is shipped at ambient temperature. Liquid small pack size (-SP) is shipped with polar packs. Upon receipt, store immediately at the temperature recommended below.

Stability & Storage

Use a manual defrost freezer and avoid repeated freeze-thaw cycles.
  • 12 months from date of receipt, -20 to -70 °C as supplied.
  • 1 month, 2 to 8 °C under sterile conditions after reconstitution.
  • 6 months, -20 to -70 °C under sterile conditions after reconstitution.

Background: BACH1

BACH1 (BTB and CNC homolog 1; also basic leucine zipper transcription factor 1) is a ubiquitously expressed member of the Bach family of transcription factors. Although its predicted MW is 82 kDa, it runs anomalously at 110 kDa in SDS-PAGE. BACH1 forms non‑covalent homodimers, and heterodimers with Maf oncoproteins and p53-related proteins. It apparently serves as an architectural component for gene regulatory protein complexes. Human BACH1 is 736 amino acids (aa) in length. It contains a protein-interaction BTB domain (aa 24‑127), a DNA-binding motif (aa 562‑577), and a Leu-zipper domain (aa 585‑607). This molecule should not be confused with Bach1/Fancj/Brip1 helicase. There are two BACH1 splice variants with a 24 and 31 aa substitution for aa 593‑736, respectively. Over aa 133‑513, human BACH1 shares 75% aa identity with mouse BACH1.

Long Name

BTB and CNC homolog 1

Alternate Names

BTB, HA2303

Entrez Gene IDs

571 (Human); 12013 (Mouse); 304127 (Rat)

Gene Symbol

BACH1

UniProt

Additional BACH1 Products

Product Documents for Human BACH1 Antibody

Certificate of Analysis

To download a Certificate of Analysis, please enter a lot number in the search box below.

Note: Certificate of Analysis not available for kit components.

Product Specific Notices for Human BACH1 Antibody

For research use only

Loading...
Loading...
Loading...
Loading...