Skip to main content

Human B7-H4 Antibody

R&D Systems, part of Bio-Techne | Catalog # MAB65761R

Recombinant Monoclonal Antibody.
Catalog #
Availability
Size / Price
Qty
Loading...
MAB65761R-100
MAB65761R-SP

Key Product Details

Species Reactivity

Human

Applications

Immunohistochemistry, Flow Cytometry, CyTOF-ready

Label

Unconjugated

Antibody Source

Recombinant Monoclonal Mouse IgG2A Clone # 973816R

Product Specifications

Immunogen

Mouse myeloma cell line NS0-derived recombinant human B7-H4
Phe29-Ala258
Accession # Q7Z7D3

Specificity

Detects human B7-H4 in direct ELISAs.

Clonality

Monoclonal

Host

Mouse

Isotype

IgG2A

Scientific Data Images for Human B7-H4 Antibody

Detection of B7-H4 antibody in HEK293 Human Cell Line Transfected with Human B7-H4 and eGFP antibody by Flow Cytometry.

Detection of B7-H4 in HEK293 Human Cell Line Transfected with Human B7-H4 and eGFP by Flow Cytometry.

HEK293 human embryonic kidney cell line transfected with either (A) human B7-H4 or (B) irrelevant transfectants and eGFP were stained with Mouse Anti-Human B7-H4 Monoclonal Antibody (Catalog # MAB65761R) followed by Allophycocyanin-conjugated Anti-Mouse IgG Secondary Antibody (Catalog # F0101B).View our protocol for Staining Membrane-associated Proteins.
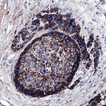
B7-H4 antibody in Human Breast Cancer Tissue by Immunohistochemistry (IHC-P).

B7-H4 in Human Breast Cancer Tissue.

B7-H4 was detected in immersion fixed paraffin-embedded sections of human breast cancer tissue using Mouse Anti-Human B7-H4 Monoclonal Antibody (Catalog # MAB65761R) at 1.7 µg/mL for 1 hour at room temperature followed by incubation with the Anti-Mouse IgG VisUCyte™ HRP Polymer Antibody (Catalog # VC001). Before incubation with the primary antibody, tissue was subjected to heat-induced epitope retrieval using Antigen Retrieval Reagent-Basic (Catalog # CTS013). Tissue was stained using DAB (brown) and counterstained with hematoxylin (blue). Specific staining was localized to cytoplasm. View our protocol for IHC Staining with VisUCyte HRP Polymer Detection Reagents.

Applications for Human B7-H4 Antibody

Application
Recommended Usage

CyTOF-ready

Ready to be labeled using established conjugation methods. No BSA or other carrier proteins that could interfere with conjugation.

Flow Cytometry

0.25 µg/106 cells
Sample: HEK293 Human Cell Line Transfected with Human B7-H4 and eGFP

Immunohistochemistry

1-25 µg/mL
Sample: Immersion fixed paraffin-embedded sections of human breast cancer tissue

Formulation, Preparation, and Storage

Purification

Protein A or G purified from cell culture supernatant

Reconstitution

Reconstitute at 0.5 mg/mL in sterile PBS. For liquid material, refer to CoA for concentration.

Reconstitution Buffer Available:
Size / Price
Qty
Loading...

Formulation

Lyophilized from a 0.2 μm filtered solution in PBS with Trehalose. *Small pack size (SP) is supplied either lyophilized or as a 0.2 µm filtered solution in PBS.

Shipping

Lyophilized product is shipped at ambient temperature. Liquid small pack size (-SP) is shipped with polar packs. Upon receipt, store immediately at the temperature recommended below.

Stability & Storage

Use a manual defrost freezer and avoid repeated freeze-thaw cycles.
  • 12 months from date of receipt, -20 to -70 °C as supplied.
  • 1 month, 2 to 8 °C under sterile conditions after reconstitution.
  • 6 months, -20 to -70 °C under sterile conditions after reconstitution.

Background: B7-H4

B7-H4, also known as VTCN1, B7x and B7S1, is a 50‑80 kDa glycosylated member of the BTN/MOG family of immunomodulatory protein (1, 2). Mature human B7-H4 consists of a 235 amino acid (aa) extracellular domain (ECD) with one Ig-like V-set domain and one Ig-like C2-set domain, a 21 aa transmembrane segment, and a 2 aa cytoplasmic tail (3-5). Within the ECD, human B7-H4 shares 90% aa sequence identity with mouse and rat B7-H4. It shares 22%-28% aa sequence identity with human B7-1, B7-2, B7-H1, B7-H2, B7-H3, and PD‑L2. Alternate splicing of human B7-H4 generates an additional isoform that lacks the first Ig-like domain. B7-H4 is expressed on the surface of activated lymphocytes, macrophages, monocytes, dendritic cells, epithelial cells, and bone marrow-derived mesenchymal stem cells (4-8). Following binding to activated T cells, B7-H4 serves as a co‑inhibitor of the T cell response. This is accomplished by reverse signaling that can induce either cell cycle arrest, or apoptosis in B7-H4 expressing cells (3-5, 9, 10). B7‑H4 is up‑regulated in several carcinomas in correlation with tumor progression and metastasis (2, 7, 11, 12). A soluble form of B7-H4 is elevated in the serum of ovarian cancer, renal cell carcinoma, and rheumatoid arthritis patients, also in correlation with advanced disease status (13-15). Soluble B7‑H4 functions as a decoy molecule that blocks the inhibitory influence of B7‑H4 on immune activation (15). Despite evidence for the involvement of B7-H4 in immune regulation, mice deficient in its expression do not show significant immune deficiencies, suggesting compensation by other molecules in vivo (16).

References

  1. Yi, K.H. and L. Chen (2009) Immunol. Rev. 229:145.
  2. Salceda, S. et al. (2005) Exp. Cell Res. 306:128.
  3. Zang, X. et al. (2003) Proc. Natl. Acad. Sci. 100:10388.
  4. Prasad, V.R. et al. (2003) Immunity 18:863.
  5. Sica, G.L. et al. (2003) Immunity 18:849.
  6. Kryczek, I. et al. (2006) J. Exp. Med. 203:871.
  7. Tringler, B. et al. (2005) Clin. Cancer Res. 11:1842.
  8. Xue, Q. et al. (2010) Stem Cells Dev. 19:27.
  9. Song, H. et al. (2008) Cancer Lett. 266:227.
  10. Park, G.B. et al. (2009) Immunology 128:360.
  11. Zang, X. et al. (2007) Proc. Natl. Acad. Sci. 104:19458.
  12. Krambeck, A.E. et al. (2006) Proc. Natl. Acad. Sci. 103:10391.
  13. Simon, I. et al. (2006) Cancer Res. 66:1570.
  14. Thompson, R.H. et al. (2008) Cancer Res. 68:6054.
  15. Azuma, T. et al. (2009) PloS Med. 6:e1000166.
  16. Suh, W.-K. et al. (2006) Mol. Cell. Biol. 26:6403.

Long Name

B7 Homolog 4

Alternate Names

B7H4, B7S1, B7x, Vtcn1

Entrez Gene IDs

79679 (Human); 242122 (Mouse); 295322 (Rat)

Gene Symbol

VTCN1

UniProt

Additional B7-H4 Products

Product Documents for Human B7-H4 Antibody

Certificate of Analysis

To download a Certificate of Analysis, please enter a lot number in the search box below.

Note: Certificate of Analysis not available for kit components.

Product Specific Notices for Human B7-H4 Antibody

For research use only

Loading...
Loading...
Loading...
Loading...
Loading...
Loading...